Learn more about the Dentsply Sirona Windows 11 Security Package to continue ensuring security and compatibility of your Dentsply Sirona devices.
Windows 11 Security Package Learn more
Implant Solutions World Summit 2026 Register now
Experience the future of connected dentistry: Each event showcases industry-leading education, cutting-edge advancements, renowned thought-leaders and unrivalled networking opportunities.
Our sustainability strategy is fundamental to our mission and is integral to everything we do.
DS Academy
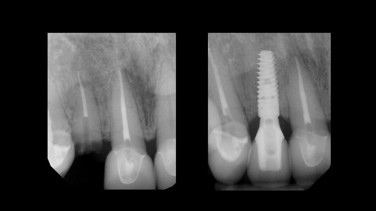
Utilizing procedure-based education1, this level will help the clinician grow into more advanced surgical and prosthetic concepts with the treatment of single tooth anterior implant cases
Throughout this level, the cases will cover topics including: Evaluating buccal and apical bone for immediate placement, Grafting around immediate implants (Dual Zone Technique), Defining implant orientation – The Rules of Six, Assessing primary stability for immediate provisionalization, CAD/CAM abutment options and designs. At the completion of this level, participants will understand how to place and restore a single-tooth implant in the anterior zone. Participants are encouraged to continue their education in Level 4, which will focus on multi-unit cases.
1. The implant curriculum is an interactive, procedure-based series of courses that use individual cases to teach current implant treatment. This approach is in contrast to conventional dental education that focuses more on didactic topics and theory. The purpose of using this educational approach is to highlight the patients and procedures found in everyday clinical practice, where the most important concepts are observed and discussed in multiple clinical scenarios.
Procedure-Based: Level 2 Courses
Procedure-Based: Level 4 Courses