Appelez-nous ou laissez vos coordonnées ci-dessous, et un représentant Dentsply Sirona vous contactera prochainement.
Axeos, le système expert 2D/3D avec un grand volume et une haute qualité d’image pour les cabinets pratiquant un large spectre de traitements. Développé en collaboration avec des dentistes et des praticiens, Axeos offre le plus large éventail de fonctions parmi tous les appareils de radiographie extra-orale de Dentsply Sirona. En plus d’une haute qualité d’image et des tailles de volume 3D sur mesure, l’appareil d’imagerie dentaire est entièrement optimisé pour un confort accru du patient. Axeos offre des performances et un confort de qualité grâce à son design récompensé, dû au coffre d’accessoires de mordus intégré et à la lumière ambiante.
Avantages
De nombreuses tailles de volume assurent la flexibilité dans la pratique quotidienne. Examiner une zone précise ou évaluer la dentition complète, y compris les ATM
Avec le mode Intelligent Low Dose, vous obtenez des images 3D dans la plage de doses d’une radiographie 2D. En mode HD (jusqu’à 1 400), chaque image est capturée en une seule rotation et convertie en un volume 3D jusqu’à 80 μm pour des images à faible bruit en haute résolution
Pour des images panoramiques exceptionnelles avec une netteté exceptionnelle. Vous pouvez opter pour un bras céphalométrique à droite ou à gauche en option, qui peut être installé à tout moment
Grâce à la connectivité à PACS, RIS, à la liste de travail DICOM et aux imprimantes DICOM. Images radiographiques selon la norme DICOM
Avec les fonctions EasyPad et positionnement automatique pour une qualité d’image élevée, une reproductibilité simple et un grand confort pour le patient et l’assistant
Pour un rangement pratique des accessoires de mordus, le coffre intégré dispose d’un éclairage intérieur et est facilement accessible pour l’opérateur
Pour des flux de travail efficaces et des temps d’attente réduits. Le réglage intelligent de la hauteur place automatiquement l’unité en fonction de la taille de chaque patient selon des paramètres enregistrés lors des visites précédentes
Lorsque vous essayez de capturer une radiographie médicale ou dentaire réussie, il y a un conflit fondamental en cours. D’une part, vous voulez absolument atteindre une qualité d’image maximale, d’autre part, la dose de rayonnement doit être aussi faible que raisonnablement possible pour le patient. Chez Dentsply Sirona, nous nous engageons à proposer des produits qui garantissent une qualité d’image exceptionnelle ainsi que des pratiques sûres et éthiques. Lors du développement de nos produits, nous respectons le principe ALARA (as low as reasonably achievable, aussi faible que raisonnablement possible) valide au niveau international.
Intelligent Low Dose
Grâce au mode de faible dose optimisé avec un filtre dédié, l’imagerie de structures denses, telles que les os, est possible à une dose fortement réduite. L’option Intelligent Low Dose est attrayante et efficace pour de nombreuses situations cliniques. Qu’il s’agisse d’orthodontie ou d’implantologie, les solutions Dentsply Sirona vous permettent de trouver le réglage optimal pour chaque cas.
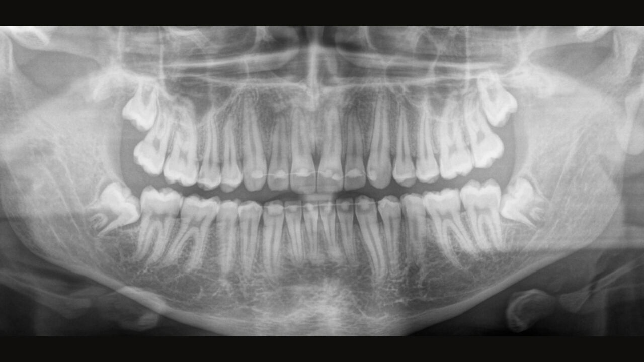
Le capteur de conversion directe (DCS) a révolutionné la norme de l’imagerie panoramique. Les rayons X sont directement convertis en signaux électriques. Ainsi, il n’y a pas de perte de signal due à la conversion de la lumière, comme c’est le cas avec les systèmes conventionnels. Résultat : des images avec un niveau élevé de netteté et de contraste, même à une dose de rayonnement extrêmement faible. Pour obtenir des informations de diagnostic précises afin de réaliser un traitement ciblé.
