SureSmile
Ortodoncia
Caso de estudio​
Formación sobre un producto

Detalles del paciente

Edad

16 años

Sexo

hombre

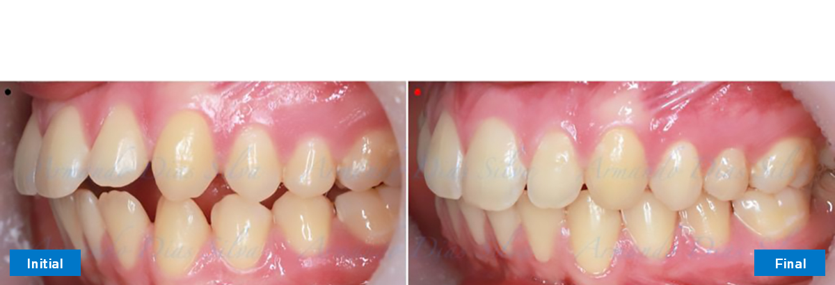
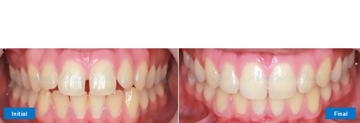
Clase II, Div. 1: Protrusión del incisivo central y espacios anteriores (SureSmile® Aligners)

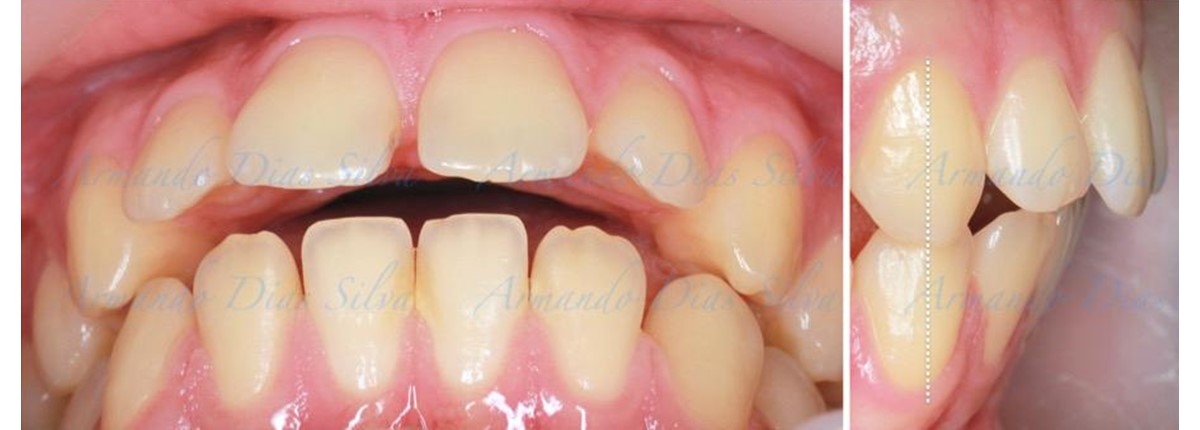
Principal queja del paciente: Protrusión del incisivo central y mordida abierta. El paciente rechaza la expansión del arco palatino (MARPE) y las extracciones.

Este paciente adolescente presenta molares de Clase II y no le gusta su mordida abierta ni lo protrusivos que son sus dientes frontales. Por sus fotografías faciales, parece que su mandíbula es retrognática o le falta volumen en la barbilla. El historial del paciente también indica que existe un problema funcional al no haber guía de los incisivos.

Ve cómo los especialistas tratan los casos de Clase II con distalización principalmente y sin elásticos en este caso de alineador SureSmile compartido por el Dr. Armando Dias da Silva. El Dr. Dias da Silva es ortodoncista con clínica privada en Oporto, Portugal.

Armando Dias da Silva, médico odontólogo, máster

Ortodoncista

Clínica privada en Oporto, Portugal

Detalles del caso

Fecha de emisión

01/01/2021

Este informe se publica únicamente como referencia como médico y no necesariamente como una recomendación de Dentsply Sirona

Diagnóstico

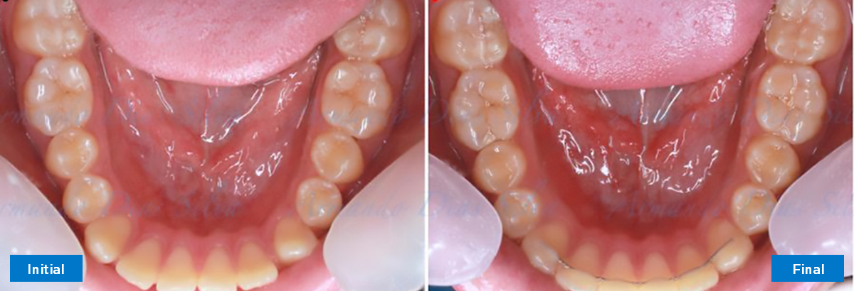
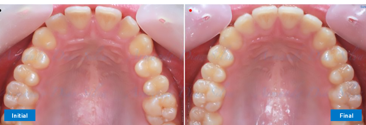
• Molares de clase II

• Diastema

• Espaciamiento leve de las arcadas superior e inferior (deficiencia transversal de 3,45 mm)

• El primer molar superior derecho está en una posición más mesial que el primer molar superior izquierdo

• Deficiencia transversal maxilar leve (3,45 mm)

• Incisivos superiores e inferiores proclinados

• Orientación canina desfavorable

Plan de tratamiento

• Alinear y nivelar sin extracciones

• Desrotar y distalizar los molares superiores

• Retruir los incisivos superiores

• Retroclinar los incisivos inferiores

• Genioplastia en edad adulta

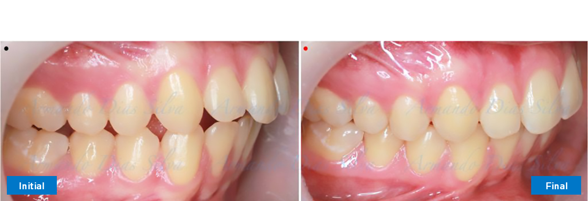
Resultado y seguimiento del tratamiento

Modalidades: Software y SureSmile® Aligners

Duración: 7 meses, 7 citas

N.º de alineadores -Superior: 24 Inferior: 16

 

Se logran todos los objetivos principales:

  • Molares de clase I logrados con distalización y sin elásticos
  • Sin cambios en la posición del cóndilo
  • Sin expansión maxilar, respetando la envoltura periodontal
  • Incisivos inferiores retroinclinados, que mejoran la estabilidad a largo plazo

 

Retención: Arco superior retenido con retenedor transparente. Arco inferior retenido con retenedor lingual unido de canino a canino.

Sin cambios en la posición del cóndilo