Learn more about the Dentsply Sirona Windows 11 Security Package to continue ensuring security and compatibility of your Dentsply Sirona devices.
Subscribe to our newsletter and be the first to hear about events, courses and product launches. See what's new!
Implant Solutions World Summit 2026 Register now
Experience the future of connected dentistry: Each event showcases industry-leading education, cutting-edge advancements, renowned thought-leaders and unrivalled networking opportunities.
Our sustainability strategy is fundamental to our mission and is integral to everything we do.
Age
Gender
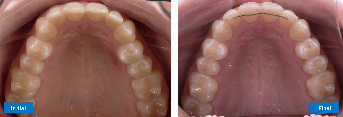
Patient’s chief complaint(s): Doesn’t like the alignment of her “front” teeth. She had relapse after previous orthodontic treatment with fixed braces provided by another practitioner, but now wanted to have a perfect smile for her wedding day.
Dental crowding is a symptom of a tooth-size–arch-length discrepancy. Doctors can address crowding by increasing the size of the dental arch with expansion or they can decrease the size of the teeth or tooth mass with interproximal enamel reduction (IPR) or extraction to resolve the discrepancy. In some cases, doctors might address crowding with a combination of both expansion/proclination and IPR. Regardless, each method has an impact on the opposing arch, so when patients like this case, present with moderate crowding on the lower arch and very little crowding or alignment concerns on the upper arch, the challenge becomes focused on how to level and align the lower arch knowing proclining the lower incisors may have a negative consequence in minimizing the overjet or creating negative overjet.
Learn more about how doctors treating patients presenting with moderate crowding on a lower arch without equal amounts of crowding on the upper arch are faced with an additional consideration in managing the patient’s overjet and overbite by reviewing this case shared by Dr. Antonino Secchi.
Dr. Secchi is a Dentsply Sirona KOL and an orthodontist with a private practice in Devon, PA.
Dentsply Sirona KOL
Diplomate, American Board of Orthodontics
Orthodontist
Private Practice in Devon, PA
Date of Issue
This case report is published as an inspiration for you as a clinician and not necessarily as a recommendtion from Dentsply Sirona
• Class I
• Mild crowding in the upper arch
• Moderate crowding in the lower arch
• Shallow overbite
• Maintain Class I molars
• Improve alignment of upper and lower arches
• Utilize IPR in the lower arch from cuspid to cuspid to create space needed to align incisors and keep them from proclining
• Improve the shallow overbite
Modalities: SureSmile® Software and Aligners
Duration: 5 months
# Aligners: U – 17 L – 17
All main objectives were achieved:
• Good alignment in upper and lower arches
• Shallow overbite was improved
• With alignment, the lower left cuspid is more ideally positioned where risks with heavy lateral forces are minimized
• Noticeable tissue improvement occurred post alignment
Retention: Upper & lower lingual fixed retainer
By using this site or downloading materials from this site, you agree that you are a healthcare professional and agree to abide by the terms and conditions set fourth in our Privacy Policy and Legal Notice.