Appelez-nous ou laissez vos coordonnées ci-dessous, et un représentant Dentsply Sirona vous contactera prochainement.
Bénéficiez de 5 % de réduction sur votre première commande avec le code promotionnel WELCOME5
Implant Solutions World Summit 2026 En savoir plus
Catégories
Découvrez l’avenir de la dentisterie connectée : Chaque événement présente une formation de pointe, des avancées récentes, des leaders d’opinion renommés et des opportunités de réseautage incomparables.
Notre stratégie de développement durable est au cœur de notre mission et de tout ce que nous faisons.
Obtenez des résultats fiables avec la solution de classe II de Dentsply Sirona. Cette approche éprouvée relève les principaux défis de la procédure en offrant des solutions de produits innovantes à chaque étape. L'approche de classe II de Dentsply Sirona fournit les outils et techniques nécessaires à la satisfaction du patient et au succès de l'intervention.
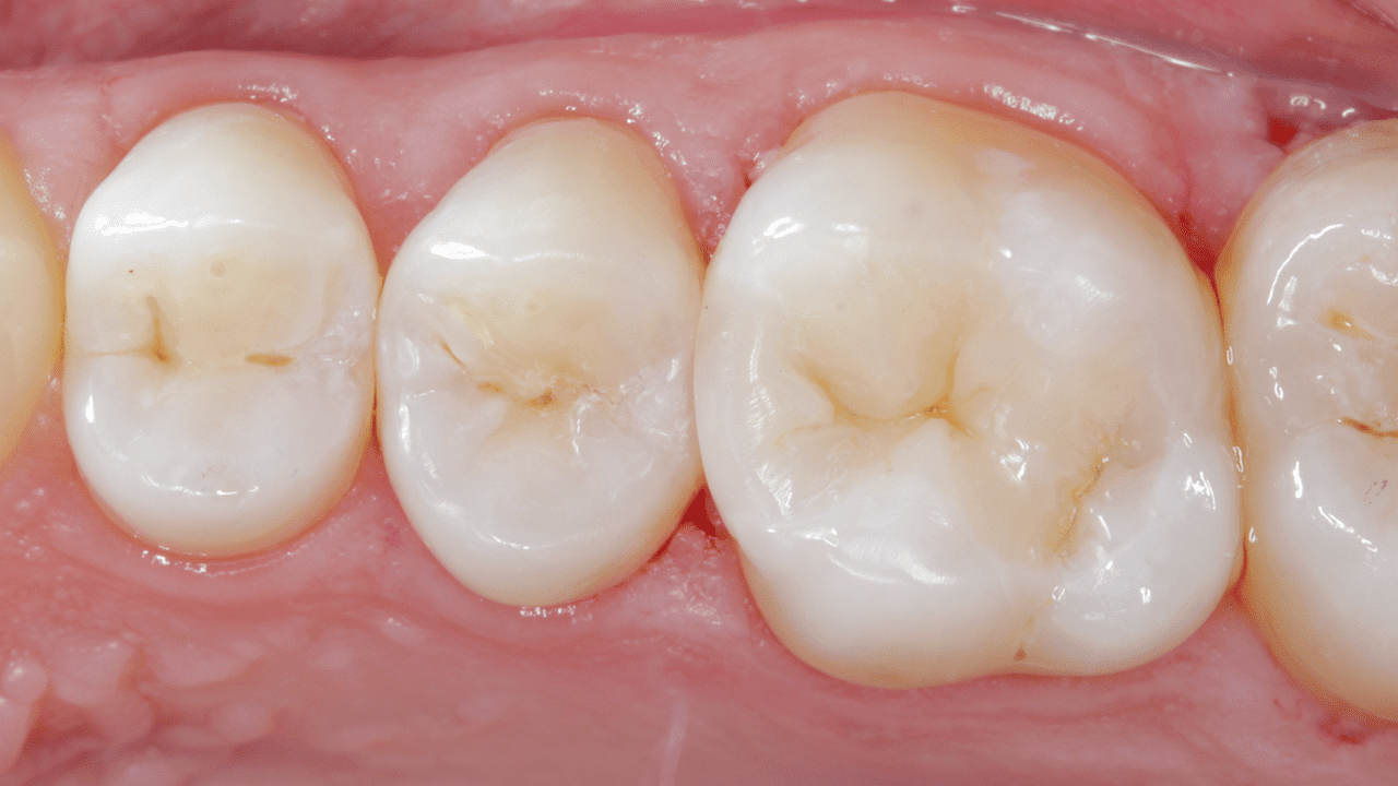
Cas : un homme de 38 ans a présenté un échec de restauration en composite DO de classe II sur une molaire inférieure. Après examen radiographique et clinique, le patient a été anesthésié et l'ancienne restauration défaillante, ainsi que la lésion carieuse, ont été retirées. La restauration de la cavité DO de classe II a été réalisée par le biais d'une approche optimisée.
Conclusion : afin de réduire le risque de sensibilité post-opératoire, l'approche de mordançage sélectif a été utilisée avec un adhésif universel. Pour une adaptation parfaite au composite sans espace, le composite SDR flow+ à faible contrainte de polymérisation, autonivelant à obturation a été utilisé. De plus, le système de matrice sectionnelle Palodent V3 a été utilisé pour offrir un contour proximal précis, tout en créant un point de contact serré.
São Paulo, Brésil
Cas : cas initial montrant d'anciennes restaurations à l'amalgame défectueuses, présentant des infiltrations.
Résultats : rappel à deux semaines. Restauration finale et très bonne rétention de la brillance avec le composite universel A2 et BW Ceram.x Spectra ST, redonnant à la dent son anatomie perdue et son aspect esthétique naturel.
Bagdad, Irak
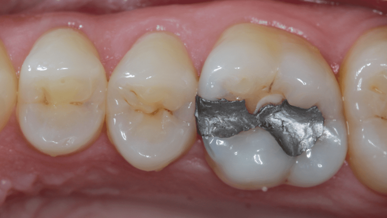
Cas : cas initial montrant une ancienne restauration d'amalgame défectueuse et fracturée.
Résultats : rappel à 3 mois. Vue occluso-palatine illustrant une très bonne rétention de la brillance. Notez la caractérisation et l'aspect naturel obtenus avec le composite universel Ceram.x Spectra ST A2 et BW.
Bagdad, Irak
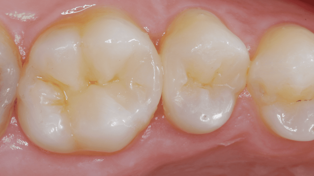
Cas : dans les cas où le plancher gingival de la boîte proximale est sous-gingival, une procédure d'élévation marginale peut être réalisée avec le matériau de base SDR flow+. Une fois l'élévation marginale effectuée, une digue en caoutchouc est appliquée et une restauration de classe II est placée avec une technique Class II Solution.
Résultats : contrôle radiographique présentant une très bonne adaptation marginale, une transition en douceur du matériau d'obturation SDR flow+ au matériau composite Ceram.x Spectra ST et l'absence de bulles d'air.
Istanbul, Turquie
Contactez-nous pour en savoir plus sur nos produits et solutions de restauration.