Llámenos o proporcione sus datos de contacto a continuación, y un representante de Dentsply Sirona se pondrá en contacto pronto.
Edad
Sexo
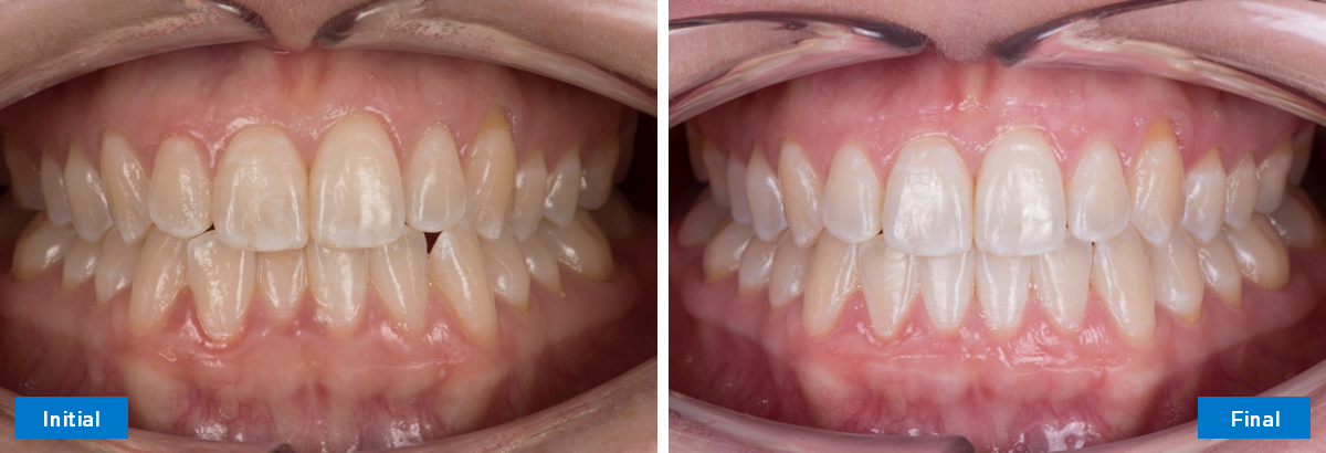
Principal queja del paciente: No le gusta la alineación de sus dientes frontales. Tiró la toalla después de un tratamiento de ortodoncia previo con aparatos fijos proporcionados por otro especialista, pero ahora quiere tener una sonrisa perfecta para el día de su boda.
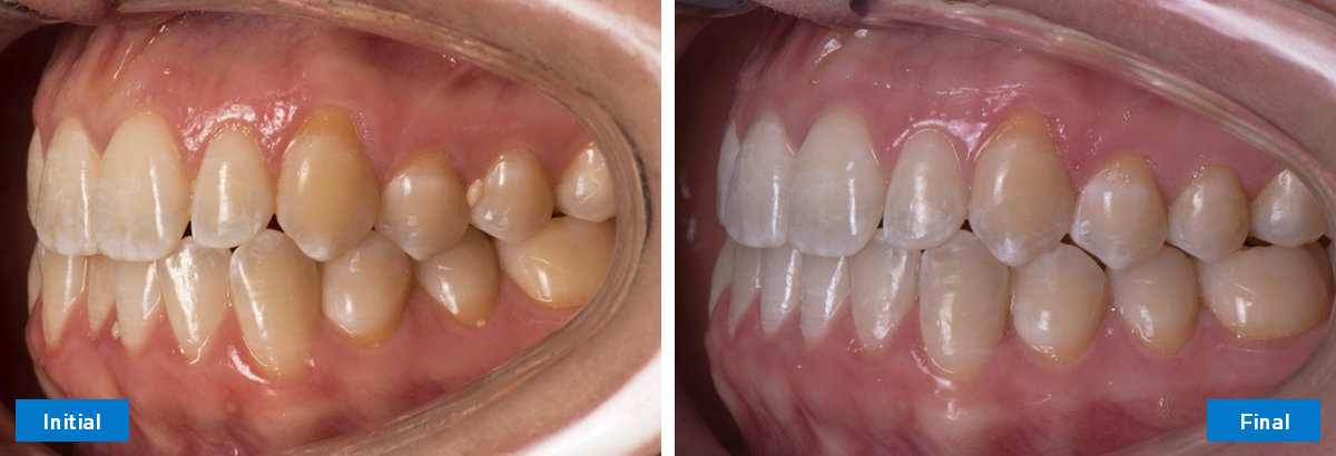
El apiñamiento dental es síntoma de una discrepancia entre el tamaño del diente y la longitud del arco. Los especialistas pueden abordar el apiñamiento aumentando el tamaño del arco dental con expansión o pueden disminuir el tamaño de los dientes o la masa dental con reducción del esmalte interproximal (IPR) o extracción para resolver la discrepancia. En algunos casos, los especialistas pueden abordar el apiñamiento con una combinación de expansión/proclinación e IPR. De todas formas, cada método tiene un impacto en el arco opuesto, por lo que, cuando a los pacientes como el de este caso presentan un apiñamiento moderado en la arcada inferior y muy pocos problemas de apiñamiento o alineación en la arcada superior, el reto se centra en cómo nivelar y alinear la arcada opuesta. Saber que la arcada inferior proclina los incisivos inferiores puede tener una consecuencia negativa al minimizar o crear una mordida con resalte.
Obtén más información sobre cómo los médicos que tratan a pacientes que presentan apiñamiento moderado en la arcada inferior sin el mismo apiñamiento en la arcada superior se enfrentan a una consideración adicional en el manejo de la mordida con resalte y la sobremordida del paciente revisando este caso compartido por el Dr. Antonino Secchi.
