Blog Post
Single-Unit Crown Workflow
Restorative


Crown cementation is the culmination of an indirect restoration. For patients, it is an awaited moment to look forward to. As a clinician, it is a high-precision procedure that helps to ensure the long-term success of the crown. Here, we’ll look at the requirements of contemporary restorative materials used for single-unit crowns, the importance of cement selection and recommendations.

The role of a cement in providing a good marginal seal

 

In addition to excellent retention, crown cementation must result in a good marginal seal for successful long-term outcomes. Even with the most accurate techniques and materials available, microgaps (microscopic marginal gaps) exist between the restoration margins and the tooth. The luting cement should reliably fill microgaps, seal off the tooth structure at the margins, and maintain marginal integrity. Of course, that also means that the cement should be insoluble and resist degradation over time. So why is marginal integrity so important? It prevents microleakage, reducing the risk of sensitivity, secondary caries at the margins and ultimately, premature restoration failure.

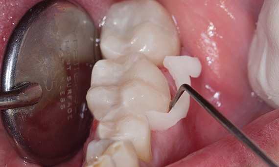
The importance of cleaning up excess cement

 

Removal of excess cement at the time of crown cementation is essential to preserve periodontal health. Failure to thoroughly remove excess cement during clean-up results in it acting as a gingival irritant. Excess cement has a rough surface that encourages bacterial colonization and biofilm accumulation which leads to gingival inflammation with local swelling and bleeding. And, excess cement interproximally can make it impossible for patients to use dental floss. In the longer term, periodontal pockets with bone loss can occur. Marginal discoloration is a further problem associated with excess cement.

With respect to cement-retained implant-supported crowns, excess cement is a well-known risk factor for peri-implantitis. The excess cement encourages biofilm accumulation – in this case resulting in peri-implant mucositis rather than gingivitis. Over time, peri-implant mucositis progresses to peri-implantitis with increased probing depths, bleeding upon probing, peri-implant bone loss and, eventually, may result in loss of the implant.

These negative outcomes highlight the need to choose a cement that offers easy clean-up with thorough removal of the excess cement adjacent to both natural teeth and implants. 

Needs for cementing different substrates (glass ceramic vs. zirconia)

 

Glass ceramics and zirconia are both excellent choices for single-unit crowns. Following standard procedure, both are conditioned on their inner surface (the intaglio) prior to cementation. Three steps are generally involved: 1) ‘roughening’, 2) cleaning, and 3) chemical pre-treatment. The first step increases the surface area available for bonding, while the third step improves bonding to the cement. The end goal is to obtain and optimize a durable crown to cement bond. Glass ceramics and zirconia do, however, differ in how these steps are achieved.  

Glass ceramic: The inner surface is first etched using hydrofluoric acid, then cleaned. A silane coupling agent is then used for chemical pre-treatment of the inner surface. Of note, while this is a general protocol, there may be no need for silanization depending on the cement selected.

Zirconia: The inner surface is sandblasted with aluminum oxide or blasted with alumina-coated silica particles. After sandblasting, chemical pre-treatment of the surface using a zirconia primer, or adhesive containing PENTA or MDP, is recommended. However, depending on the luting cement selected, this step may not be required (see below).  

Types of luting cements: resin vs. conventional

 

Many cements are available for crown cementation. Traditional options include zinc phosphate cement (ZnPO4), polycarboxylate cements (PCC), glass ionomer and resin-modified glass ionomer cements. Additional options now include bonded resin-based cements and self-adhesive cements, as well as bioceramic cements based on a combination of calcium aluminate and glass ionomer. Desirable attributes include:

  • Suitable flowability and film thickness
  • Suitable bond strength
  • Excellent marginal seal
  • Stability and durability
  • Esthetics
  • Technique tolerance
  • Efficient procedure / technique
  • High radiopacity

Obtaining Long-term Success for Glass Ceramic and Zirconia Crowns with Help from Dentsply Sirona

 

The long-term success of glass ceramic and zirconia crowns depends in part on the luting cement and the technique used for crown cementation. Choosing the right products and protocols is essential. That’s where Dentsply Sirona’s Calibra® Ceram Adhesive Resin Cement+ Prime&Bond universalTM Universal Adhesive and Calibra® Universal Self-Adhesive Cement can help.

Calibra® Ceram is an adhesive resin cement formulated for maximum strength, making it ideal for glass ceramics / CEREC Tessera™ blocks. This fluoride-containing cement can be light-cured, self-cured or dual-cured and offers excellent esthetics in 5 esthetic color-stable shades. 

Simplified, reliable cementation is designed in, as well as a low film thickness, a rapid 5-second tack cure and a 45-second gel phase for easy clean-up. 

 

When used with Dentsply Sirona’s Prime&Bond universalTM adhesive, excellent strength is obtained. Prime&Bond universalTM adhesive offers low film thickness and versatility. Thanks to the unique Active-Guard™ Technology, it provides a reliable bond on overly wet or dry dentin, adding more robustness to the cementation procedure. It can be applied in all etching methods (self-etch, etch&rinse or selective enamel etching). It contains MDP, which makes it suitable for the use as Zirconia or metal primer. When used with Calibra® Ceram or Calibra® Universal, no additional Activator is needed.

Calibra® Universal is a two-component, dual-cure, high strength self-adhesive cement which contains fluoride. Calibra Universal combines esthetic shading with a self-etching adhesive, making it suitable for the permanent cementation of metal, PFM, resin/composite, ceramic and porcelain inlays, onlays, crowns and bridges and endodontic posts without application of a separate dentin/enamel adhesive bonding agent/system. It is the simple choice for successful results and no need for additional etchant or adhesive. 

With its wide tack-cure window of up to 10 seconds and an extended 45-second gel-phase, Calibra Universal cement ensures an easy, stress-free cleanup for all CEREC MTL™ Zirconia and glass ceramic restorations.

The high radiopacity of Calibra Universal can aid in providing a clear view of the material within the crown. This helps avoid a misdiagnosis of gaps or voids, which can lead to costly remakes. 

Here at Dentsply Sirona we want to support you further with our online dental academy complete with webinars, how-to videos, and real-world examples on how to create streamlined solutions with efficient procedures and even greater patient satisfaction. Contact us now and let’s get started!

 

References

Hidalgo J, Baghernejad D, Falk A et al. The influence of two different cements on remaining cement excess in cement-retained implant-supported zirconia crowns. An in vitro study. BDJ Open 7, 5 (2021). https://doi.org/10.1038/s41405-021-00063-8.

Lawson N, Mangla P, Mantri C. Clinical Solutions for Removing Excess Cement. Dentistry Today. February, 2022.

Rita A, Reis J, Santos IC, Delgado AHS, Rua J, Proença L, Mendes JJ. Influence of silane type and application time on the bond strength to leucite reinforced ceramics. Ann Med. 2021 Sep 28;53(Suppl 1):S50–1. doi: 10.1080/07853890.2021.1897360.

van den Breemer CRG, Gresnigt MMM, Cune MS. Cementation of Glass-Ceramic Posterior Restorations: A Systematic Review. Review Biomed Res Int. 2015;2015:148954. doi: 10.1155/2015/148954.  


Related Articles