Learn more about the Dentsply Sirona Windows 11 Security Package to continue ensuring security and compatibility of your Dentsply Sirona devices.
Windows 11 Security Package Learn more
Experience the future of connected dentistry: Each event showcases industry-leading education, cutting-edge advancements, renowned thought-leaders and unrivalled networking opportunities.
Our sustainability strategy is fundamental to our mission and is integral to everything we do.
Age
Gender
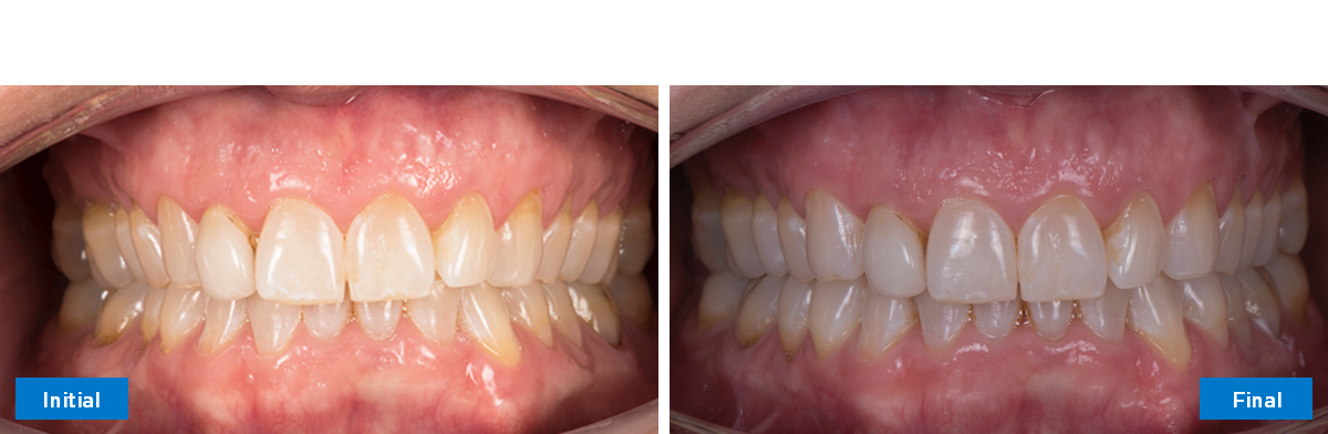
Patient’s chief complaint(s): Doesn’t like her narrow smile.
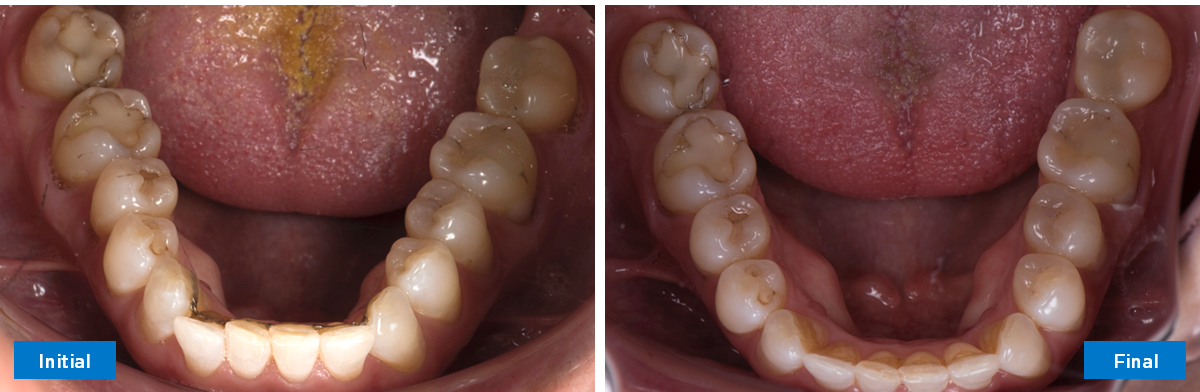
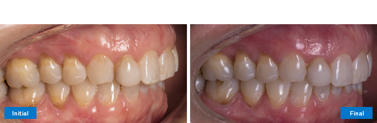
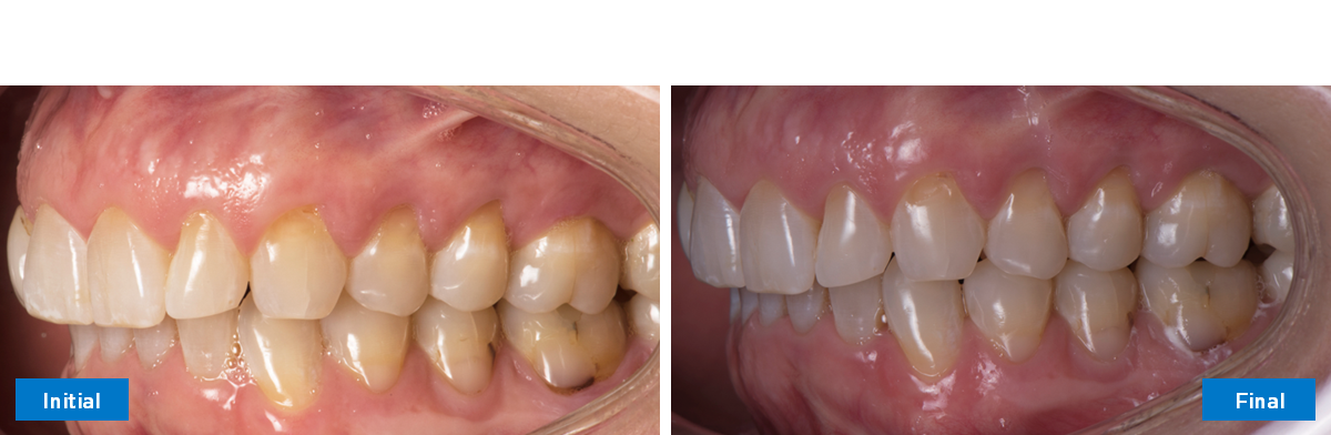
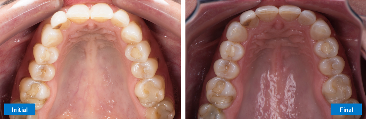
Adult orthodontic treatment has become increasingly popular. Typically, it’s the facial and dental aesthetics that drive adults to the practice seeking orthodontic treatment, and not their bite! In this case, you will see how Dr. Secchi helped the patient achieve a wonderful improvement with her smile by broadening her arches with aligner therapy focused on helping him upright all posterior teeth (canines, premolars and molars) while keeping proper arch coordination. The changes to her buccal corridor achieved orthodontically shows us how proper crown inclination provides both functional and aesthetic benefits to the patient.