El Dr. Secchi es KOL de Dentsply Sirona y ortodoncista con clínica privada en Devon, Pensilvania, EE. UU.
Fecha de emisión
Este informe se publica únicamente como referencia como médico y no necesariamente como una recomendación de Dentsply Sirona
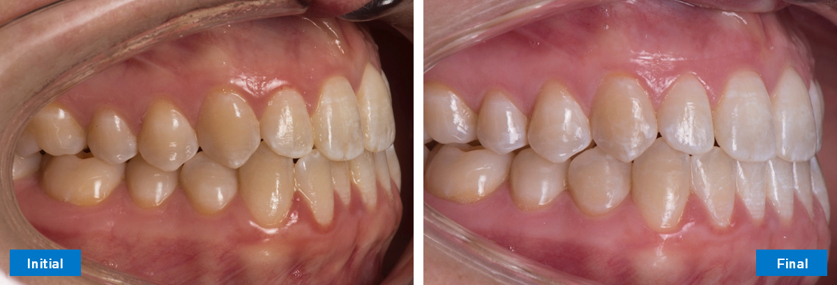
• Clase I
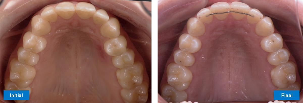
• Apiñamiento leve en la arcada superior
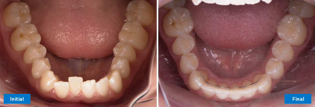
• Apiñamiento moderado en la arcada inferior
• Sobremordida superficial
• Mantener los molares de Clase I
• Mejorar la alineación de las arcadas superior e inferior
• Utilizar IPR en la arcada inferior de canino a canino para crear el espacio necesario para alinear los incisivos y evitar que se inclinen
• Mejorar la sobremordida poco profunda
Modalidades: Software y SureSmile® Aligners
Duración : 5 meses
N.º de alineadores: Superior – 17 Inferior – 17
Se logran todos los objetivos principales:
• Buena alineación en arcadas superior e inferior
• Se mejoró la sobremordida superficial
• Con la alineación, el canino inferior izquierdo está en una posición más ideal, donde se minimizan los riesgos con fuerzas laterales intensas
• Se produjo una mejora notable del tejido después de la alineación
Retención: Retenedor fijo lingual superior e inferior
By using this site or downloading materials from this site, you agree that you are a healthcare professional and agree to abide by the terms and conditions set fourth in our Privacy Policy and Legal Notice.