All indications at a glance

When comparing the application areas of the different laser types it becomes clear that the diode laser offers the widest range of applications.

Discover case examples in the form of images and video clips from daily practice in surgery, endodontics, periodontology and more. Allow yourself to be inspired - nothing beats practical experience!

Treatment options with the SiroLasers

Surgery

The following applications are presented in the videos and images:

  • Surgery
  • Abscess
  • Epulis
  • Fibroma
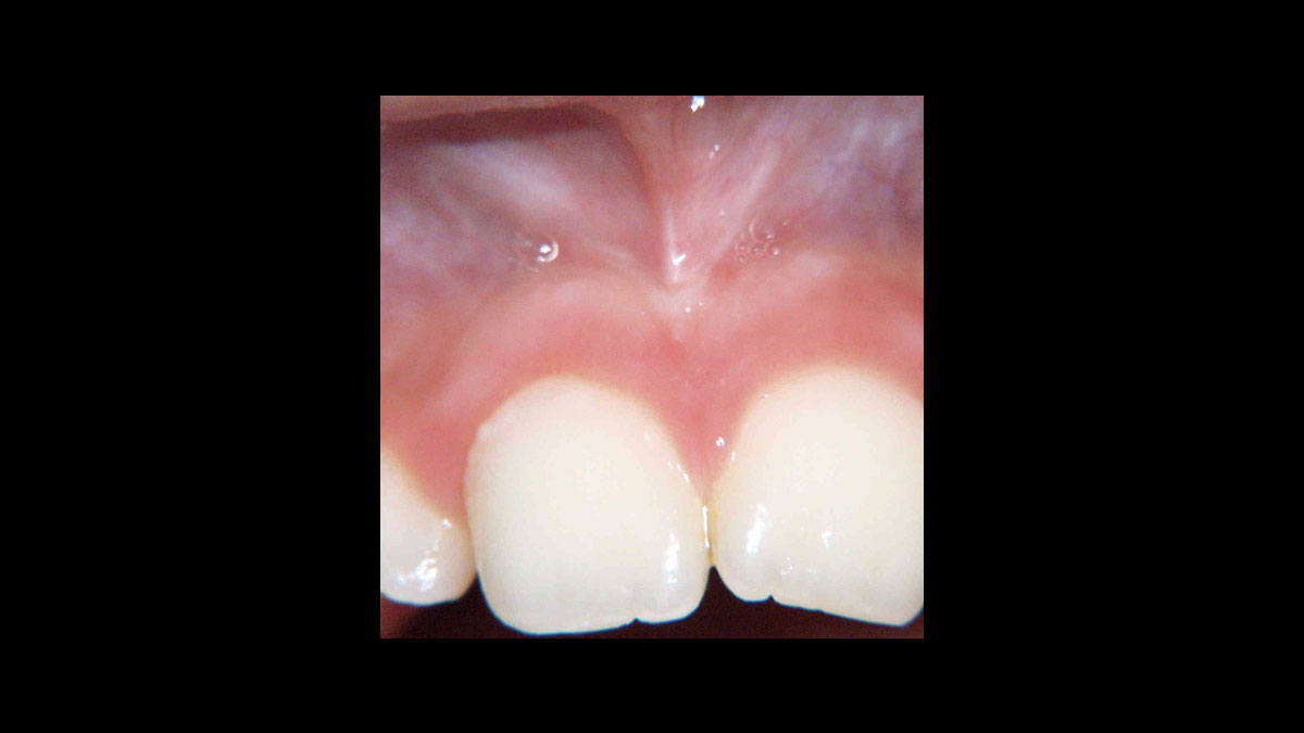
  • Frenectomy
  • Gingivectomy
  • Gingivoplasty
  • Implant uncovery
  • Incisions/excisions
  • Operculectomy
  • Gingival troughing
  • Exposing a displaced tooth (no predefined treatment program)

