Give us a call or provide your contact details below, and a Dentsply Sirona representative will be in touch soon.
Single-visit indirect restorations CEREC blocks should seamlessly integrate into your workflow. Trade-offs shouldn’t be part of the consideration process. With state-of-the-art technology, you don’t need to compromise. Aesthetics and strength. Strength and speed. Aesthetics and speed. All combinations come standard to help you deliver state-of-the-art restorations.
CEREC Tessera™ - Advanced Lithium Disilicate is one material ready to be integrated into your digital workflow as your go-to glass ceramic block or in combination with CEREC MTL® Zirconia for a complete CEREC block offering.
CEREC Tessera™ Abutment blocks are a product extension of CEREC Tessera™ Advanced Lithium Disilicate Blocks. The CEREC Tessera™ ceramic structure cemented to the TiBase is recommended for two-piece hybrid abutments for single tooth restorations and hybrid abutment crowns, used in conjunction with endosseous dental implants.
Benefits
Up to 32% stronger than the competition with biaxial strength measured at more than 700 MPa.1
The dual crystal stucture interacts with the visible light spectrum for ideal translucence, flourescence and opalescence.
Clinicians can save up to 44% of total processing time (grinding and firing) without compromising on the full range of aesthetic options.1
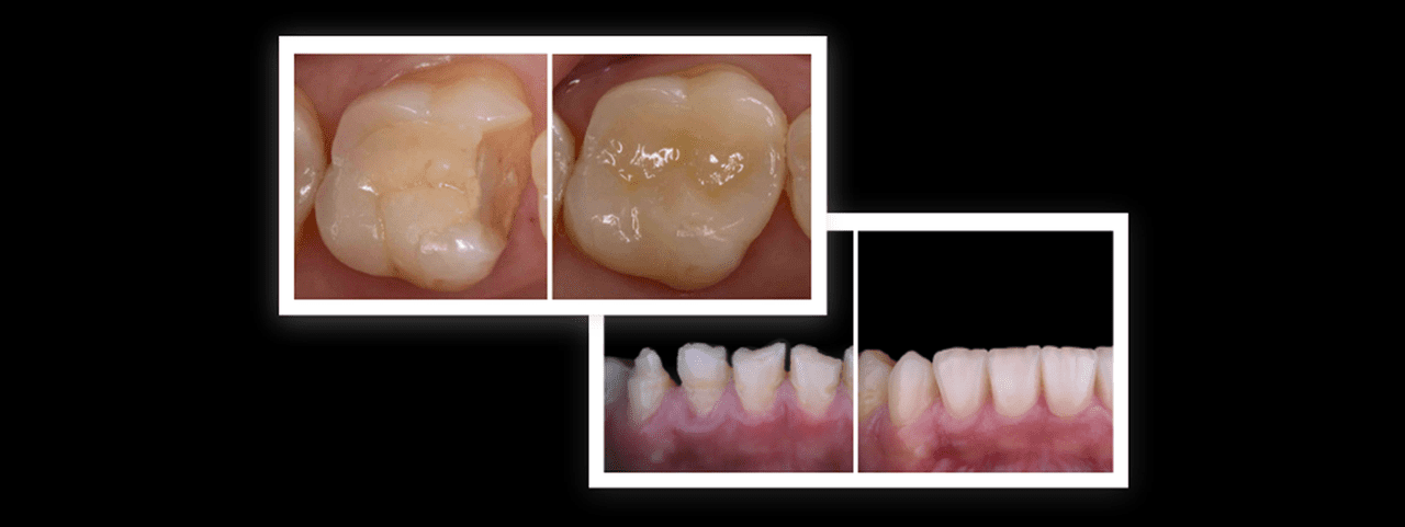
Indicated for use for single-unit full contour crowns, inlays, onlays, and veneers.
1. Internal data on file. For more information, contact Consumables-Data-Requests@dentsplysirona.com
ABOUT ADVANCED LITHIUM DISILICATE
TESTIMONIALS
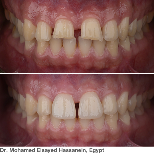
"Margins milled beautifully. The shade worked out nicely for this case! No adjustments were needed."
Shivi Gupta, DDS
“The firing time is a game changer with this material.”
Michael Snider, DMD
ABOUT CEREC TESSERA™
1. Internal data on file. For more information, contact Consumables-Data-Requests@dentsplysirona.com
1. Internal data on file. For more information, contact Consumables-Data-Requests@dentsplysirona.com
1. Internal data on file. For more information, contact Consumables-Data-Requests@dentsplysirona.com
SINGLE-UNIT CROWN WORKFLOW
CEREC Tessera™ blocks enable unprecedented processing speed for greater patient satisfaction and a more productive practice, requiring only 4.5 minutes in a CEREC SpeedFire® furnace1, even with stains.
CHAIRSIDE IMPLANT TIBASE RESTORATION PROCEDURE
CEREC Tessera™ blocks are designed for the in-office workflow and can be finished quickly and reliably. Turn to this powerful combination for more efficient workflows. Combine all the elements for implant TiBase restoration success.
In this workflow, a CEREC Tessera™ abutment block is used as full-coverage crown that is extraorally cemented to a TiBase. It is then screwed into the implant system. Compositae (like Neo Spectra® ST) is used to fill the screw channel and complete the restoration.
Primescan and CEREC® Software offer speed, simplicity and accuracy in high resolution digital impressions for improved clinical outcomes and profit potential.
CEREC® Primemill delivers quality, speed, convenience, and versatility for outstanding margins and surface details.
CEREC SpeedFire® is the smallest and fastest sintering furnace available. Glaze CEREC Tessera™ abutment in about 4.5 minutes.
In this workflow, a CEREC Tessera™ abutment block is used to create a custom abutment to which any full-coverage crown can be cemented. CEREC Tessera™ abutment block is extraorally cemented to a TiBase and screwed into the implant system intraorally. A full-coverage crown is then cemented intraorally.
Primescan and CEREC® Software offer speed, simplicity and accuracy in high resolution digital impressions for improved clinical outcomes and profit potential.
CEREC® Primemill delivers quality, speed, convenience, and versatility for outstanding margins and surface details.
CEREC SpeedFire® is the smallest and fastest sintering furnace available. Glaze CEREC Tessera™ abutment crowns in about 4.5 minutes.
Further downloads are provided within our Download Centre.
1. Internal data on file. For more information, contact Consumables-Data-Requests@dentsplysirona.com