Learn more about the Dentsply Sirona Windows 11 Security Package to continue ensuring security and compatibility of your Dentsply Sirona devices.
Subscribe to our newsletter and be the first to hear about events, courses and product launches. See what's new!
Implant Solutions World Summit 2026 Register now
Experience the future of connected dentistry: Each event showcases industry-leading education, cutting-edge advancements, renowned thought-leaders and unrivalled networking opportunities.
Our sustainability strategy is fundamental to our mission and is integral to everything we do.
Case Study
Age
Gender
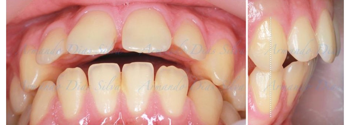
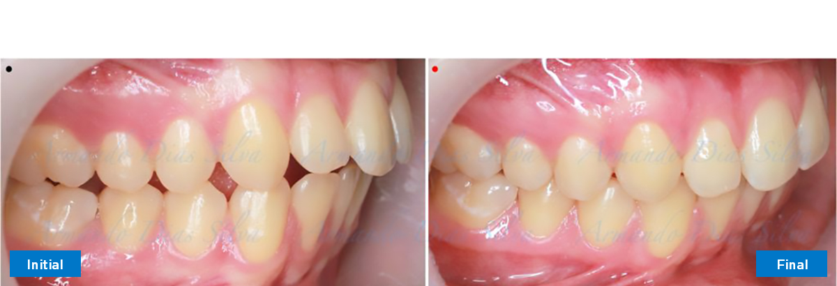
Patient’s chief complaint(s): Central incisor protrusion and open bite. Patient refuses palatal arch expansion (MARPE) and extractions.
This teen patient presented with Class II molars and didn’t like his open bite and how protrusive his front teeth were. From his facial photos, it appeared his mandible was retrognathic or he lacked volume in his chin. Patient records also indicated there was a functional problem as there was no incisor guidance.
See how doctors are treating Class II cases with distalization primarily and without elastics in this SureSmile aligner case shared by Dr. Armando Dias da Silva. Dr. Dias da Silva is an orthodontist with a private practice in Porto, Portugal.
Orthodontist
Private Practice in Porto, Portugal
Date of Issue
This case report is published as an inspiration for you as a clinician and not necessarily as a recommendtion from Dentsply Sirona
• Class II molars
• Diastema
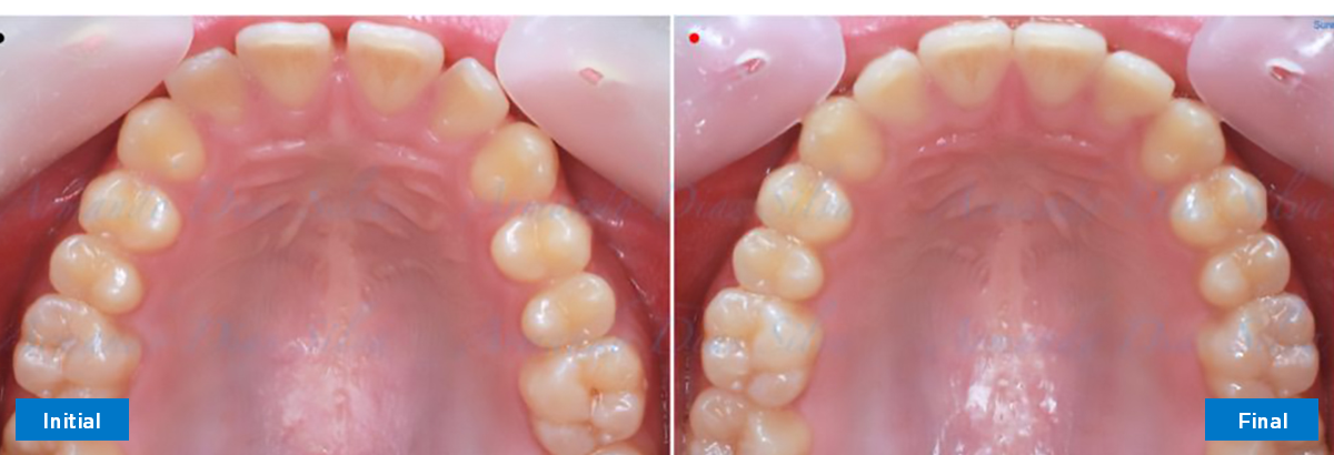
• Mild spacing upper and lower arches (transverse deficiency of 3.45 mm)
• Upper right first molar is in a more mesial position than the upper left first molar
• Mild maxillary transverse deficiency (3.45 mm)
• Proclined upper and lower incisors
• Unfavorable canine guidance
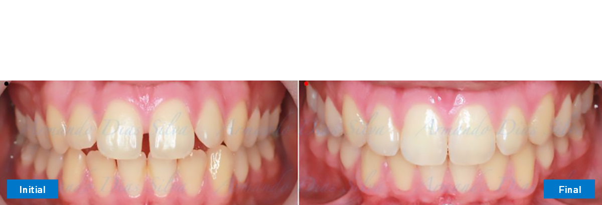
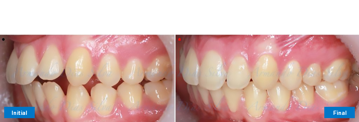
• Align and level with no extractions
• De-rotate and distalize upper molars
• Retrude upper incisors
• Retrocline lower incisors
• Genioplasty when adult
Modalities - SureSmile® Software and Aligners
Duration - 7 months, 7 appointments
# Aligners - U: 24 L: 16
All main objectives were achieved:
Retention: Upper arch retained with a clear retainer. Lower arch retained with a lingual retainer bonded cuspid to cuspid.
By using this site or downloading materials from this site, you agree that you are a healthcare professional and agree to abide by the terms and conditions set fourth in our Privacy Policy and Legal Notice.