Rufen Sie uns an oder geben Sie unten Ihre Kontaktdaten an. Ein Mitarbeiter von Dentsply Sirona wird sich in Kürze mit Ihnen in Verbindung setzen.
DS World Germany - 13. – 14. März 2026. Mehr erfahren
Windows 11 Security Package Mehr erfahren
Erleben Sie die Zukunft der vernetzten Zahnheilkunde: Jede Veranstaltung bietet branchenführende Ausbildung, topmoderne Neuerungen, renommierte Vordenker und unvergleichliche Networking-Möglichkeiten.
Unsere Nachhaltigkeitsstrategie ist für unsere Mission und unser gesamtes Handeln von grundlegender Bedeutung.
Erzielen Sie mit der Class II Solution von Dentsply Sirona ein zuverlässiges Ergebnis. Dieser bewährte Ansatz begegnet den wichtigsten Herausforderungen bei der Behandlung mit innovativen Produktlösungen für jeden Schritt. Mit seinem Klasse-II-Konzept bietet Dentsply Sirona die Produkte und Techniken, die für den Erfolg des Verfahrens und die Zufriedenheit der Patienten erforderlich sind.
Fall: Ein 38-jähriger männlicher Patient stellte sich mit einer defekten Klasse-II-DO-Kompositrestauration an einem UK-Molaren vor. Nach der röntgenologischen und klinischen Diagnosestellung wurde der Patient anästhesiert und die alte, defekte Restauration sowie die Kariesläsion wurden entfernt. Die distal-okkulsale Klasse-II-Restauration wurde mit einem optimierten Ansatz durchgeführt.
Schlussfolgerung: Um das Risiko postoperativer Empfindlichkeit zu verringern, wurde ein selektives Ätzverfahren mit einem Universaladhäsiv angewendet. Für eine perfekte und spaltfreie Adaptation wurde das selbstnivellierende Bulk-Fill-Komposit SDR flow+ mit geringem Polymerisationsstress verwendet. Darüber hinaus wurde für eine akkurate proximale Kontur und die optimale Schaffung eines engen Kontaktpunktes das Teilmatrizensystem Palodent V3 verwendet.
Sao Paulo, Brasilien
Fall: Ausgangssituation mit defekten und undichten alten Amalgam-Restaurationen.
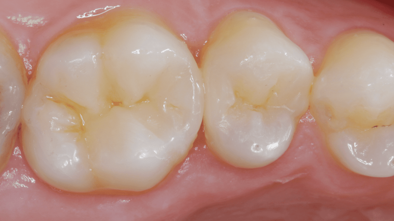
Ergebnisse: Wiedervorstellung nach zwei Wochen. Endgültige Restauration und exzellenter Glanz mit Ceram.x Spectra ST Universalkomposit A2 und BW, das dem Zahn seine ursprüngliche Anatomie und natürliche Ästhetik zurückgibt.
Bagdad, Irak
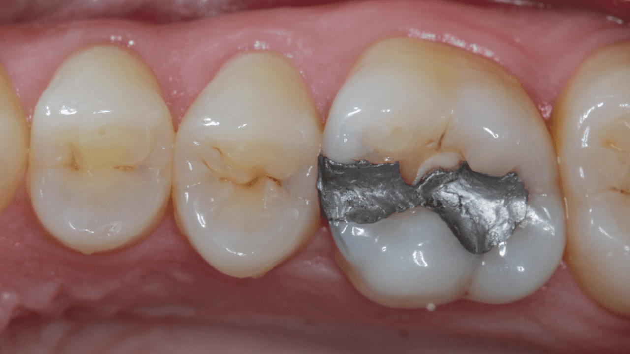
Fall: Fall mit defekter und frakturierter alter Amalgam-Restauration.
Ergebnis: Wiedervorstellung nach 3 Monaten. Okklusal-palatale Ansicht mit ausgezeichneter Glanzretention. Zu beachten ist die Charakterisierung und natürliche Erscheinung, die mit dem Ceram.x Spectra ST Universalkomposit A2 und BW erzielt wurden.
Bagdad, Irak
Fall: In Fällen, in denen der Kavitätenboden des proximalen Kastens subgingival liegt, kann eine „Marginal Elevation“ Technik mit SDR flow+ als Unterfüllungsmaterial durchgeführt werden. Nach der Anhebung wird Kofferdam appliziert und eine Klasse-II-Restauration im Rahmen der Class II Solution eingesetzt.
Ergebnisse: Röntgenkontrolle: Achten Sie vor allem auf die hervorragende Randpassung, den nahtlosen Übergang vom Unterfüllungsmaterial SDR flow+ zum Überkappungsmaterial Ceram.x Spectra ST und der Abwesenheit von Luftblaseneinschlüssen.
Istanbul, Türkei
Erfahren Sie mehr über unsere restaurativen Produkte und Lösungen.