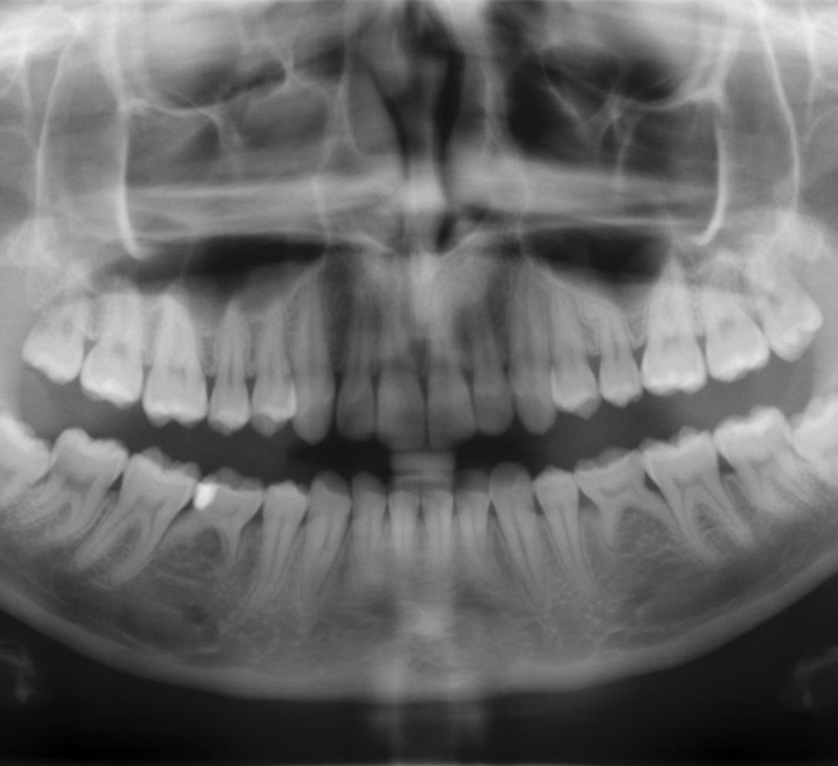
El nivel de datos entregados desde una imagen 3D es una fuerza revolucionaria en el diagnóstico dental. La capacidad de visualizar dientes superpuestos, canales inesperados y raíces ocultas eleva la precisión y el impacto del diagnóstico del paciente. Mejorar la comprensión y la confianza influye positivamente en la aceptación del paciente y el éxito del tratamiento.
Orthophos S se puede actualizar con capacidades 3D en cualquier momento, lo que permite que estas unidades de imagen se adapten a su nivel de servicios y evolucionen con su clínica. Con estos dos modelos 3D, puedes elegir en cada caso si usar volúmenes de alta resolución para estructuras finas (HD) o un filtro de baja dosis para estructuras densas.
Volumen
Cuando se trata del tamaño del volumen, la dosis y la calidad de la imagen, cada caso clínico exige requisitos individuales. Elija el volumen adecuado para sus necesidades: Desde el volumen enfocado de Ø 5 cm x 5,5 cm hasta el volumen de Ø 11 cm x 10 cm, que muestra las muelas del juicio y las vías respiratorias superiores.
Software de reducción de artefactos metálicos (MARS)
Los artefactos metálicos son un desafío en la radiología 3d. Los objetos radiopacos crean efectos de sombreado y rayado durante la reconstrucción tridimensional, lo que interfiere con los hallazgos. MARS reduce automáticamente los artefactos metálicos y facilita el diagnóstico.
