Learn more about the Dentsply Sirona Windows 11 Security Package to continue ensuring security and compatibility of your Dentsply Sirona devices.
Subscribe to our newsletter and be the first to hear about events, courses and product launches. See what's new!
Implant Solutions World Summit 2026 Register now
Experience the future of connected dentistry: Each event showcases industry-leading education, cutting-edge advancements, renowned thought-leaders and unrivalled networking opportunities.
Our sustainability strategy is fundamental to our mission and is integral to everything we do.
Age
Gender
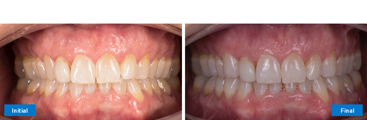
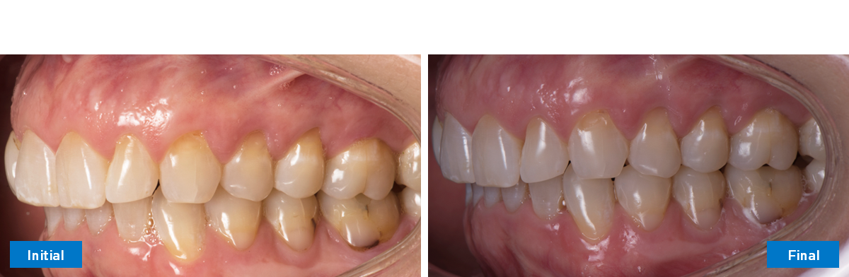
Patient’s chief complaint(s): Doesn’t like her narrow smile.
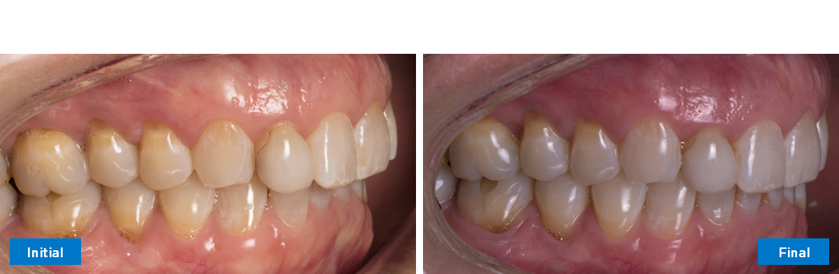
Adult orthodontic treatment has become increasingly popular. Typically, it’s the facial and dental esthetics that drive adults to the practice seeking orthodontic treatment, and not their bite! In this case, you will see how Dr. Secchi helped the patient achieve a wonderful improvement with her smile by broadening her arches with aligner therapy focused on helping him upright all posterior teeth (canines, premolars and molars) while keeping proper arch coordination. The changes to her buccal corridor achieved orthodontically shows us how proper crown inclination provides both functional and esthetic benefits to the patient.
See how doctors are using SureSmile Aligners with adults who have stable Class II bites to address their esthetic concerns in this case shared by Dr. Antonino Secchi.
Dr. Secchi is a Dentsply Sirona KOL and an orthodontist with a private practice in Devon, PA.
Dentsply Sirona KOL
Diplomate, American Board of Orthodontics
Orthodontist
Private Practice in Devon, PA
Date of Issue
This case report is published as an inspiration for you as a clinician and not necessarily as a recommendtion from Dentsply Sirona
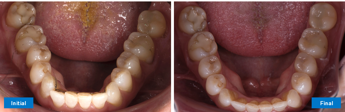
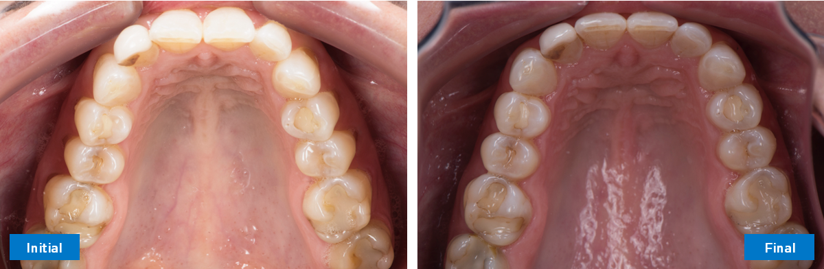
• Class II end-on relationship
• Mild misalignment upper and lower front teeth
• Lingually inclined upper and lower canines, premolars and molars
• Generalized mild gingival recession
• Level and align upper and lower incisors
• Tip buccally, all posterior teeth about 1.5mm
• Coordinate upper and lower arches
• Broaden upper and lower arch by up righting buccally all posterior teeth 1.5 mm per side keeping proper arch coordination
Modalities: SureSmile® Software and Aligners
Duration: 4 months
# Aligners: U – 13 L – 14
All main objectives were achieved:
• Very nice improvement of the patient’s smile esthetics was achieved
• As shown in digital setup of the before and after occlusal 3D models, the upper and lower posterior teeth tipped buccally about 2.5mm on average
• Alignment of upper and lower incisors improved
• Good arch coordination was achieved
Retention: Upper & lower arch retained with a clear retainer.
By using this site or downloading materials from this site, you agree that you are a healthcare professional and agree to abide by the terms and conditions set fourth in our Privacy Policy and Legal Notice.