Rufen Sie uns an oder geben Sie unten Ihre Kontaktdaten an. Ein Mitarbeiter von Dentsply Sirona wird sich in Kürze mit Ihnen in Verbindung setzen.
Das 2D-/3D-System mit großem Volumen und hoher Bildqualität für Praxen mit breitem Behandlungsspektrum. Gemeinsam mit Zahnärzten und Behandlern entwickelt, bietet Axeos von allen Dentsply Sirona Extraoral-Röntgengeräten das breiteste Behandlungsspektrum. Neben einer exzellenten Bildqualität und maßgeschneiderten 3D-Volumengrößen zeichnet sich das Röntgengerät durch einen hohen Patientenkomfort aus. Axeos bietet nicht nur Qualität bei Leistung und Komfort, sondern überzeugt auch durch sein preisgekröntes Design mit einem integrierten Aufbiss-Ordnungssystem und Ambient Light
Vorteile
Zahlreiche Volumengrößen sorgen für Flexibilität im Praxisalltag. Untersuchung eines bestimmten Bereichs oder Beurteilung der gesamten Bezahnung einschließlich der Kiefergelenke.
Mit dem Intelligent Low Dose-Modus erhalten Sie 3D-Bilder im Dosisbereich einer 2D-Röntgenaufnahme. Im HD-Modus werden während eines einzelnen Umlaufs bis zu 1.400 Einzelbilder aufgenommen und zu einem 3D-Volumen mit bis zu 80 μm zusammengeführt. Der Vorteil für Sie: rauschärmere Aufnahmen in hoher Auflösung.
Für außergewöhnliche Panoramabilder mit hoher Schärfe. Sie können einen optionalen rechten oder linken Fernröntgenausleger wählen, der jederzeit nachgerüstet werden kann.
Durch Konnektivität zu PACS, RIS, DICOM Worklist und DICOM-Druckern. Röntgenbilder gemäß DICOM-Standard.
Autopositionierung mit Okklusalaufbiss und EasyPad für hohe Bildqualität, optimal positionierte Aufnahmen, einfache Reproduzierbarkeit, sowie Komfort für Patienten und Assistenz.
Zur bequemen Aufbewahrung der Aufbiss-Elemente verfügt das integrierte Ordnungssystem über eine Innenbeleuchtung und befindet sich in Reichweite des Bedieners.
Für effiziente Workflows und kürzere Wartezeiten. Die intelligente Höheneinstellung stellt das Gerät automatisch auf die individuelle Körpergröße des Patienten ein, basierend auf den gespeicherten Einstellungen von früheren Besuchen. Und das noch, bevor der Patient den Röntgenraum betritt.
Bei dem Versuch, ein gutes medizinisches oder zahnmedizinisches Röntgenbild zu erstellen, gibt es ständig einen grundlegenden Konflikt. Einerseits ist es für eine zuverlässige Befundung wichtig, die bestmögliche Bildqualität zu erzielen, andererseits soll die applizierte Strahlendosis für den Patienten so gering wie möglich sein. Wir von Dentsply Sirona haben es uns zur Aufgabe gemacht, mit unseren Produkten jederzeit Röntgenaufnahmen in hoher Bildqualität zu ermöglichen. Bei der Entwicklung unserer Produkte beachten wir das weltweit gültige ALARA-Prinzip (As Low As Reasonably Achievable). Deshalb bieten unsere Geräte zahlreiche Funktionen, mit denen Sie die Dosis ganz individuell reduzieren können.
Intelligent Low Dose
Dank des optimierten Low Dose Modus mit dediziertem Filter wird die Abbildung dichter Strukturen wie etwa Knochen bei stark reduzierter Dosis ermöglicht. Das macht Intelligent Low Dose zu einer attraktiven und effizienten Option bei vielen klinischen Fällen. Ob in der Kieferorthopädie oder Implantologie – mit den Dentsply Sirona Lösungen finden Sie für jeden Fall die optimale Einstellung.