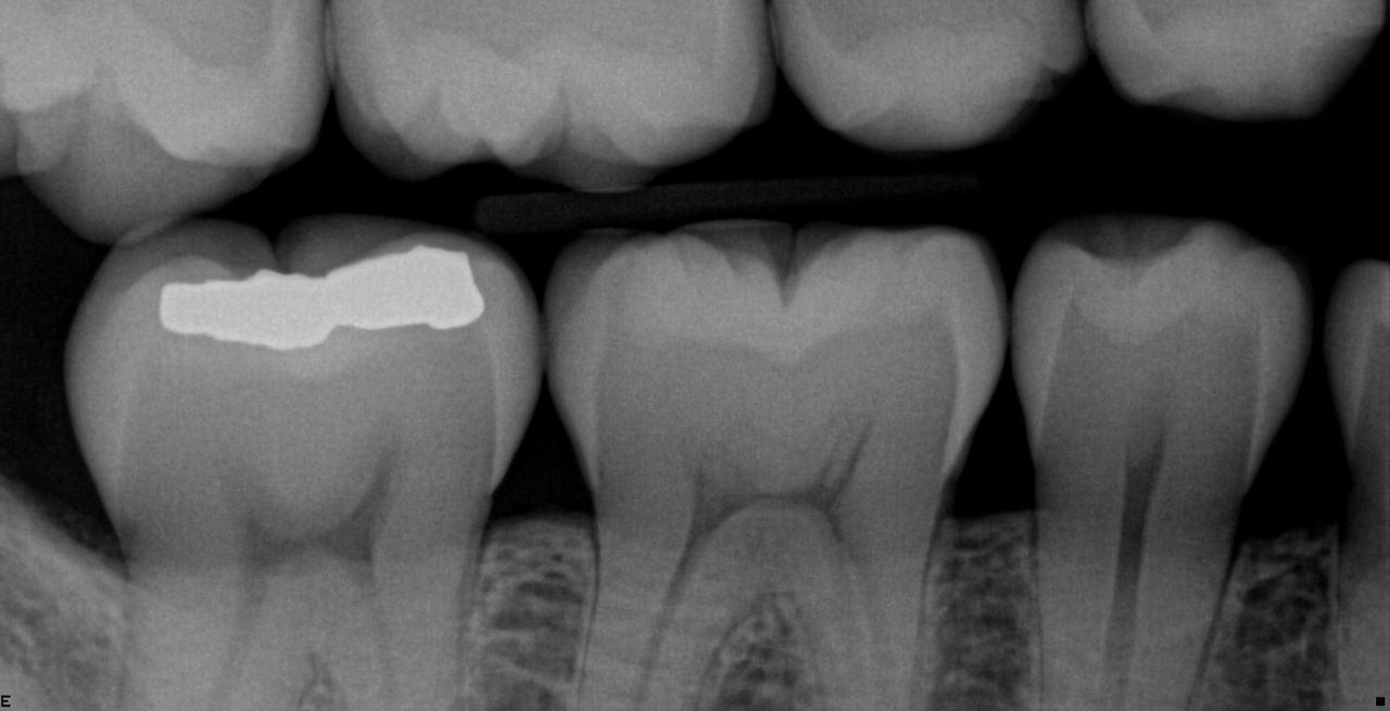
Modo de alta definición (HD)
El modo de definición estándar (SD) proporciona la información clínica básica necesaria para un diagnóstico. Algunos casos clínicos requieren una imagen de mayor calidad con una mejor visibilidad de las estructuras finas para la planificación e implementación del tratamiento. El modo HD registra hasta 800 imágenes individuales durante una rotación y las fusiona en un volumen 3D de bajo ruido con una alta resolución de hasta 80 μm. Este modo garantiza un diagnóstico más rápido y seguro dentro del volumen registrado.
Modo de dosis baja
El modo de baja dosis optimizado con un filtro dedicado permite la obtención de imágenes de estructuras densas, como los huesos, a una dosis significativamente reducida. Esto hace que el modo de baja dosis sea una opción eficiente para muchas tareas clínicas, especialmente para aquellas en ortodoncia o implantología. Con capacidades de radiología 3d, los pacientes ya no necesitan una referencia para una CBCT Scan, lo que agiliza el proceso y amplía sus servicios.