Learn more about the Dentsply Sirona Windows 11 Security Package to continue ensuring security and compatibility of your Dentsply Sirona devices.
Subscribe to our newsletter and be the first to hear about events, courses and product launches. See what's new!
Implant Solutions World Summit 2026 Register now
Experience the future of connected dentistry: Each event showcases industry-leading education, cutting-edge advancements, renowned thought-leaders and unrivalled networking opportunities.
Our sustainability strategy is fundamental to our mission and is integral to everything we do.
Age
Gender
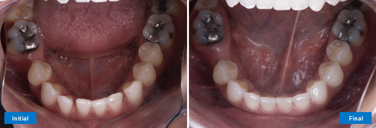
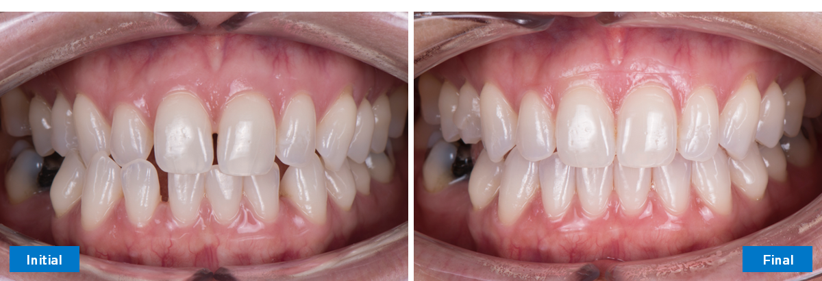
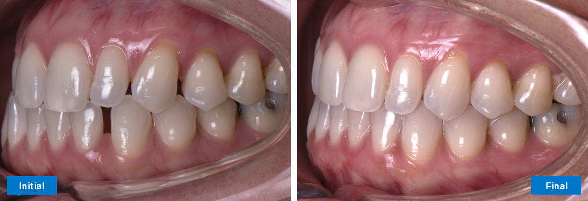
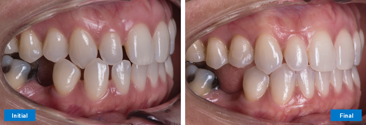
Patient’s chief complaint(s): Doesn’t like the gaps between her teeth.
Patient presented with spacing in the upper and lower arches and a missing lower bicuspid. Due to the positions of the upper and lower right cuspid in crossbite, she had poor anterior coupling along with poorly coordinated arches.
Learn more about how aligner therapy is used by many doctors prior to implant placement to redistribute and consolidate spaces in this case shared by Dr. Antonino Secchi.
Dr. Secchi is an orthodontist with a private practice in Devon, PA.
Dentsply Sirona KOL
Diplomate, American Board of Orthodontics
Orthodontist
Private Practice in Devon, PA
Date of Issue
This case report is published as an inspiration for you as a clinician and not necessarily as a recommendtion from Dentsply Sirona
• Mild Class III
• Moderate spacing upper and lower arch
• Midlines off 1.5 mm
• Crossbite upper right lateral incisor and canine
• Missing lower right second bicuspid
• Close all spaces
• Correct anterior crossbite on the right side
• Increase buccal tip to upper right cuspid and lingual crown torque of the lower right cuspid to improve the coupling
• Coordinate upper and lower arches and maintain the occlusal plane
• Correct midlines and leave adequate space for implant restoration of lower right second premolar
Modalities: SureSmile® Software, Aligners & Propel Orthodontics VPro ™
Duration: 10.5 months
# Aligners: U – 41 L – 33
All main objectives were achieved:
Retention: Upper & lower clear retainer
By using this site or downloading materials from this site, you agree that you are a healthcare professional and agree to abide by the terms and conditions set fourth in our Privacy Policy and Legal Notice.