SureSmile
Ortodoncia
Caso de estudio​
Formación sobre un producto

Detalles del paciente

Edad

45 años

Sexo

mujer

Clase leve II: arcos estrechos (SureSmile® Aligners)

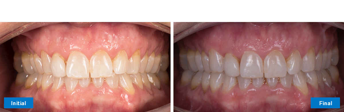
Principal queja del paciente: Su sonrisa le parece demasiado estrecha.

El tratamiento de ortodoncia en adultos se ha vuelto cada vez más popular. Por lo general, es la estética facial y dental la que lleva a los adultos a acudir a la clínica en busca de tratamientos de ortodoncia, ¡y no su mordida! En este caso, verás cómo el Dr. Secchi ayudó al paciente a lograr una maravillosa mejora en su sonrisa al ampliar sus arcos con una terapia con alineadores centrada en ayudarlo a alinear todos los dientes posteriores (caninos, premolares y molares) a la vez que mantenía la coordinación adecuada del arco. Los cambios en su corredor bucal logrados mediante ortodoncia demuestran que una inclinación adecuada de la corona proporciona beneficios tanto funcionales como estéticos al paciente.

Ve cómo los especialistas utilizan los alineadores SureSmile con adultos que tienen mordidas estables de Clase II para tratar problemas estéticos en este caso compartido por el Dr. Antonino Secchi.

El Dr. Secchi es KOL de Dentsply Sirona y ortodoncista con clínica privada en Devon, Pensilvania, EE. UU.

Antonino G. Secchi, DMD, MS

KOL de Dentsply Sirona

Diplomado por el American Board of Orthodontics (consejo americano de ortodoncia)

Ortodoncista

Clínica privada en Devon, Pensilvania

https://devonortho.com/

Detalles del caso

Fecha de emisión

01/01/2021

Este informe se publica únicamente como referencia como médico y no necesariamente como una recomendación de Dentsply Sirona

Diagnóstico

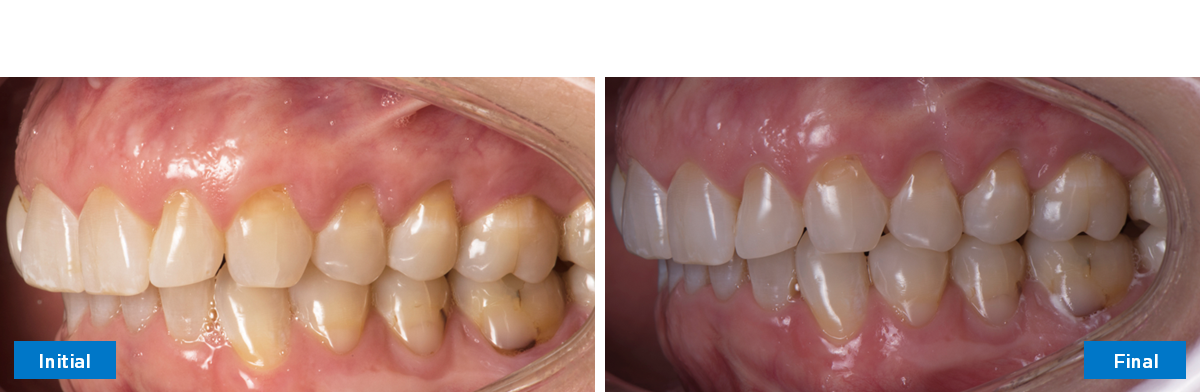
• Relación terminal Clase II

• Leve desalineación de los dientes frontales superiores e inferiores

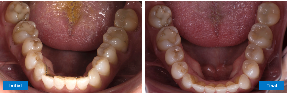
• Caninos, premolares y molares superiores e inferiores inclinados lingualmente

