Toutes les indications en un coup d’œil

Si l’on compare les domaines d’application des différents types de laser, il apparaît clairement que la diode laser offre le plus large éventail d’applications.

Découvrez des exemples de cas sous forme d’images et de clips vidéo issus des procédures quotidiennes en chirurgie, en endodontie, en parodontologie et plus encore. Laissez-vous inspirer - rien ne vaut la pratique !

Options de traitement avec les SiroLasers

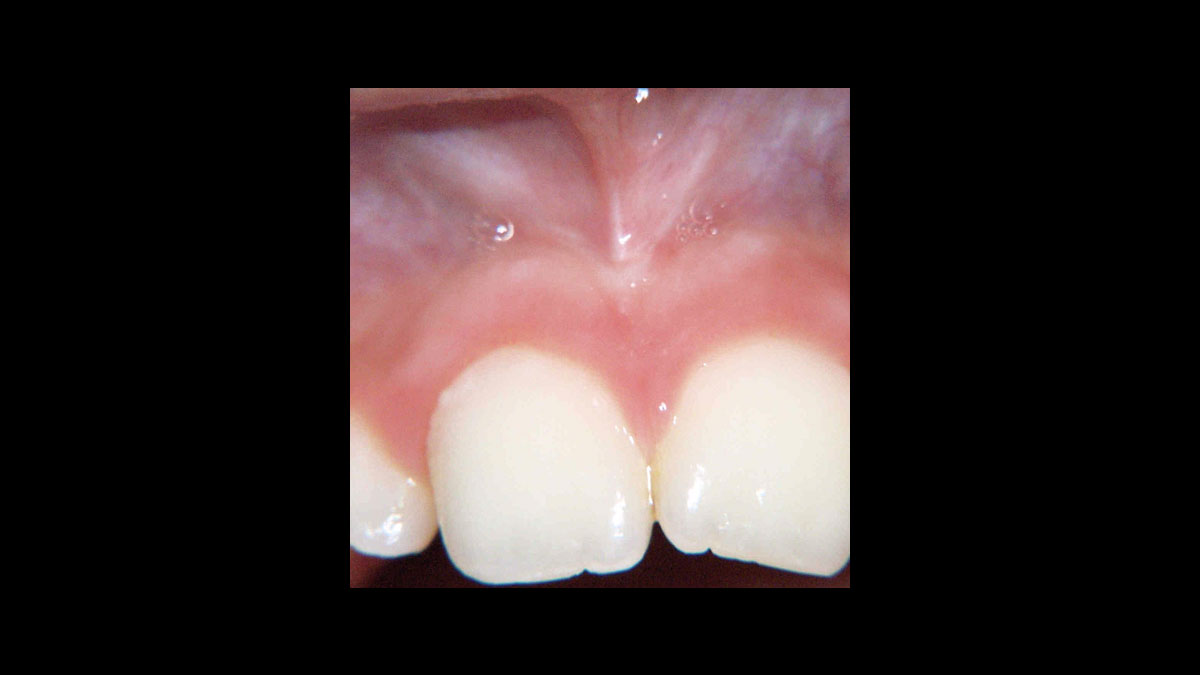
Chirurgie

Les applications suivantes sont présentées en vidéo et en images :

  • Chirurgie
  • Abcès
  • Epulis
  • Fibrome
  • Frénectomie
  • Gingivectomie
  • Gingivoplastie
  • Exposition de l’implant
  • Incisions/excisions
  • Operculectomie
  • Creusement gingival
  • Exposition d’une dent déplacée (pas de programme de traitement prédéfini)

Fibrome

Frénectomie

Gingivoplastie

Exposition de l’implant

Operculectomie

Creusement gingival

Exposition d’une dent déplacée


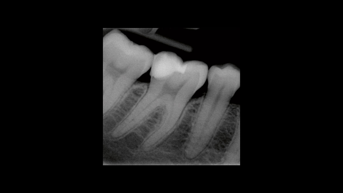
Endodontie

Les applications suivantes sont présentées en vidéo et en images :

  • Réduction des germes endodontiques
  • Réduction des germes de gangrène

Réduction des germes endodontiques


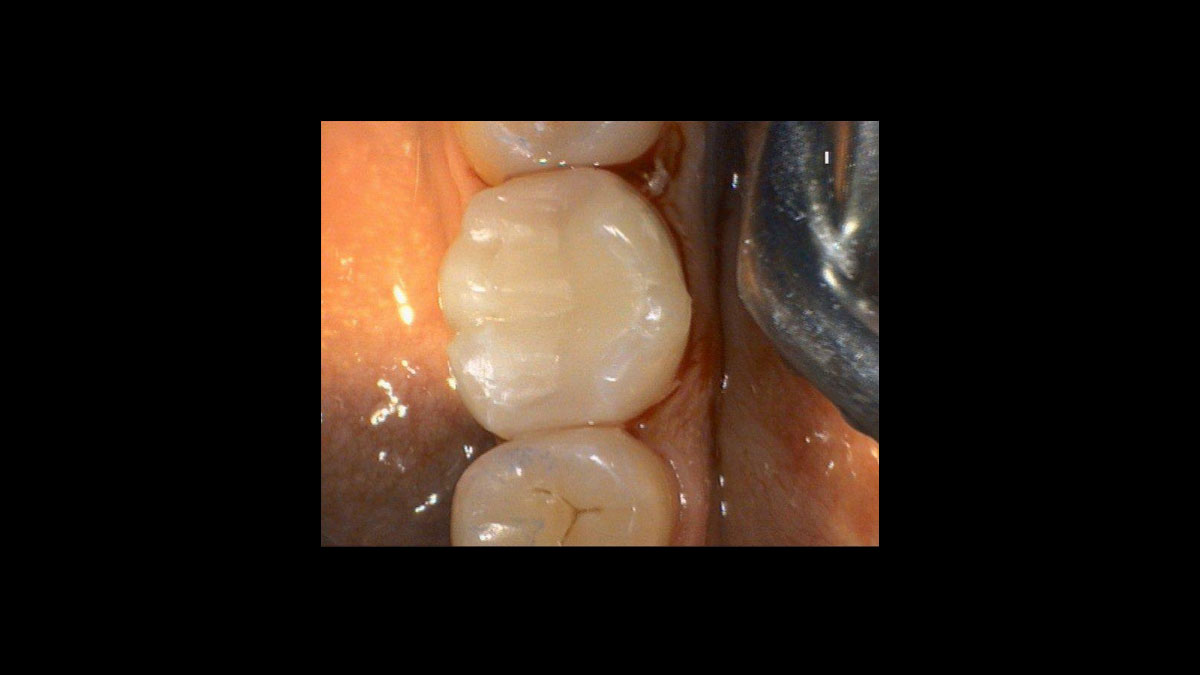
Parodontologie

Les applications suivantes sont présentées en vidéo et en images :

  • Réduction des germes parodontiques

Réduction des germes parodontiques


Autres indications

Les applications suivantes sont présentées en vidéo et en images :

  • Ulcères aphteux
  • Hémostase
  • Herpès

Ulcères aphteux

Hémostase

Contactez-nous

Pour en savoir plus sur les instruments de Dentsply Sirona, demandez des informations sur les pièces à main droites et contre-angles, les turbines, les lasers et bien plus encore.