Llámenos o proporcione sus datos de contacto a continuación, y un representante de Dentsply Sirona se pondrá en contacto pronto.
Experimente el futuro de la odontología conectada: cada evento presenta educación líder en la industria, avances de vanguardia, líderes intelectuales reconocidos y oportunidades inigualables para establecer contactos.
Nuestra estrategia de sustentabilidad es fundamental para nuestra misión y es una parte integral de todo lo que hacemos.
Edad
Sexo
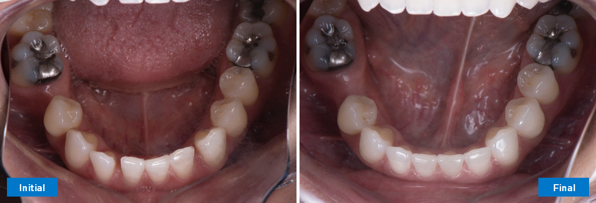
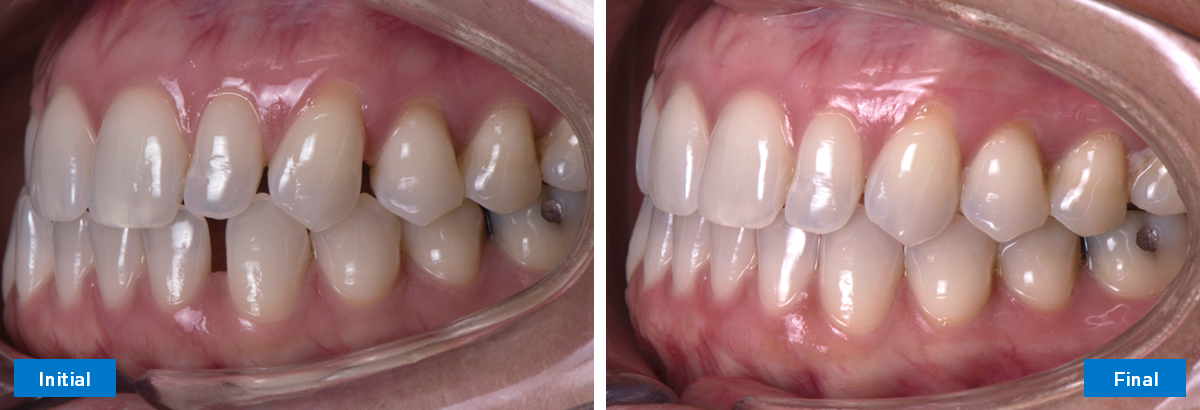
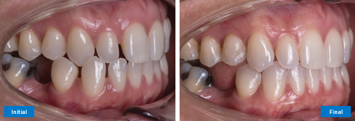
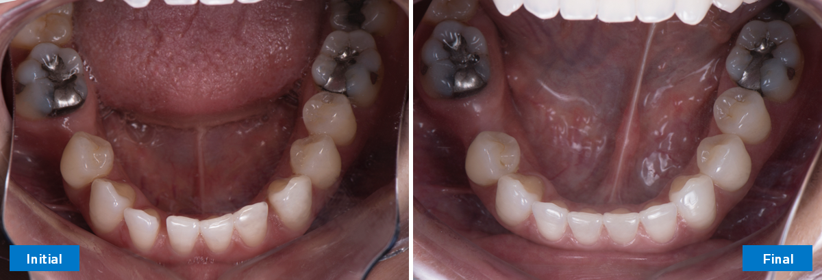
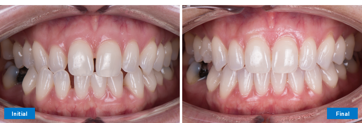
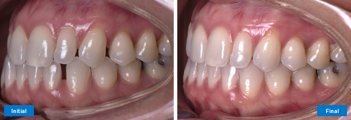
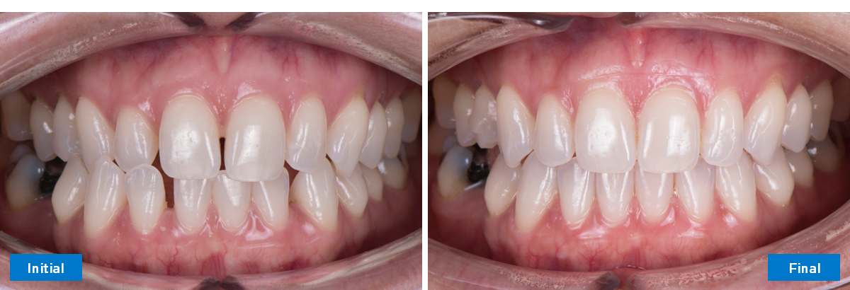
Principal queja del paciente: No le gustan los espacios que tiene entre los dientes.
El paciente se presentó con espacios en los arcos superior e inferior, y le faltaba un premolar inferior. Debido a las posiciones del canino derecho superior e inferior en la mordida cruzada, tenía un acoplamiento anterior deficiente además de arcos mal coordinados.
Descubre cómo muchos especialistas utilizan la terapia con alineadores antes de la colocación del implante para redistribuir y consolidar espacios en este caso compartido por el Dr. Antonino Secchi.
El Dr. Secchi es ortodoncista con clínica privada en Devon, Pensilvania, EE. UU.
KOL de Dentsply Sirona
Diplomado por el American Board of Orthodontics (consejo americano de ortodoncia)
Ortodoncista
Clínica privada en Devon, Pensilvania
Fecha de emisión
Este informe se publica únicamente como referencia como médico y no necesariamente como una recomendación de Dentsply Sirona
• Clase III leve
• Espacio moderado de la arcada superior e inferior
• Líneas medias desviadas 1,5 mm
• Mordida cruzada del incisivo lateral superior derecho y canino
• Falta del segundo bicúspide inferior derecho
• Cerrar todos los espacios
• Corregir la mordida cruzada anterior del lado derecho
• Aumentar la punta bucal al canino superior derecho y el torque de la corona lingual del canino inferior derecho para mejorar el acoplamiento
• Coordinar los arcos superior e inferior y mantener el plano oclusal
• Corregir las líneas medias y dejar el espacio adecuado para la restauración de implantes del segundo premolar inferior derecho
Modalidades: Software SureSmile®, alineadores & Propel Ortodoncia VPro™
Duración: 10,5 meses
N.º alineadores: U – 41 L – 33
Se logran todos los objetivos principales:
Retención: Retenedor transparente superior e inferior
By using this site or downloading materials from this site, you agree that you are a healthcare professional and agree to abide by the terms and conditions set fourth in our Privacy Policy and Legal Notice.