Learn more about the Dentsply Sirona Windows 11 Security Package to continue ensuring security and compatibility of your Dentsply Sirona devices.
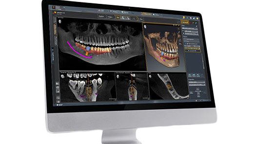
The SICAT suite of software solutions offers dental practices modern treatment planning support so that they can provide their patients with safe, efficient, accurate and aesthetically successful treatment results in implantology, endodontics, and sleep apnea therapy treatments. The entire SICAT suite integrates seamlessly with your Sidexis 4 software. You get the benefit of clinical precision and peace of mind with an innovative, easy-to-navigate software partner.
Benefits
Transitioning from diagnosing to planning only takes a simple click of your mouse and you never have to exit the software
Optimized with a modern and easy-to-use interface and straightforward navigation of the tools and functions, ensuring a small learning curve for the user and efficient workflows
From implantology, Sleep Apnea treatment therapy, and endodontics, from basic to complex cases - you can feel confident in offering your patients more possibilities
Implantology is an essential treatment in any practice. It has an extensive amount of revenue opportunities. Implantology is a clinical area in which many patients face issues, so it is crucial that you have modern and efficient tools to support you in providing exceptional patient care and successful clinical outcomes while also creating business opportunities for your practice. SICAT Implant 2.0 is your perfect partner for to make this a reality.
Whether you are just getting started or are already an experienced implantologist, SICAT Implant 2.0 effectively guides you through the implantology workflow with ease and efficiency.
Featuring seamless integration between diagnosis and planning, you get a truly unique user experience and an effective partner for your implant workflow.
SICAT Implant 2.0 supports precision and accuracy during the implant planning process. This helps the clinician to foresee any unfavorable complications prior to treatment, and helps to promote clinical confidence during surgery. In combination with the numerous surgical guide options, which can be ordered directly in the software, sent out to a local lab, or milled directly in-house with your CEREC milling unit, you are supported until the final placement of the implant.
Step by step
SICAT Air is the first 3D solution to allow not only the analysis of the upper airway but also visualization and planning of the appliance-based treatment true to anatomy. The combination of the patient's 3D X-ray and digital intraoral impression allow for a completely digital workflow.
Analysis, treatment planning and the order of a SICAT OPTISLEEP appliance can be done in one single patient session.
SICAT Endo is the first 3D solution for the diagnosis and planning of endodontic treatments. In addition to providing a more detailed realization of guided root canal treatment, SICAT Endo simplifies the endodontic process as a whole, facilitating security and peace of mind that you are fully supported for an accurate, safe, and successful treatment outcome.