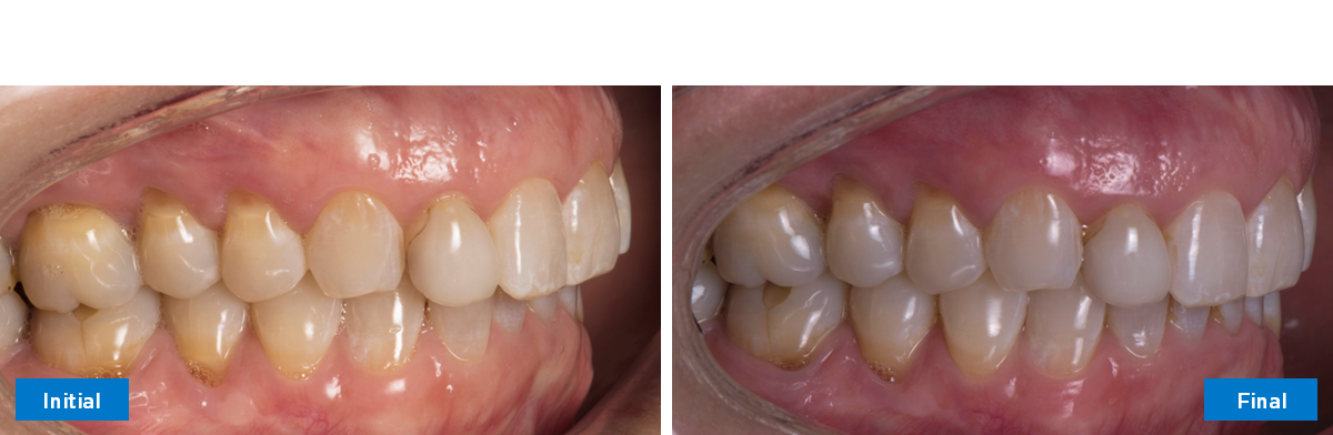
• Recesión gingival leve generalizada

Plan de tratamiento

• Nivelar y alinear los incisivos superiores e inferiores

• Punta bucal: todos los dientes posteriores de aproximadamente 1,5 mm

• Coordinar las arcadas superior e inferior

• Ampliar las arcadas superior e inferior nivelando vestibularmente todos los dientes posteriores 1,5 mm por lado manteniendo la coordinación adecuada de la arcada

Resultado y seguimiento del tratamiento

Modalidades: Software y SureSmile® Aligners

Duración: 4 meses

N.º de alineadores: Superior – 13 Inferior – 14

 

Se logran todos los objetivos principales:

• Se logró una gran mejora en la estética de la sonrisa del paciente

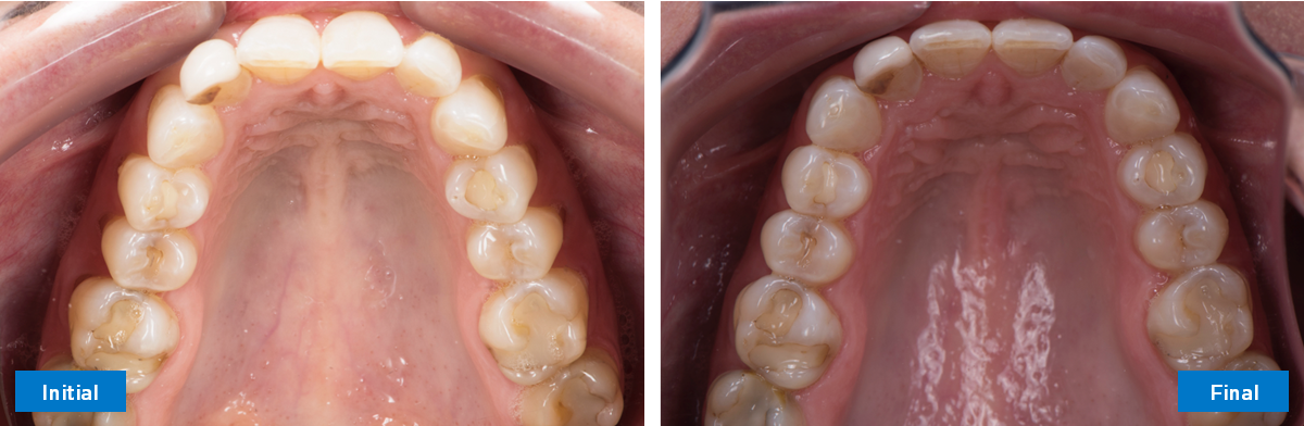
• Como se muestra en la configuración digital de los modelos 3D oclusales del antes y el después, los dientes posteriores superiores e inferiores se inclinaban bucalmente aproximadamente una media de 2,5 mm

• Mejorar la alineación de los incisivos superiores e inferiores

• Se logró una buena coordinación de las arcadas

 

Retención: Arcadas superior e inferior retenidas con un retenedor transparente.