Learn more about the Dentsply Sirona Windows 11 Security Package to continue ensuring security and compatibility of your Dentsply Sirona devices.
Windows 11 Security Package Learn more
Implant Solutions World Summit 2026 Register now
Experience the future of connected dentistry: Each event showcases industry-leading education, cutting-edge advancements, renowned thought-leaders and unrivalled networking opportunities.
Our sustainability strategy is fundamental to our mission and is integral to everything we do.
Achieve a reliable outcome with Dentsply Sirona’s Class II Solution. This proven approach addresses key procedure challenges with innovative product solutions at every step. Dentsply Sirona’s Class II approach provides the products and techniques necessary to achieve procedure success and patient satisfaction.
Case: A 38 year old male patient presented a failed Class II DO composite restoration on a lower molar. After radiographic and clinical examination, the patient was anesthetized, and the old failed restoration, as well as the caries lesion, was removed. The Class II DO cavity restoration was performed using an optimized approach.
Conclusion: In order to reduce the chance of post-operative sensitivity, the selective etching approach was used with a universal adhesive. For perfect to gap free composite adaptation, the low polymerization stress, self leveling, bulk-fill composite SDR Plus was used. In addition, for accurate proximal contour and optimal creation of a tight contact point, the sectional matrix system Palodent V3 was used.
Sao Paulo, Brazil
Case: Initial case showing defective and leaking old amalgam restorations.
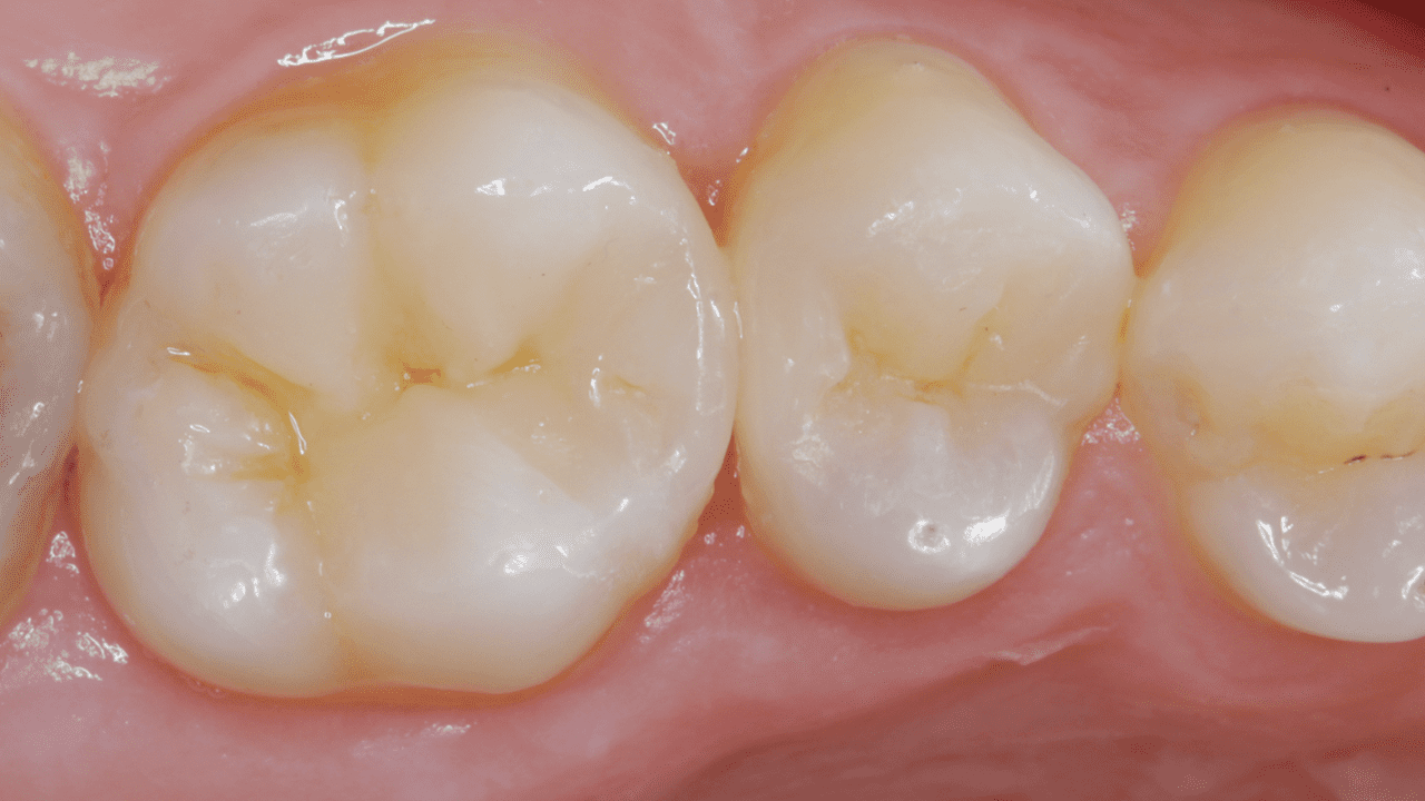
Results: Two-week recall. Final restoration and excellent gloss retention with Neo Spectra ST universal composite A2 and BW giving the tooth back its lost anatomy and natural esthetic appearance.
Baghdad, Iraq
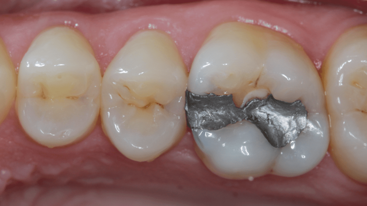
Case: Initial case showing defective and fractured old amalgam restoration.
Results: 3-month recall. Occlusal-palatal view depicting excellent gloss retention. Note the characterization and natural appearance obtained with Neo Spectra ST universal composite A2 and BW.
Baghdad, Iraq
Case: In cases where the gingival fl oor of the proximal box is subgingival, a marginal elevation procedure may be accomplished with SDR Plus base material. After marginal elevation, rubber dam is applied and a class II restoration is placed with a class II solution technique.
Results: Radiographic control, notice excellent marginal adaptation, seamless transition from SDR Plus bulk fill material to Neo Spectra ST composite material and lack of air-bubble entrapment.
Istanbul, Turkey
Find out more about our Restorative products and solutions.