Appelez-nous ou laissez vos coordonnées ci-dessous, et un représentant Dentsply Sirona vous contactera prochainement.
Vous est-il arrivé de faire des compromis pour les restaurations indirectes en une seule séance ? Les compromis ne devraient pas faire partie du processus de réflexion. Grâce à la technologie de pointe, dites adieu aux compromis. EFFICACITÉ VERSUS ESTHÉTIQUE ? Solidité et rapidité. ESTHÉTIQUE VERSUS RÉSISTANCE ? Avec une prise de teinte simple, une cuisson et un refroidissement rapides, la mise en oeuvre de CEREC Tessera™ permet de gagner un temps précieux.
CEREC Tessera – Advanced Lithium Disilicate est un matériau prêt à être intégré dans votre flux de travail numérique en tant que bloc de vitrocéramique de référence ou en combinaison avec CEREC MTL Zirconia pour une offre complète de blocs CEREC.
Les blocs de piliers CEREC Tessera sont une extension des blocs de disilicate de lithium CEREC Tessera Advanced. La structure céramique CEREC Tessera cimentée à la TiBase est recommandée pour les piliers hybrides en deux parties pour les restaurations de dents unitaires et les couronnes de piliers hybrides, utilisés en conjonction avec des implants dentaires endo-osseux.
Avantages
Jusqu’à 32 % plus résistant que la concurrence, avec une résistance biaxiale mesurée à plus de 700 MPa1.
La stucture à double cristal interagit avec le spectre de la lumière visible pour une translucidité, une fluorescence et une opalescence idéales.
Les cliniciens peuvent économiser jusqu’à 44 % du temps de traitement total (meulage et cuisson) sans compromettre la plage complète d’options esthétiques1.
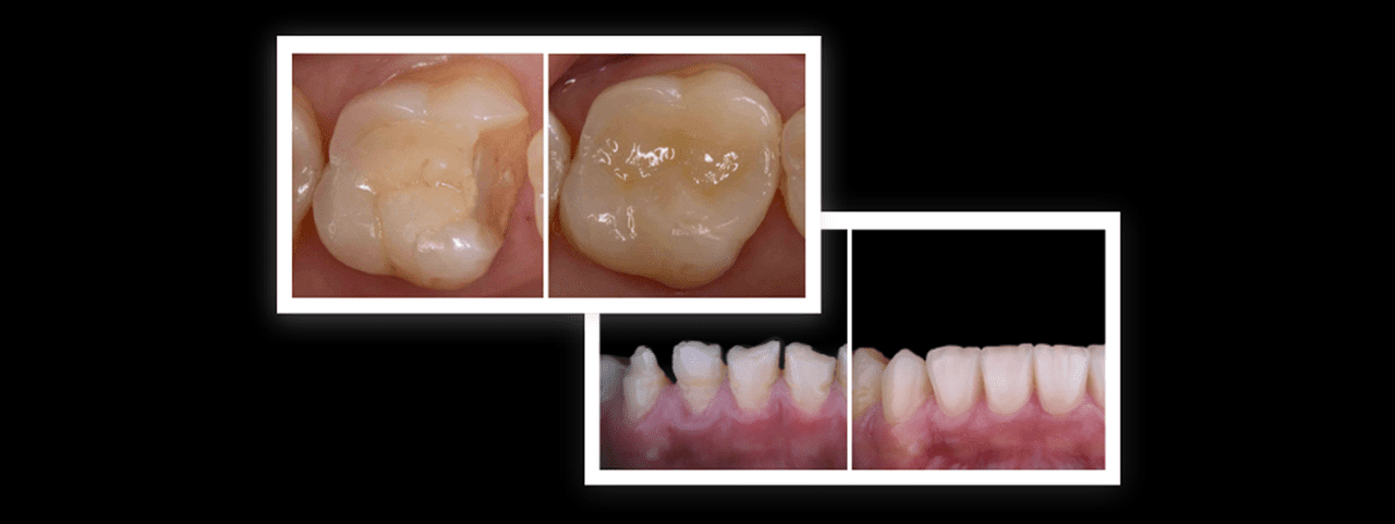
Indiqué pour les couronnes à contour complet, les inlays, les onlays et les facettes.
