Llámenos o proporcione sus datos de contacto a continuación, y un representante de Dentsply Sirona se pondrá en contacto pronto.
Edad
Sexo
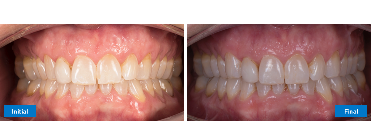
Principal queja del paciente: Su sonrisa le parece demasiado estrecha.
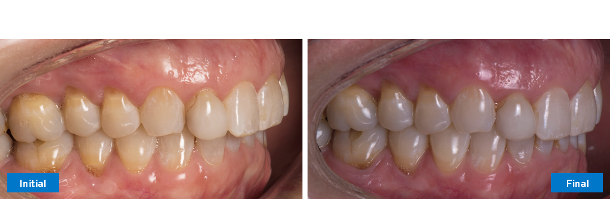
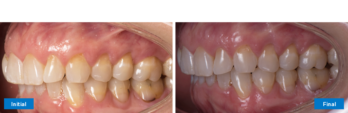
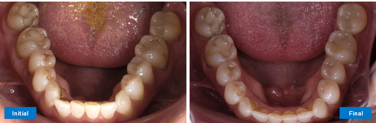
El tratamiento de ortodoncia en adultos se ha vuelto cada vez más popular. Por lo general, es la estética facial y dental la que lleva a los adultos a acudir a la clínica en busca de tratamientos de ortodoncia, ¡y no su mordida! En este caso, verás cómo el Dr. Secchi ayudó al paciente a lograr una maravillosa mejora en su sonrisa al ampliar sus arcos con una terapia con alineadores centrada en ayudarlo a alinear todos los dientes posteriores (caninos, premolares y molares) a la vez que mantenía la coordinación adecuada del arco. Los cambios en su corredor bucal logrados mediante ortodoncia demuestran que una inclinación adecuada de la corona proporciona beneficios tanto funcionales como estéticos al paciente.
Ve cómo los especialistas utilizan los alineadores SureSmile con adultos que tienen mordidas estables de Clase II para tratar problemas estéticos en este caso compartido por el Dr. Antonino Secchi.
El Dr. Secchi es KOL de Dentsply Sirona y ortodoncista con clínica privada en Devon, Pensilvania, EE. UU.
Fecha de emisión
Este informe se publica únicamente como referencia como médico y no necesariamente como una recomendación de Dentsply Sirona
• Relación terminal Clase II
• Leve desalineación de los dientes frontales superiores e inferiores
• Caninos, premolares y molares superiores e inferiores inclinados lingualmente
• Recesión gingival leve generalizada
• Nivelar y alinear los incisivos superiores e inferiores
• Punta bucal: todos los dientes posteriores de aproximadamente 1,5 mm
• Coordinar las arcadas superior e inferior
• Ampliar las arcadas superior e inferior nivelando vestibularmente todos los dientes posteriores 1,5 mm por lado manteniendo la coordinación adecuada de la arcada
Modalidades: Software y SureSmile® Aligners
Duración: 4 meses
N.º de alineadores: Superior – 13 Inferior – 14
Se logran todos los objetivos principales:
• Se logró una gran mejora en la estética de la sonrisa del paciente
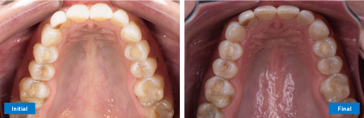
• Como se muestra en la configuración digital de los modelos 3D oclusales del antes y el después, los dientes posteriores superiores e inferiores se inclinaban bucalmente aproximadamente una media de 2,5 mm
• Mejorar la alineación de los incisivos superiores e inferiores
• Se logró una buena coordinación de las arcadas
Retención: Arcadas superior e inferior retenidas con un retenedor transparente.
By using this site or downloading materials from this site, you agree that you are a healthcare professional and agree to abide by the terms and conditions set fourth in our Privacy Policy and Legal Notice.