Alle Indikationen auf einen Blick

Beim Vergleich der Anwendungsbereiche unterschiedlicher Lasertypen wird deutlich, dass der Diodenlaser die größte Bandbreite an Anwendungen bietet.

Entdecken Sie Fallbeispiele in Form von Bildern und Videoclips aus der täglichen Praxis in den Bereichen Chirurgie, Endodontie, Parodontologie und mehr. Lassen Sie sich inspirieren – nichts geht über praktische Erfahrung!

Behandlungsmöglichkeiten mit den SiroLasern

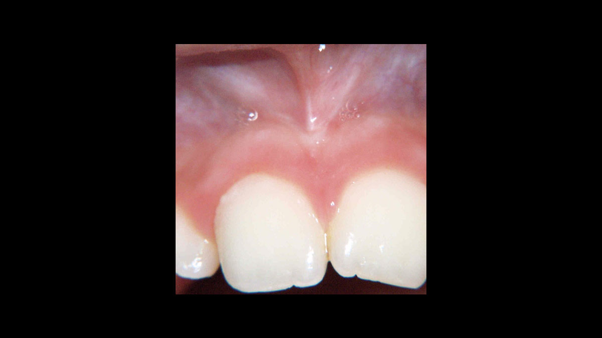
Chirurgie

Die folgenden Anwendungen werden in den Videos und Bildern dargestellt:

  • Chirurgie
  • Abszess
  • Epulis
  • Fibrom
  • Frenektomie
  • Gingivektomie
  • Gingivoplastik
  • Implantat-Freilegung
  • Inzisionen/Exzisionen
  • Operkulektomie
  • Zahnfleischrandschnitt
  • Freilegen eines verlagerten Zahns (kein vordefiniertes Behandlungsprogramm)

Fibrom

Frenektomie

Gingivoplastik

Implantat-Freilegung

Operkulektomie

Zahnfleischrandschnitt

Freilegung eines verlagerten Zahns


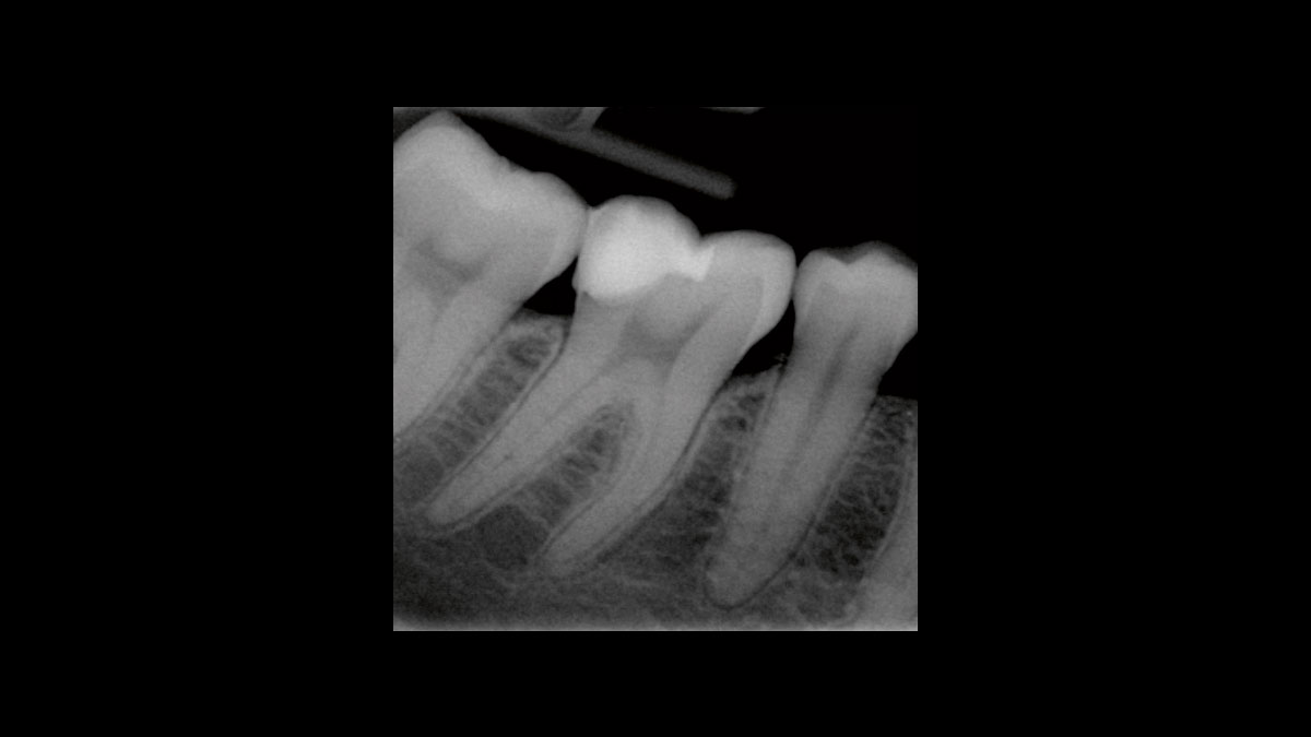
Endodontie

Die folgenden Anwendungen werden in den Videos und Bildern dargestellt:

  • Endodontische Keimreduzierung
  • Reduzierung von Gangränkeimen

Endodontische Keimreduzierung


Parodontologie

Die folgenden Anwendungen werden in den Videos und Bildern dargestellt:

  • Parodontale Keimreduzierung

Parodontale Keimreduzierung


Andere Indikationen

Die folgenden Anwendungen werden in den Videos und Bildern dargestellt:

  • Aphthen
  • Hämostase
  • Herpes

Aphthen

Hämostase

Kontakt

Erfahren Sie mehr über Instrumente von Dentsply Sirona und fordern Sie Produktinformationen zu Hand- und Winkelstücken, Turbinen, Lasern und weiteren Produkten an.