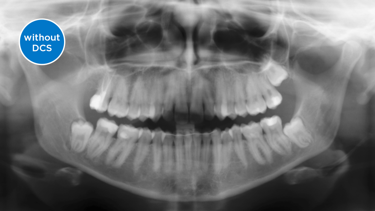
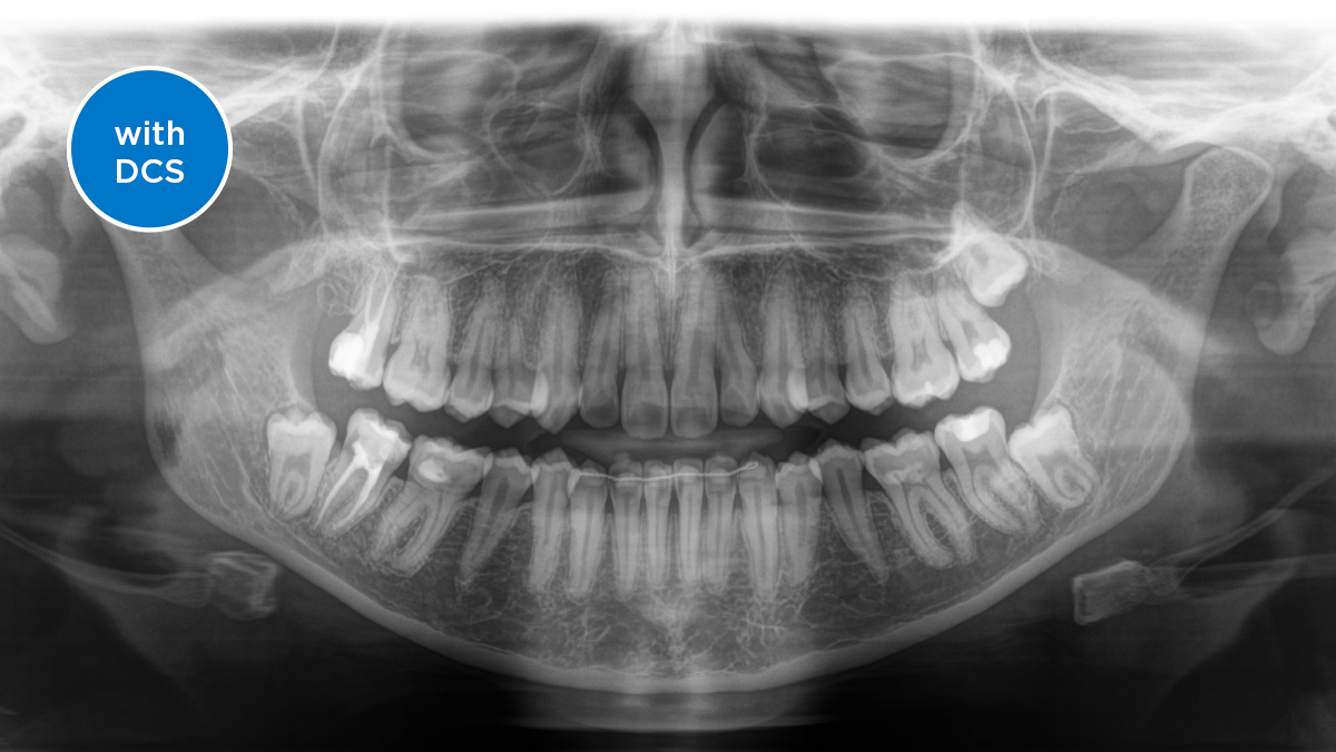
Der Direct Conversion Sensor (DCS) hat den Standard der Panorama-Bildgebung revolutioniert. Röntgenstrahlen werden direkt in elektrische Signale umgewandelt. Im Gegensatz zu herkömmlichen Systemen entstehen somit keine Signalverluste durch Lichtkonversion. Das Resultat: Aufnahmen mit einer hohen und kontrastreichen Zeichenschärfe – und das selbst bei einer sehr niedrigen Strahlendosis. Für genaue diagnostische Informationen zur Unterstützung einer gezielten Behandlung.
Die folgende Abbildung zeigt eine Panorama-Röntgenaufnahme ohne und mit DCS-Technologie. Bewegen Sie den Schieber über das Röntgenbild und entdecken Sie selbst, welchen Unterschied der DCS-Sensor bei der Bildqualität macht.
Für hervorragende Panorama-Röntgenaufnahmen ist der richtige Fokus entscheidend. Mit der Autofokusfunktion erhalten Sie automatisch ein Bild mit der bestmöglichen Schärfe im Fokus. Dentsply Sirona Röntgengeräte erstellen in einem Umlauf mehrere tausend Einzelaufnahmen und erkennen vollautomatisch die Bereiche, in denen der Kiefer optimal in der scharfen Schicht liegt. Ohne zusätzliche manuelle Schritte werden diese Bilder dann in einem Gesamtbild mit maximaler Zeichenschärfe dargestellt.
Einige Teile des Bildes sind scharf, andere Bereiche bleiben unscharf.
Das System erkennt in einem Umlauf die relevanten Bereiche aus mehreren tausend Einzelbildern und identifiziert automatisch die Bereiche, in denen der Kiefer optimal in der scharfen Schicht liegt.
Scharfe Bilder.
Axeos ist mit einem Ambient Light ausgestattet, welches das Röntgengerät beleuchtet und eine beruhigende Umgebung schafft, um den Aufenthalt für Ihre Patienten so angenehm wie möglich zu gestalten. Mit einer Auswahl von mehr als 35 Farben können Sie sicherstellen, dass es perfekt zu Ihrer modernen Praxisästhetik passt.
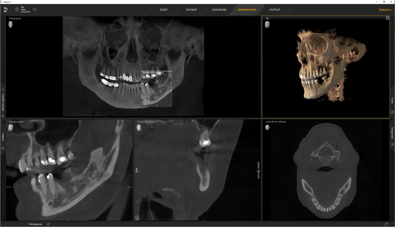
Ausschlaggebend sind die Systemanforderungen für die Bildgebungssoftware Sidexis 4 und Axeos. Weitere Informationen finden Sie unter Sidexis 4 Systemanforderungen und Axeos Installationsanforderungen.
Dentsply Sirona 3D-Röntgengeräte arbeiten exklusiv mit Sidexis 4 zusammen. Aber die Datenmigration von Sidexis XG zu Sidexis 4 ist sehr einfach. Wir empfehlen den Wechsel zu Sidexis 4, um die vollen Vorteile des digitalen Prozesses mit den neuesten Werkzeugen zu erleben.
Orthophos S kann von 2D auf 3D nachgerüstet werden. Axeos ist ein dediziertes Hybridgerät. Beim Orthophos E besteht diese Möglichkeit nicht.