Llámenos o proporcione sus datos de contacto a continuación, y un representante de Dentsply Sirona se pondrá en contacto pronto.
Los bloques CEREC para restauraciones deben integrarse sin problemas en su flujo de trabajo. Hacer concesiones no debe ser parte del proceso de consideración. Con tecnología de última generación, no necesita más. Estética y resistencia. Resistencia y velocidad. Estética y velocidad. Todas las combinaciones vienen de manera estándar para ayudarle a entregar restauraciones de última generación.
El disilicato de litio avanzado CEREC Tessera™ es un material listo para integrarse en su flujo de trabajo digital como su bloque de vitrocerámica preferido o en combinación con CEREC Zirconia MTL® para una oferta completa de bloque CEREC.
Los bloques de pilar CEREC Tessera™ son una extensión de producto de los bloques de disilicato de litio avanzado CEREC Tessera™. La estructura cerámica de CEREC Tessera™ cementada a la TiBase se recomienda para pilares híbridos de dos piezas, para restauraciones unitarias y coronas sobre pilares híbridos, utilizada junto con implantes dentales.
Beneficios
Hasta un 32 % más resistente que la competencia con resistencia biaxial medida a más de 700 MPa.1
La estructura de cristal doble interactúa con el espectro de luz visible para lograr una traslucidez, fluorescencia y opalescencia ideales.
Los clínicos pueden ahorrarse hasta un 44 % del tiempo total de procesamiento (tallado y cocción) sin sacrificar la gama completa de opciones estéticas.1
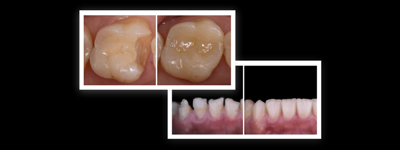
Indicado para su uso en carillas, incrustaciones dentales onlay, inlays y coronas de contorno completo de una sola unidad.
1. Datos internos en archivo. Para obtener más información, comuníquese con Consumables-Data-Requests@dentsplysirona.com
ACERCA DEL DISILICATO DE LITIO AVANZADO
TESTIMONIOS
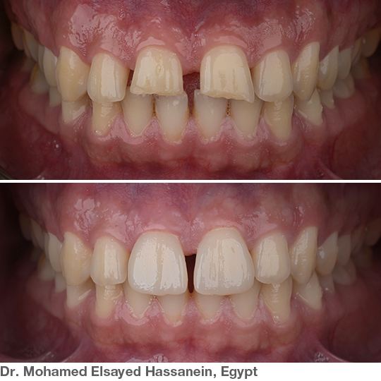
"Márgenes bellamente fresados. ¡El color funcionó perfectamente para este caso! No se necesitó ningún ajuste".
Shivi Gupta, DDS
“El tiempo de cocción es un cambio radical con este material”.
Michael Snider, DMD
ACERCA DE CEREC TESSERA™
1. Datos internos en archivo. Para obtener más información, comuníquese con Consumables-Data-Requests@dentsplysirona.com
1. Datos internos en archivo. Para obtener más información, comuníquese con Consumables-Data-Requests@dentsplysirona.com
1. Datos internos en archivo. Para obtener más información, comuníquese con Consumables-Data-Requests@dentsplysirona.com
FLUJO DE TRABAJO DE CORONA DE UNA SOLA UNIDAD
Los bloques CEREC Tessera™ permiten una velocidad de procesamiento sin precedentes para una mayor satisfacción del paciente y una clínica más productiva, que requiere solo 4,5 minutos en un horno CEREC SpeedFire®1, incluso con tinciones.
PROCEDIMIENTO DE RESTAURACIÓN CON TIBASE PARA IMPLANTES SIN LEVANTARSE DEL SILLÓN
Los bloques CEREC Tessera™ están diseñados para el flujo de trabajo en el consultorio y su acabado puede ser rápido y confiable. Recurra a esta poderosa combinación para flujos de trabajo más eficientes. Combine todos los elementos para tener éxito en la restauración con TiBase para implantes.
En este flujo de trabajo, se utiliza un bloque de pilar CEREC Tessera™ como corona de cobertura completa que se cementa extraoralmente en una TiBase. Luego se atornilla en el sistema de implantes. Se utiliza composite (como Ceram.x Spectra® ST) para obturar el canal del tornillo y completar la restauración.
Primescan y el software CEREC® ofrecen velocidad, simplicidad y precisión en impresiones digitales de alta resolución para mejorar los resultados clínicos y el potencial de ganancias.
CEREC® Primemill ofrece calidad, velocidad, conveniencia y versatilidad para obtener márgenes y detalles de superficie excepcionales.
CEREC SpeedFire® es el horno de sinterización más pequeño y rápido disponible. Glasee el pilar CEREC Tessera™ en aproximadamente 4,5 minutos.
En este flujo de trabajo, se utiliza un bloque de pilar CEREC Tessera™ para crear un pilar personalizado en el que se puede cementar cualquier corona de cobertura completa. El bloque de pilar CEREC Tessera™ se cementa extraoralmente en una TiBase y se atornilla en el sistema de implantes de manera intraoral. Luego, se cementa una corona de cobertura completa de manera intraoral.
Primescan y el software CEREC® ofrecen velocidad, simplicidad y precisión en impresiones digitales de alta resolución para mejorar los resultados clínicos y el potencial de ganancias.
CEREC® Primemill ofrece calidad, velocidad, conveniencia y versatilidad para obtener márgenes y detalles de superficie excepcionales.
CEREC SpeedFire® es el horno de sinterización más pequeño y rápido disponible. Glasee las coronas sobre pilares CEREC Tessera™ en aproximadamente 4,5 minutos.
Se proporcionan más descargas dentro de nuestro Centro de descargas.
1. Datos internos en archivo. Para obtener más información, comuníquese con Consumables-Data-Requests@dentsplysirona.com