Give us a call or provide your contact details below, and a Dentsply Sirona representative will be in touch soon.
Axeos – the 2D/3D specialist system with a large volume and high image quality for practices with a broad treatment offering. Developed together with dentists and clinicians, Axeos provides the fullest range of functions out of all Dentsply Sirona extraoral X-ray devices. In addition to excellent image quality and tailor-made 3D volume sizes, the dental imaging device is fully optimised for enhanced patient comfort. Axeos not only provides quality in performance and comfort, but also with its award-winning design thanks to the integrated bite block accessory cabinet and ambient light.
Benefits
Numerous volume sizes ensure flexibility in everyday practice. Examine a precise area or evaluate the complete dentition including the TMJs
With the Intelligent Low Dose mode, you get 3D images in the dose range of a 2D X-ray. In HD mode (up to 1,400) individual images are captured during a single rotation and converted into a 3D volume with up to 80 μm for low-noise images in high resolution
For exceptional panoramic images with high sharpness. You can choose an optional right or left cephalometric arm, which can be retrofitted at any time
Through connectivity to PACS, RIS, DICOM Worklist and DICOM Printers. X-ray images according to the DICOM standard
With EasyPad and autopositioner for high image quality, easy reproducibility and comfort for patient and assistant
For convenient storage of the bite block accessories, the intergrated cabinet has interior illumination and is in close reach of the operator
For efficient workflows and reduced waiting times. The smart height adjustment automatically sets the unit to the individual patient height based on stored settings from previous visits
When trying to capture a successful medical or dental X-ray there is an ongoing fundamental conflict. On the one hand, you want to do whatever it takes to acheive maximum image quality, on the other hand, the radiation dose should be as low as reasonably achievable for the patient. At Dentsply Sirona we are dedicated to offering products that ensure exceptional image quality while supporting safe and ethical practice. When developing our products, we observe the internationally valid ALARA principle (as low as reasonably achievable).
Intelligent Low Dose
Thanks to the optimised low dose mode with a dedicated filter, the imaging of dense structures, such as bones, is possible at a greatly reduced dose. This makes Intelligent Low Dose an attractive and efficient option for many clinical situations. Whether in orthodontics or implantology - with Dentsply Sirona solutions you will find the optimum setting for every case.
The Direct Conversion Sensor (DCS) has revolutionised the standard of panoramic imaging. X-rays are converted directly into electrical signals. Thus, there is no signal loss due to light conversion, as is the case with conventional systems. The result: images with a high level of sharpness and contrast – even at an extremely low radiation dose. For accurate diagnostic information to support targeted treatment.
The image below shows a panoramic X-ray without and with DCS technology. Using the arrow, drag the control across the image to see the difference the direct conversion sensor makes to the image quality and diagnostic possibilities.
The right focus is crucial for excellent panoramic radiographs. With the autofocus function you will automatically receive an image with the best possible sharpness in focus. Dentsply Sirona Imaging devices take several thousand individual images in one cycle and automatically identify the areas where the jaw is optimally positioned. Without any additional manual steps, these images are then displayed in a final sharp image.
Only some parts of the image are in focus, while other areas are blurred.
The system detects the relevant areas from several thousand individual images in one cycle and automatically identifies the areas where the jaw is optimally positioned.
Sharp images.
Axeos is equipped with an ambient light illuminating the unit and creating a calming environment to make your patient experience as pleasant as possible. With a selection of more than 35 colours to choose from, you can ensure that it fits perfectly with your modern practice aesthetic.
The requirements follow those for image processing software Sidexis 4 and Axeos. For more details please see Sidexis 4 system requirements and Axeos installation requirements.
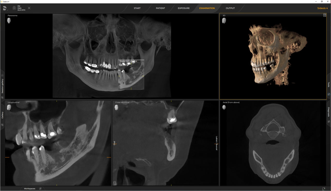
Dentsply Sirona 3D units work exclusively with Sidexis 4. Nevertheless data migration from Sidexis XG to Sidexis 4 is very easy. Sidexis 4 allows for the full digital experience with the latest tools.
Orthophos S 2D allows a 3D upgrade. Axeos is a dedicated hybrid unit. The Orthophos E does not offer this option.