Orthophos E from Dentsply Sirona

Benefits

Why Choose the Orthophos E?

Reliable diagnosis

Thanks to the 2D CsI sensor and reliable image quality

Safe and proven patient positioning

With motorized temple and forehead support, automatic temple width measurement, light localizers and built-in handles for positioning stablization

Essential 2D programs

For basic diagnostics in 2D

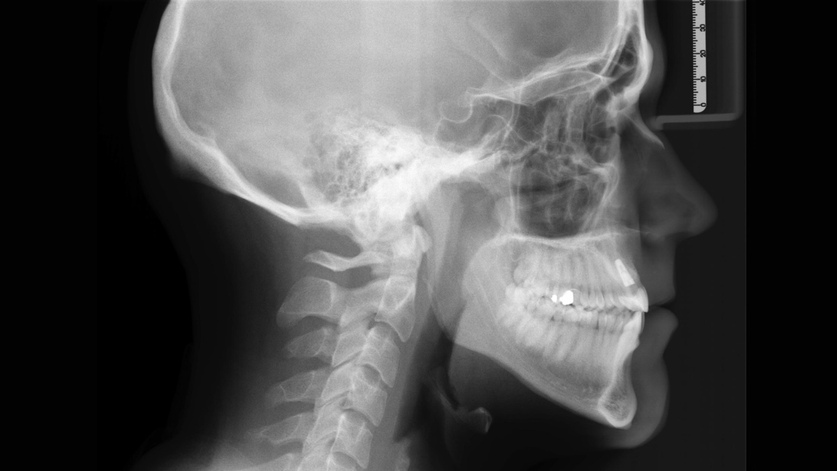
Ceph images

For optimal diagnostic support in orthodontics a left ceph arm can be ordered or retrofitted at any time

Easy and intuitive operation

With the MultiPad control panel

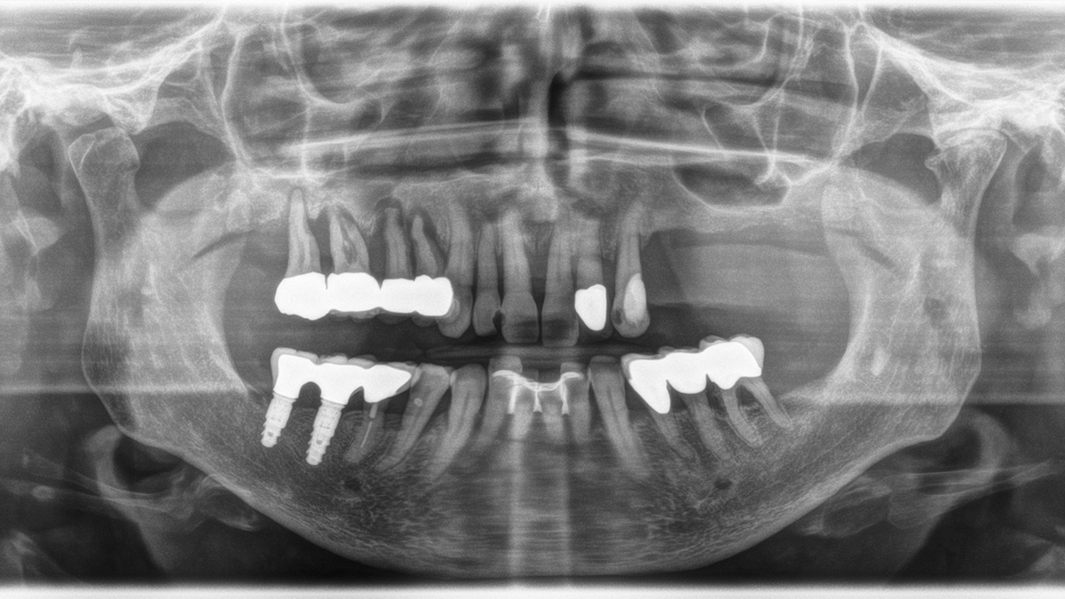
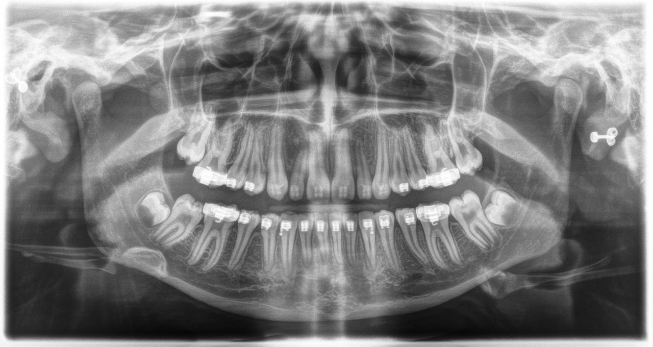
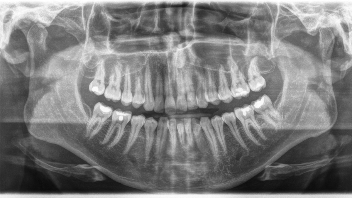
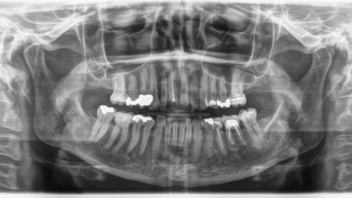
Gallery of Sample 2D Panoramic Images

Adolescent, full dentition with orthodontic braces. Agenesis of teeth 18 and 28 with the presence of odontoblasts in 38 and 48. The incomplete root growth in 37 and 47 as well as the root development of the two wisdom teeth are evidence of the patient's young age. Maxillary sinuses and surrounding anatomical structures not radiographically apparent
Prosthetic and prophylactic treatment of dentition. Hypodense clearly limited changes to the hard tooth substance in teeth 12, 11 and 22 (presumably non-x-ray-opaque composite fillings here). Hyperdense filling material in the roots of teeth 11, 36 and 35 without an indication for periapical lucency. Status post apicoectomy on tooth 36 with retrograde obturation of the mesial and distal roots. Good osseous union of the apical bone tissue, no indication of recurrent periapical osteolysis
Dentition badly damaged by periodontitis, with generalized horizontal bone resorption and vertical cavities with teeth 17 – 14 requiring extraction. Hypodense, homogenous and clearly delimited changes to the hard tooth substance on 12 mesial, 11 distal and 23 mesial with suspected caries or a differential diagnosis of non-x-ray-opaque composite fillings. Differential diagnosis: Caries or non-x-ray opaque composite fillings. PFM bridge at teeth 36 – 34 due to furcation on tooth 36 and calculus deposits mesially. Splinting of teeth 32-42 from past periodontal history. Hyperdense filling material in tooth 45 without an indication for periapical lucency. Implant-based treatment in the region of teeth 46 and 47 with radiographically inconspicuous PFM hybrid bridge 45 – 47
Prophylactically treated full dentition. Wisdom teeth are not present. Large maxillary sinuses are visually inconspicuous. The adjacent anatomical structures are also radiographically inconspicuous.

Sample Gallery of Cephalometric Images

FAQs

For more details please see Sidexis 4 system requirements.

Dentsply Sirona X-ray units work exclusively with Sidexis 4. Nevertheless data migration from Sidexis XG to Sidexis 4 is very easy. Sidexis 4 allows for the full digital experience with the latest tools

Contact us

Find out more about the X-ray Solutions from Dentsply Sirona and request information on intraoral X-ray, software or 2D and 3D imaging technology.