L’image ci-dessous montre une radiographie panoramique sans et avec la technologie DCS. À l’aide de la flèche, faites glisser le curseur sur l’image pour voir la différence qu’apporte le capteur de conversion directe sur la qualité de l’image et les possibilités de diagnostic.
La bonne mise au point est cruciale pour d’excellentes radiographies panoramiques. Grâce à la fonction autofocus, vous recevrez automatiquement une image avec la mise au point la plus nette possible. Les dispositifs d’imagerie Dentsply Sirona prennent plusieurs milliers d’images individuelles au cours d’un seul cycle et identifient automatiquement les zones où la mâchoire est positionnée de manière optimale. Sans étapes manuelles supplémentaires, ces images sont ensuite affichées dans une image nette finale.
Seules certaines parties de l’image sont mises au point, tandis que d’autres zones sont floues.
Le système détecte les zones pertinentes à partir de plusieurs milliers d’images individuelles prises au cours d’un seul cycle et identifie automatiquement les zones où la mâchoire est positionnée de manière optimale.
Des images nettes.
Axeos est équipé d’une lumière ambiante qui éclaire l’appareil et crée un environnement apaisant pour que l’expérience de votre patient soit la plus agréable possible. Avec une sélection de plus de 35 couleurs, vous pouvez vous assurer qu’elle s’adapte parfaitement à votre esthétique moderne.
Les exigences sont conformes à celles des logiciels de traitement d’image Sidexis 4 et Axeos. Pour plus de détails, veuillez consulter les exigences du système Sidexis 4 et les exigences d’installation d’Axeos.
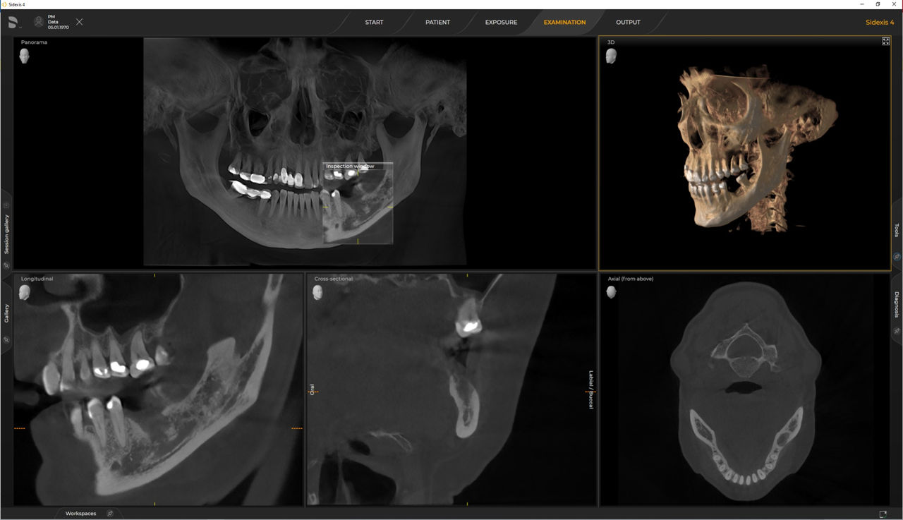
Les unités 3D Dentsply Sirona fonctionnent exclusivement avec Sidexis 4. Néanmoins, la migration des données de Sidexis XG vers Sidexis 4 est très simple. Sidexis 4 offre une expérience numérique complète avec les outils les plus récents.
Orthophos S 2D permet une mise à niveau 3D. Axeos est une unité hybride dédiée. L’Orthophos E ne propose pas cette option.