Llámenos o proporcione sus datos de contacto a continuación, y un representante de Dentsply Sirona se pondrá en contacto pronto.
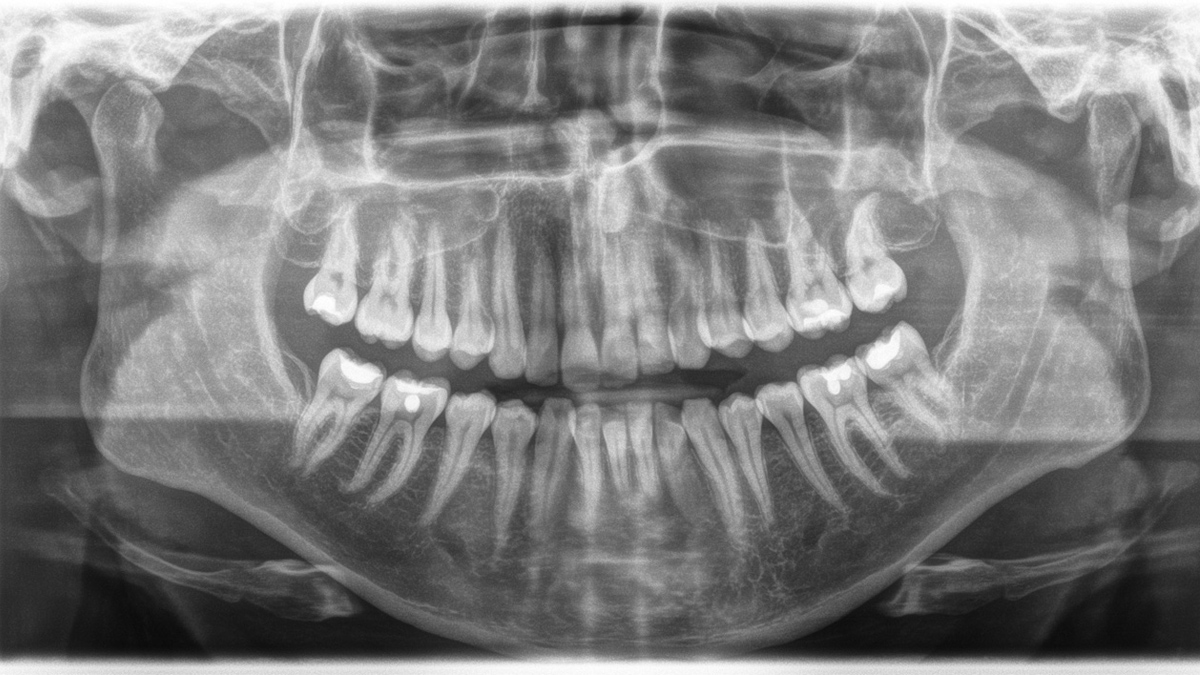
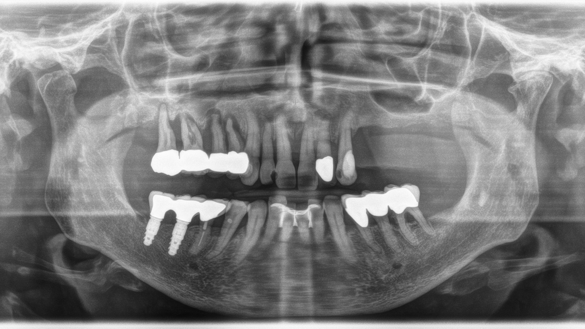
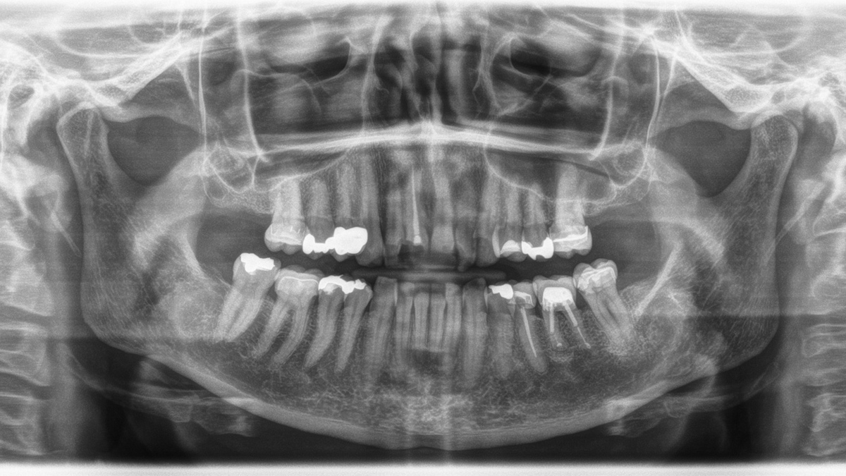
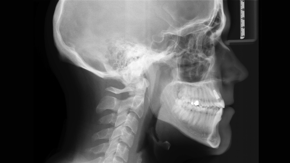
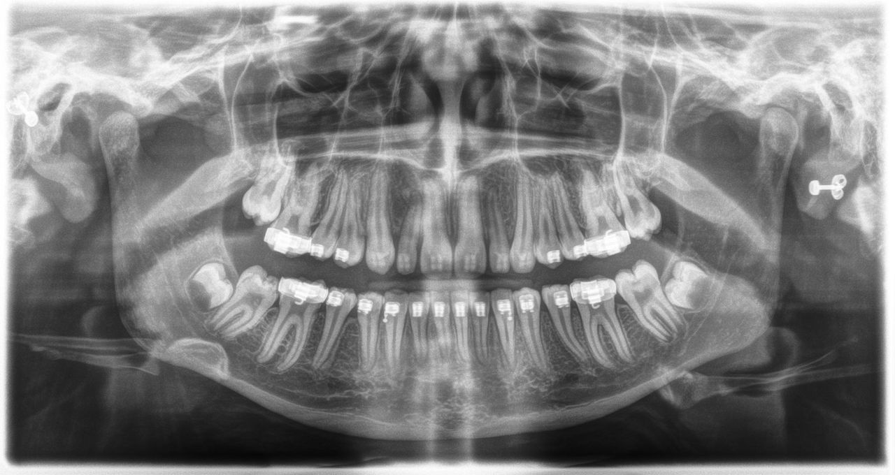
La sólida unidad de radiología 2D brinda un acceso sin problemas al mundo de la imagen digital. Gracias a la tecnología de sensores CsI y su interfaz fácil de usar, usted tiene la garantía de diagnósticos confiables en cada oportunidad. La opción cefalométrica también hace que Orthophos E sea un socio confiable para la ortodoncia. Enriquezca su clínica con una amplia gama de servicios que solo son posibles con la imagen digital.
Beneficios
Gracias al sensor CsI 2D y la calidad de imagen confiable
Presenta soporte motorizado para sienes y frente, medición automática del ancho de sienes, puntos de luz y mangos incorporados para la estabilización del posicionamiento
Para diagnósticos básicos en 2D
Para un soporte óptimo de diagnóstico en ortodoncia, se puede pedir o reacondicionar un brazo cefalométrico izquierdo en cualquier momento
Con el panel de control MultiPad
Orthophos E tiene dos puntos de luz integrados para facilitar el posicionamiento ideal en el plano nítido. Los soportes motorizados para la frente y las sienes fijan con suavidad la cabeza del paciente en su lugar y proporcionan soporte adicional para evitar la borrosidad por movimiento.
Para obtener más detalles, consulte Requisitos del sistema Sidexis 4.
Las unidades de radiología de Dentsply Sirona funcionan exclusivamente con Sidexis 4. Sin embargo, la migración de datos de Sidexis XG a Sidexis 4 es muy fácil. Sidexis 4 permite una experiencia digital completa con las últimas herramientas