Todas las indicaciones de un vistazo

Al comparar las áreas de aplicación de los diferentes tipos de láser, es evidente que el láser de diodo ofrece la más amplia gama de aplicaciones.

Descubra ejemplos de casos en forma de imágenes y videoclips de la práctica diaria en cirugía, endodoncia, periodoncia y más. Permítase inspirarse. ¡Nada supera la experiencia práctica!

Opciones de tratamiento con los SiroLasers

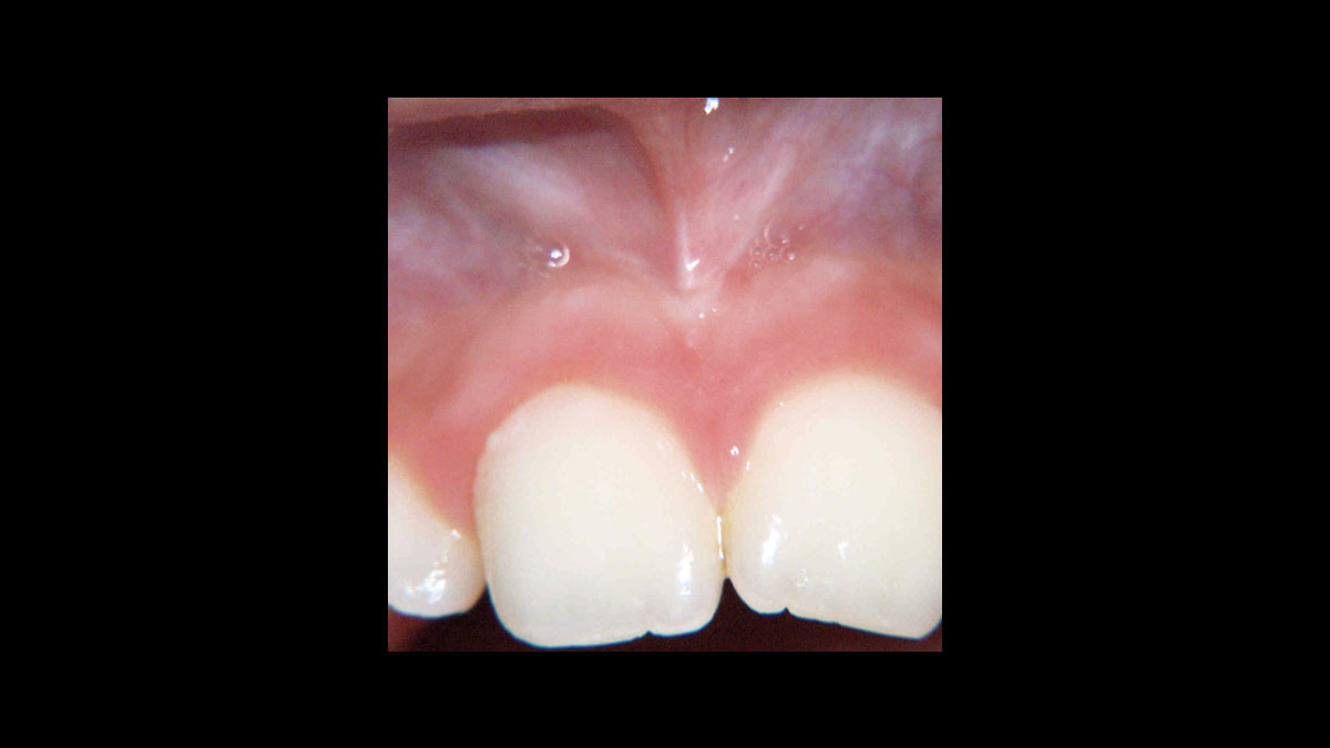
Cirugía

Las siguientes aplicaciones se presentan en los videos y las imágenes:

  • Cirugía
  • Absceso
  • Épulis
  • Fibroma
  • Frenectomía
  • Gingivectomía
  • Gingivoplastia
  • Descubrimiento del implante
  • Incisiones/escisiones
  • Operculectomía
  • Preparación del tejido gingival antes de la toma de impresiones dentales
  • Exposición de un diente desplazado (sin programa de tratamiento predefinido)

Fibroma

Frenectomía

Gingivoplastia

Descubrimiento del implante

Operculectomía

Preparación del tejido gingival antes de la toma de impresiones dentales

Exposición de un diente desplazado


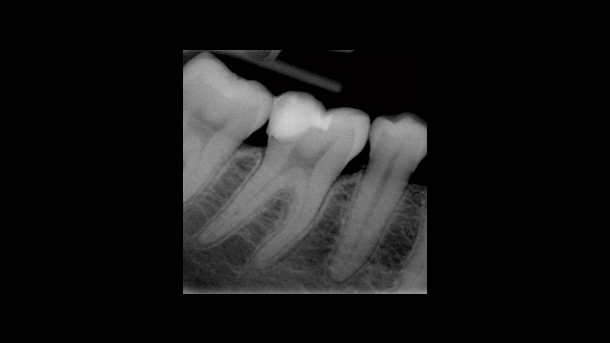
Endodoncia

Las siguientes aplicaciones se presentan en los videos y las imágenes:

  • Reducción de bacterias en procedimientos endodónticos
  • Reducción de gérmenes de la gangrena

Reducción de bacterias en procedimientos endodónticos


Periodoncia

Las siguientes aplicaciones se presentan en los videos y las imágenes:

  • Reducción de gérmenes en periodoncia

Reducción de gérmenes en periodoncia


Otras indicaciones

Las siguientes aplicaciones se presentan en los videos y las imágenes:

  • Úlceras aftosas
  • Hemostasia
  • Herpes

Úlceras aftosas

Hemostasia

Contáctenos

Obtenga más información sobre los instrumentos de Dentsply Sirona. Para ello, solicite información sobre los productos de piezas de mano rectas y contra-ángulo, turbinas, láseres y más.