See how doctors are using SureSmile Aligners with adults who have stable Class II bites to address their aesthetic concerns in this case shared by Dr. Antonino Secchi.
Dr. Secchi is a Dentsply Sirona KOL and an orthodontist with a private practice in Devon, PA.
Dentsply Sirona KOL
Diplomate, American Board of Orthodontics
Orthodontist
Private Practice in Devon, PA
Date of Issue
This case report is published as an inspiration for you as a clinician and not necessarily as a recommendtion from Dentsply Sirona
• Class II end-on relationship
• Mild misalignment upper and lower front teeth
• Lingually inclined upper and lower canines, premolars and molars
• Generalised mild gingival recession
• Level and align upper and lower incisors
• Tip buccally, all posterior teeth about 1.5mm
• Coordinate upper and lower arches
• Broaden upper and lower arch by up righting buccally all posterior teeth 1.5 mm per side keeping proper arch coordination
Modalities: SureSmile® Software and Aligners
Duration: 4 months
# Aligners: U – 13 L – 14
All main objectives were achieved:
• Very nice improvement of the patient’s smile aesthetics was achieved
• As shown in digital setup of the before and after occlusal 3D models, the upper and lower posterior teeth tipped buccally about 2.5mm on average
• Alignment of upper and lower incisors improved
• Good arch coordination was achieved
Retention: Upper & lower arch retained with a clear retainer.