SureSmile
Ortodoncia
Caso de estudio​
Formación sobre un producto

Detalles del paciente

Edad

17 años

Sexo

mujer

Clase I con tendencia a Clase III - Apiñamiento (SureSmile® Aligners)

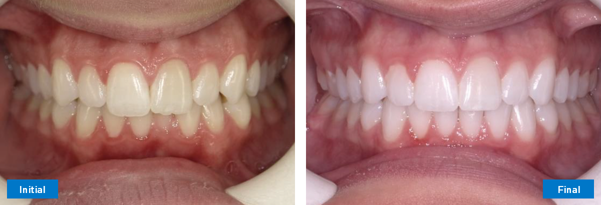
Principal queja del paciente: No le gusta su sonrisa ni sus dientes apiñados.

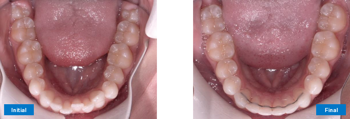
El paciente presenta apiñamiento en los arcos superior e inferior, siendo el apiñamiento más significativo en el arco inferior.

En este caso compartido por el Dr. Ed Lin, observa cómo los médicos pueden utilizar técnicas previas a la presentación, como colocar elásticos separadores elastoméricos entre los dientes antes de escanearlos, para que el acceso para realizar la reducción interproximal (IPR) durante el período de tratamiento sea mucho más fácil.

El Dr. Lin es un ortodoncista con clínica privada en Green Bay, Wisconsin.

Edward Y. Lin, MMS MS

Diplomado por el American Board of Orthodontics (consejo americano de ortodoncia)

Ortodoncista

Clínica privada en Green Bay, Wisconsin

https://osgb.com/

Detalles del caso

Fecha de emisión

01/01/2021

Este informe se publica únicamente como referencia como médico y no necesariamente como una recomendación de Dentsply Sirona

Diagnóstico

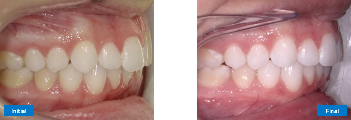
• Arcadas superior e inferior ligeramente asimétricas

• Superior: Apiñamiento leve

• Inferior: Apiñamiento moderado

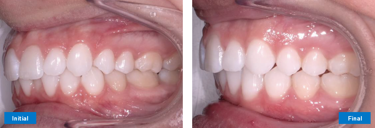
• Mordida profunda moderada

• Bordes incisivos desiguales

Plan de tratamiento

• Mover el primer premolar superior e inferior al primer premolar para resolver el apiñamiento (mientras se mantiene la oclusión posterior)

• Se colocan espaciadores elastoméricos interproximalmente para los dientes anteriores inferiores antes de empezar la terapia con alineadores para permitir un fácil acceso para realizar IPR al inicio del tratamiento

• Realizar IPR en el primer premolar a la región del primer premolar

• Corregir todas las rotaciones

• Colocar las coronas en paralelo

• Nivelar los bordes incisivos

Resultado y seguimiento del tratamiento

Modalidades: Software SureSmile®, alineadores & Propel Ortodoncia VPro™

Duración: 4,25 meses

N.º alineadores: Superior: 7+1 = 8 Inferior: 9+2 = 11

 

Se logran todos los objetivos principales:

• Se soluciona el apiñamiento superior e inferior

• Se logra la simetría de las arcadas superior e inferior

• Se nivela la curva de velocidad de la arcada inferior

• Intrusión de dientes anteriores inferiores para abrir la mordida

• Se nivelan los bordes incisivos de los dientes superiores e inferiores

 

Retención: La arcada superior se retiene con un retenedor transparente. La arcada inferior se retiene con un retenedor lingual unido de canino a canino y un retenedor transparente que se coloca sobre este durante la noche.