Contáctenos

Lleve a su clínica al siguiente nivel.

Descubra más formas de aportar innovación a su clínica.

Schick 33 de Dentsply Sirona

Accesorios

Beneficios

¿Por qué elegir Schick 33?

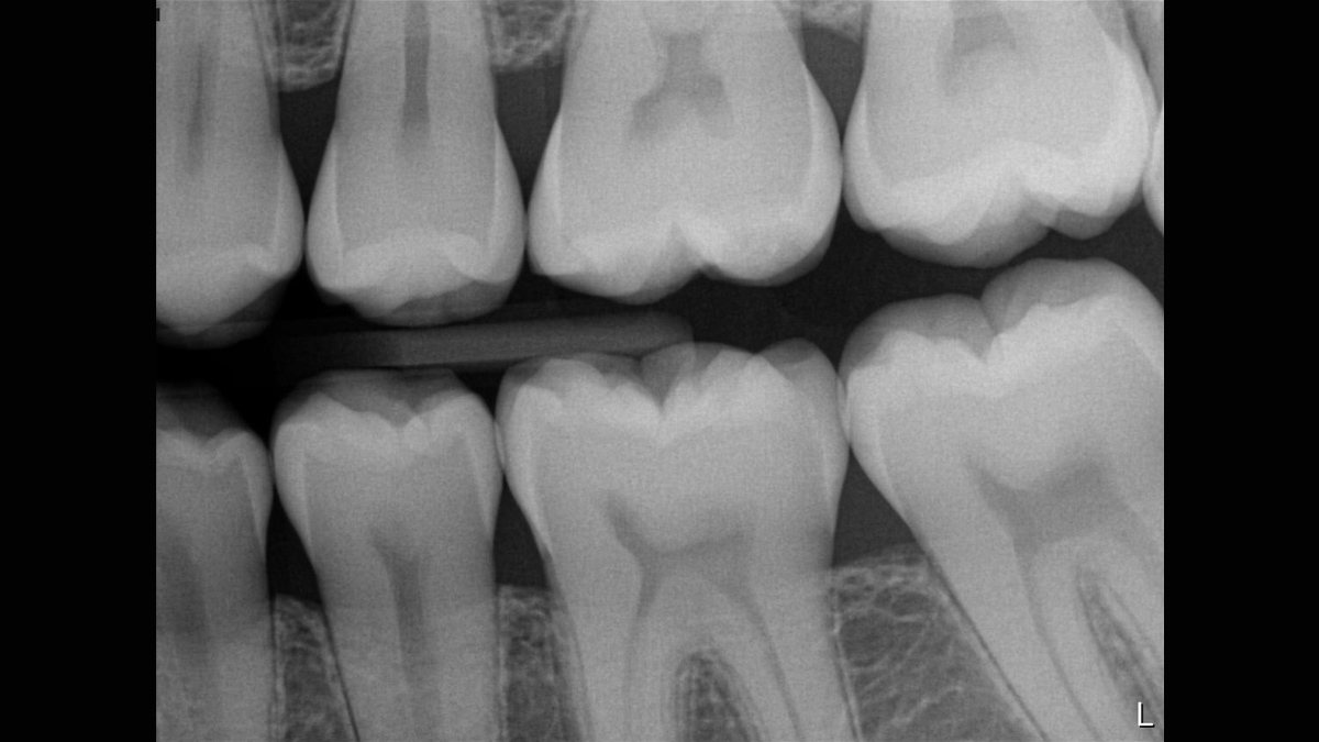
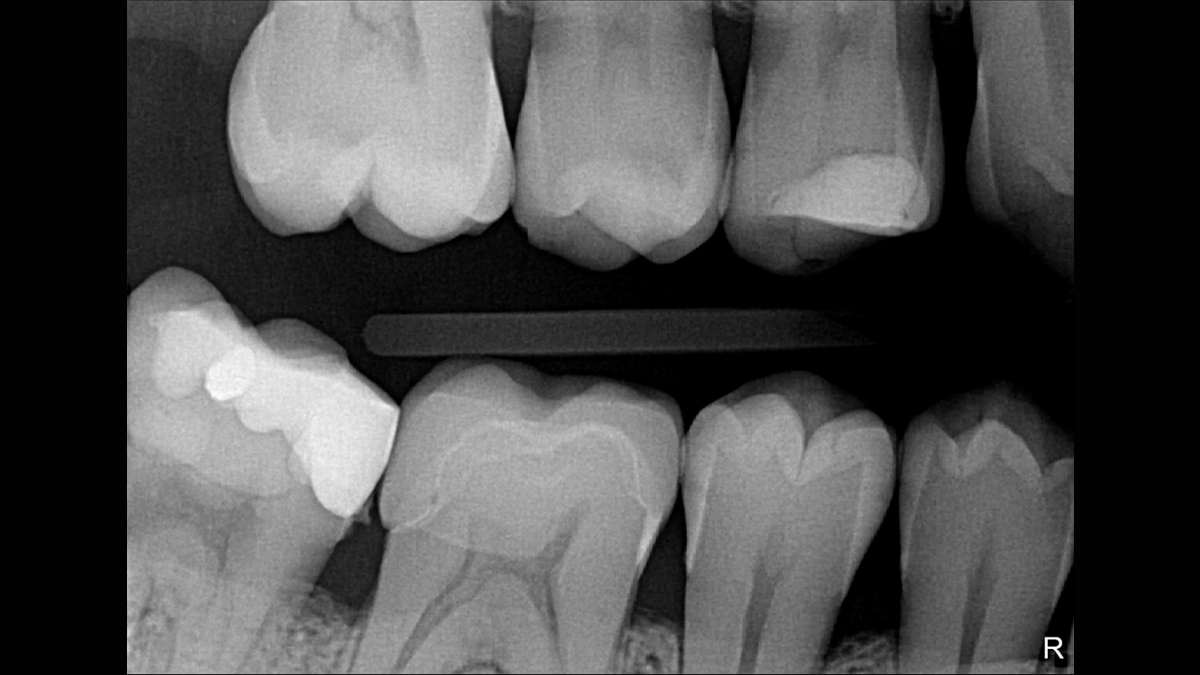
Excelente calidad de imágenes

