Give us a call or provide your contact details below, and a Dentsply Sirona representative will be in touch soon.
Experience the future of connected dentistry: Each event showcases industry-leading education, cutting-edge advancements, renowned thought-leaders and unrivalled networking opportunities.
Our sustainability strategy is fundamental to our mission and is integral to everything we do.
Give us a call or provide your contact details below, and a Dentsply Sirona representative will be in touch soon.
Achieve a reliable outcome with Dentsply Sirona’s Class II Solution. This proven approach addresses key procedure challenges with innovative product solutions at every step. Dentsply Sirona’s Class II approach provides the products and techniques necessary to achieve procedure success and patient satisfaction.
Case: A 38 year old male patient presented a failed Class II DO composite restoration on a lower molar. After radiographic and clinical examination, the patient was anaesthetised, and the old failed restoration, as well as the caries lesion, was removed. The Class II DO cavity restoration was performed using an optimised approach.
Conclusion: In order to reduce the chance of post-operative sensitivity, the selective etching approach was used with a universal adhesive. For perfect to gap free composite adaptation, the low polymerisation stress, self levelling, bulk-fill composite SDR flow+ was used. In addition, for accurate proximal contour and optimal creation of a tight contact point, the sectional matrix system Palodent V3 was used.
Sao Paulo, Brazil
Case: Initial case showing defective and leaking old amalgam restorations.
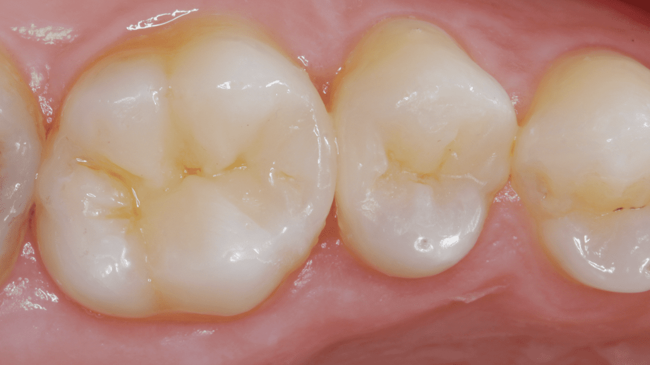
Results: Two-week recall. Final restoration and excellent gloss retention with Ceram.x Spectra ST universal composite A2 and BW giving the tooth back its lost anatomy and natural aesthetic appearance.
Baghdad, Iraq
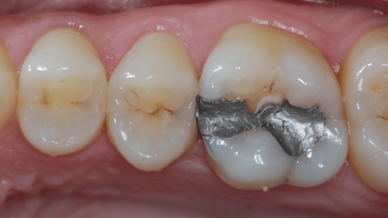
Case: Initial case showing defective and fractured old amalgam restoration.
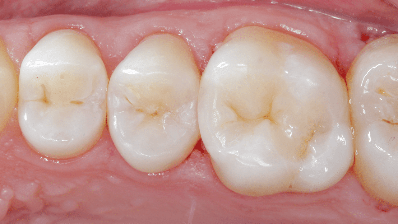
Results: 3-month recall. Occlusal-palatal view depicting excellent gloss retention. Note the characterisation and natural appearance obtained with Ceram.x Spectra ST universal composite A2 and BW.
Baghdad, Iraq
Case: In cases where the gingival fl oor of the proximal box is subgingival, a marginal elevation procedure may be accomplished with SDR flow+ base material. After marginal elevation, rubber dam is applied and a class II restoration is placed with a class II solution technique.
Results: Radiographic control, notice excellent marginal adaptation, seamless transition from SDR flow+ bulk fill material to Ceram.x Spectra ST composite material and lack of air-bubble entrapment.
Istanbul, Turkey
Find out more about our Restorative products and solutions.
By using this site or downloading materials from this site, you agree that you are a healthcare professional and agree to abide by the terms and conditions set forth in our Privacy Policy and Legal Notice.