SureSmile
Ortodoncia
Caso de estudio​
Formación sobre un producto

Detalles del paciente

Edad

34 años

Sexo

mujer

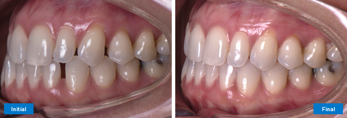
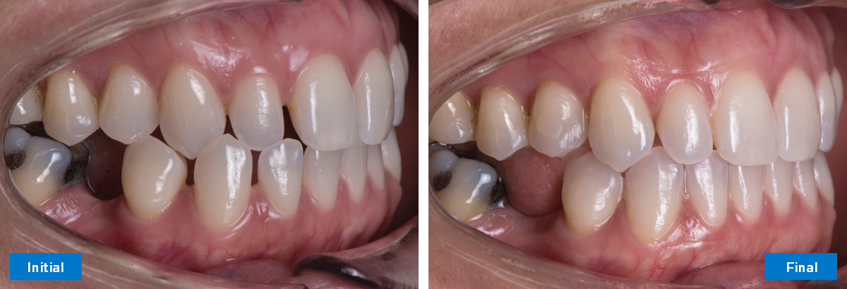
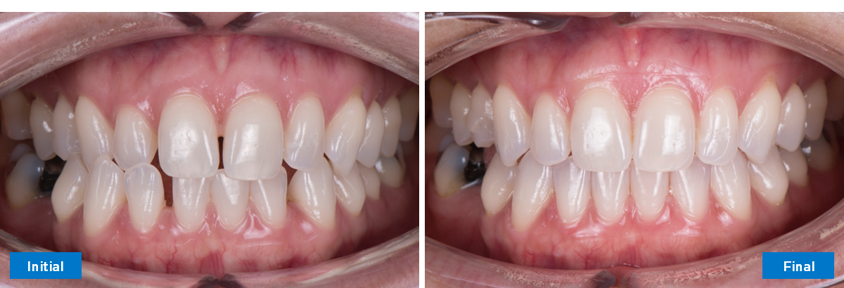
Clase III leve: mordida cruzada anterior, espaciado (SureSmile® Aligners)

Principal queja del paciente: No le gustan los espacios que tiene entre los dientes.

El paciente se presentó con espacios en los arcos superior e inferior, y le faltaba un premolar inferior. Debido a las posiciones del canino derecho superior e inferior en la mordida cruzada, tenía un acoplamiento anterior deficiente además de arcos mal coordinados.

Descubre cómo muchos especialistas utilizan la terapia con alineadores antes de la colocación del implante para redistribuir y consolidar espacios en este caso compartido por el Dr. Antonino Secchi.

El Dr. Secchi es ortodoncista con clínica privada en Devon, Pensilvania, EE. UU.

Antonino G. Secchi, DMD, MS

KOL de Dentsply Sirona

Diplomado por el American Board of Orthodontics (consejo americano de ortodoncia)

Ortodoncista

Clínica privada en Devon, Pensilvania

https://devonortho.com/

Detalles del caso

Fecha de emisión

01/01/2021

Este informe se publica únicamente como referencia como médico y no necesariamente como una recomendación de Dentsply Sirona

Diagnóstico

• Clase III leve

• Espacio moderado de la arcada superior e inferior

• Líneas medias desviadas 1,5 mm

• Mordida cruzada del incisivo lateral superior derecho y canino

• Falta del segundo bicúspide inferior derecho

Plan de tratamiento

• Cerrar todos los espacios

• Corregir la mordida cruzada anterior del lado derecho

• Aumentar la punta bucal al canino superior derecho y el torque de la corona lingual del canino inferior derecho para mejorar el acoplamiento

• Coordinar los arcos superior e inferior y mantener el plano oclusal

• Corregir las líneas medias y dejar el espacio adecuado para la restauración de implantes del segundo premolar inferior derecho

Resultado y seguimiento del tratamiento

Modalidades: Software SureSmile®, alineadores & Propel Ortodoncia VPro™

Duración: 10,5 meses

N.º alineadores: U – 41 L – 33

 

Se logran todos los objetivos principales:

  • Se corrigió la mordida cruzada
  • Las líneas medias superior e inferior han sido alineadas
  • Todos los espacios han sido cerrados

 

Retención: Retenedor transparente superior e inferior