Contact us

Achieve more with Dentsply Sirona.

Experience innovative solutions for your practice and patients with Gutta-Smart.

Gutta-Smart from Dentsply Sirona

Benefits

Why choose Gutta-Smart?

The efficiency of a total solution

Paired with the enhanced fit of Conform Fit master cones, Gutta-Smart provides the efficiency you expect in a complete obturation solution.

Gutta-percha with low-temperature flow

In both Conform Fit master cones and Gutta-Smart cartridges, the gutta-percha formula flows at a lower temperature, requiring less heat from the handpieces.

The right fit you can feel

Conform Fit master cones provide a snug apical fit for accurate tug-back, while the cordless Gutta-Smart handpieces provide precise control and excellent tactile feedback.

Durable, cordless performance

Well-balanced, lightweight and comfortable to use, both handpieces are cordless for freedom of movement.

All-day power³

A single charge gives you the power to complete an entire day’s work.

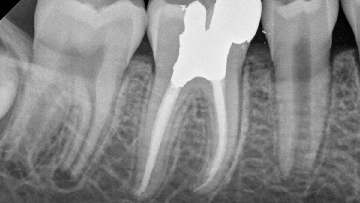
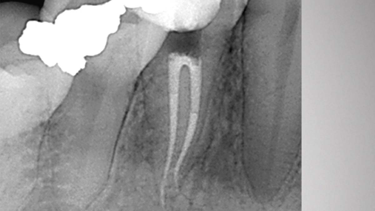
Gutta-Smart

On the left: Using different formulations of gutta-percha in one case can cause varying degrees of opacity.
Image courtesy of Dr. Phillip Bell, Mooresville, NC

On the right: Gutta-Smart and Conform Fit feature the same advanced gutta-percha for radiographic consistency.
Image courtesy of Dr. Nathaniel Behrents, Fayetteville, AR

Downloads

Further downloads are provided within our Download Center.

Contact us

Find out more about our Endodontics products and solutions.

  1. As compared to Dentsply Sirona Calamus®; data available. 
  2. As compared to Dentsply Sirona Calamus® Dual; data available.
  3. The battery capacities of the Flow and Pack handpieces allow for them to be used up to five procedures per day on a single charge.