Schick 33 proporciona una resolución teórica de 33 pl/mm y un tamaño de píxel de 15 μm que ofrece una excelente calidad de imagen sin el tiempo de espera adicional causado por un proceso de revelado o escaneo.

Varias opciones que se ajustan a sus salas de tratamiento

Schick 33 ha sido diseñado para brindar una verdadera modularidad a fin de apoyar su forma específica de trabajar, ofreciendo 3 tamaños de sensor (0, 1 y 2) y 3 longitudes de cable (90 cm, 180 cm, 270 cm). 

Transferencia de datos USB mejorada

La nueva interfaz USB 3 permite una lectura de información acelerada y una transferencia de datos optimizada entre su sensor y el software de radiología. Los enchufes de conexión protegidos proporcionan durabilidad adicional en el uso diario de la clínica.

Diseño robusto y seguridad de la inversión

El sensor intraoral Schick 33 ha sido diseñado y probado para soportar años de uso diario regular, lo que garantiza un ciclo de vida prolongado del producto. El diseño duradero del sensor es el resultado del uso de materiales de primera calidad y de procesos de producción de alto estándar.  Cada sensor está equipado con un cable reforzado y un cable de reemplazo adicional.

Radiología sin levantarse del sillón

Al integrar su equipo de imagen radiológica y sensores con su unidad de tratamiento, realmente puede aprovechar el concepto de odontología completa sin levantarse del sillón.

"Uso el sensor Schick 33 debido a su movilidad; gracias a él, ahora puedo cambiar fácilmente entre salas de tratamiento. El cable reemplazable también es una gran característica, ya que antes tenía problemas con los cables rotos”.."

Dr. Antoine Hirardot, Le Mans, Francia

Funcionamiento con Schick 33: Mejoras en el filtrado

Los sensores Schick 33 tienen cinco opciones diferentes de filtrado: odontología general, endodoncia, periodoncia, restauración e higiene. Estas vistas clínicamente específicas están diseñadas para optimizar su diagnóstico, mejorando la imagen para satisfacer sus necesidades.

Schick 33 - Galería de imágenes de muestra

Descargas

Se proporcionan más descargas dentro de nuestro Centro de descargas.

9 MB

Preguntas frecuentes

Doblar las placas de radiología puede distorsionar las imágenes y poner en peligro la reproducibilidad de la calidad de la imagen; los fabricantes de placas establecen específicamente que las placas no deben doblarse. Los sensores intraorales no son tan susceptibles a las rayas o la distorsión de la imagen, ofrecen una obtención rápida de la imagen radiológica y son, en general, mucho más duraderos, lo que ofrece la experiencia definitiva en diagnóstico por radiología intraoral.

Los requisitos siguen aquellos establecidos para el software de radiología Sidexis 4. Para obtener más detalles, consulte Requisitos del sistema Sidexis 4.

La tecnología del cable del sensor intraoral Schick 33 está respaldada por años de experiencia líder y ofrece una durabilidad excepcional. La capacidad de intercambiar el cable ayuda a limitar la pérdida de productividad si se producen daños inesperados. Por ejemplo, si una unidad de tratamiento rueda sobre el cable o alguien lo aprieta por error en un cajón con fuerza, existe la posibilidad de que el cable se dañe. Para estos casos, es bueno estar preparado y el cable intercambiable garantizará que usted tenga todo el apoyo que necesita y pueda continuar trabajando con una demora mínima.

La interfaz USB viene equipada con un cable USB de 2 m y los cables opcionales adicionales del sensor llegan hasta los 2,7 m para adaptarse a cada configuración operatoria y permitir un movimiento y una flexibilidad óptimos.

Los sistemas de soporte intraoral de Dentsply Sirona brindan una experiencia de radiología higiénica, cómoda y precisa, y pueden adquirirse a través de su distribuidor local.

Contáctenos

Obtenga más información sobre las soluciones en radiología de Dentsply Sirona y solicite información sobre imágenes radiológicas intraorales, software o tecnología de radiología 2D y 3D.