Fibroma

Frenectomy

Gingivoplasty

Implant uncovery

Operculectomy

Gingival troughing

Exposure of a displaced tooth


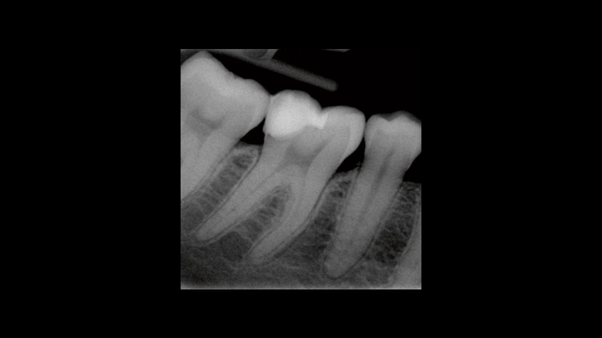
Endodontics

The following applications are presented in the videos and images:

  • Endodontic germ reduction
  • Gangrene germ reduction

Endodontic germ reduction


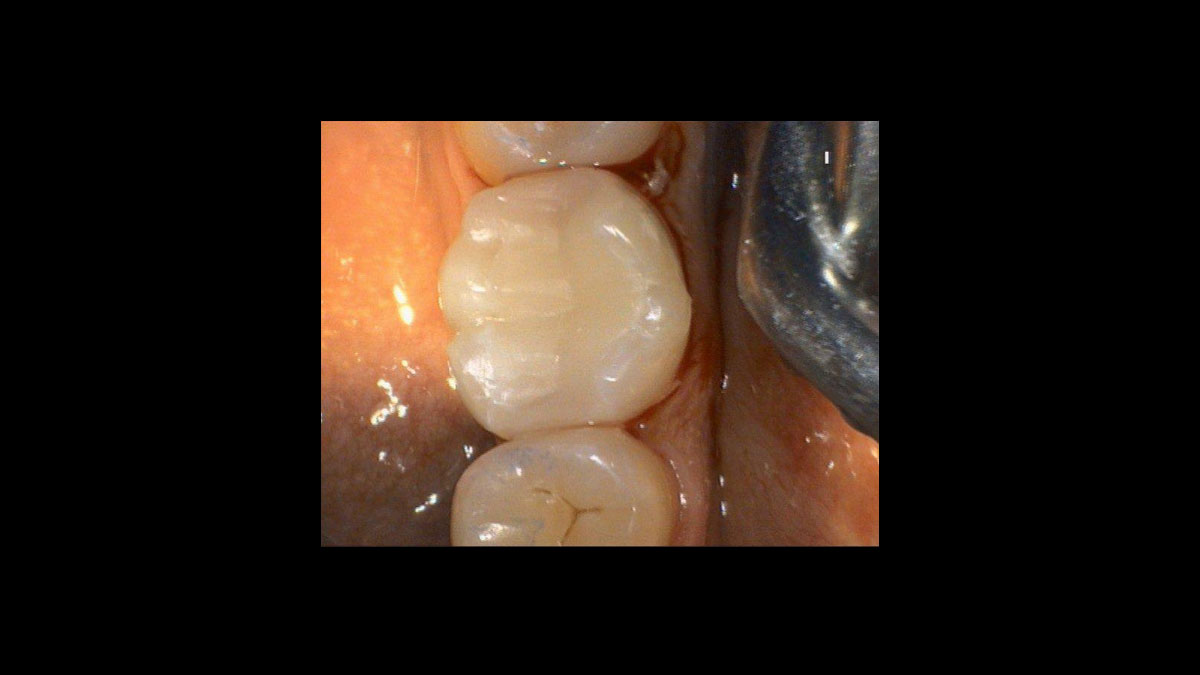
Periodontology

The following applications are presented in the videos and images:

  • Periodontic germ reduction

Periodontic germ reduction


Other indications

The following applications are presented in the videos and images:

  • Aphthous ulcers
  • Hemostasis
  • Herpes

Aphthous Ulcers

Hemostasis

Contact us

Find out more about instruments from Dentsply Sirona by requesting product information on straight and contra-angle handpieces, turbines, lasers and more.