1. Données internes disponibles. Pour de plus amples informations, veuillez contacter Consumables-Data-Requests@dentsplysirona.com
À PROPOS DU DISILICATE DE LITHIUM AVANCÉ
TÉMOIGNAGES
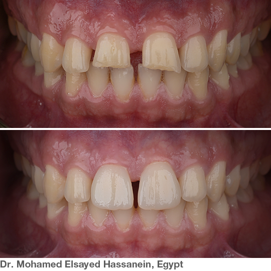
« Les marges ont été parfaitement usinées. La teinte convenait parfaitement à ce cas ! Aucun ajustement n’a été nécessaire. »
Shivi Gupta, DDS
« Le temps de cuisson change la donne avec ce matériau. »
Michael Snider, DMD
À PROPOS DE CEREC TESSERA
1. Données internes disponibles. Pour de plus amples informations, veuillez contacter Consumables-Data-Requests@dentsplysirona.com
1. Données internes disponibles. Pour de plus amples informations, veuillez contacter Consumables-Data-Requests@dentsplysirona.com
1. Données internes disponibles. Pour de plus amples informations, veuillez contacter Consumables-Data-Requests@dentsplysirona.com
FLUX DE TRAVAIL POUR LES COURONNES UNITAIRES
Les blocs CEREC Tessera permettent une vitesse de traitement sans précédent pour une plus grande satisfaction des patients et un cabinet plus productif. Ils ne nécessitent que 4,5 minutes dans un four CEREC SpeedFire1, même avec des colorations.
PROCÉDURE DE RESTAURATION SUR IMPLANT TIBASE EN CONSULTATION
Les blocs CEREC Tessera sont conçus pour le flux de travail au cabinet et peuvent être terminés rapidement et de manière fiable. Tournez-vous vers cette puissante combinaison pour des flux de travail plus efficaces. Combinez tous les éléments pour une restauration implantaire TiBase réussie.
Dans ce flux de travail, un pilier CEREC Tessera est utilisé comme couronne à recouvrement total, cimentée par voie extraorale à une TiBase. Elle est ensuite vissée dans le système d’implant. Des plombages composites (commeCeram.x Spectra ST) sont utilisés pour remplir le canal de vissage et compléter la restauration.
PrimescanetCEREC Softwareoffrent rapidité, simplicité et précision dans les empreintes optiques haute résolution pour améliorer les résultats cliniques et le potentiel de profit.
CEREC Primemilloffre qualité, rapidité, commodité et polyvalence pour des marges et des détails de surface exceptionnels.
CEREC SpeedFireest le four de frittage le plus petit et le plus rapide du marché. Vernis du pilier CEREC Tessera en 4,5 minutes environ.
Dans ce flux de travail, un bloc de pilier CEREC Tessera est utilisé pour créer un pilier personnalisé sur lequel n’importe quelle couronne à recouvrement total peut être scellée. Le bloc pilier CEREC Tessera est cimenté par voie extraorale à une TiBase et vissé dans le système d’implant par voie intraorale. Une couronne à recouvrement total est ensuite scellée en bouche.
PrimescanetCEREC Softwareoffrent rapidité, simplicité et précision dans les empreintes optiques haute résolution pour améliorer les résultats cliniques et le potentiel de profit.
CEREC Primemilloffre qualité, rapidité, commodité et polyvalence pour des marges et des détails de surface exceptionnels.
CEREC SpeedFireest le four de frittage le plus petit et le plus rapide du marché. La glazure des couronnes du pilier CEREC Tessera s’effectue en 4,5 minutes environ.
Vous trouverez d’autres téléchargements dans notre Centre de téléchargement.