Appelez-nous ou laissez vos coordonnées ci-dessous, et un représentant Dentsply Sirona vous contactera prochainement.
Implant Solutions World Summit 2026 En savoir plus
Catégories
Découvrez l’avenir de la dentisterie connectée : Chaque événement présente une formation de pointe, des avancées récentes, des leaders d’opinion renommés et des opportunités de réseautage incomparables.
Notre stratégie de développement durable est au cœur de notre mission et de tout ce que nous faisons.
Étude de cas
Âge
Sexe
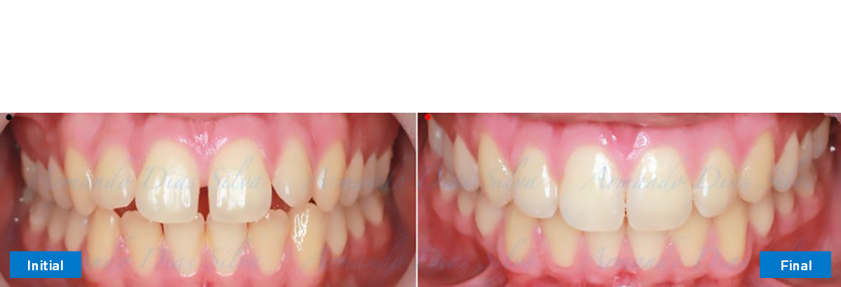
Plainte(s) principale(s) du patient : Protubérance de l’incisive centrale et béance. Le patient refuse l’expansion de la voûte palatine (MARPE) et les extractions.
Ce patient adolescent présentait des molaires de classe II et n’aimait pas sa béance ni le caractère protubérant de ses dents antérieures. D’après les photos de son visage, il semble que sa mandibule soit rétrognathe ou qu’il manque de volume au niveau du menton. Les dossiers du patient indiquaient également un problème fonctionnel, car il n’y avait pas de guidage des incisives.
Découvrez comment les praticiens traitent les cas de classe II avec distalisation principalement et sans élastiques dans ce cas d’aligneurs SureSmile partagé par le Dr Armando Dias da Silva. Le Dr Dias da Silva est un orthodontiste exerçant en cabinet privé à Porto, au Portugal.
Orthodontiste
Cabinet privé à Porto, Portugal
Date d’émission
Ce cas clinique est publié pour vous inspirer en tant que clinicien et n’est pas nécessairement une recommandation de Dentsply Sirona
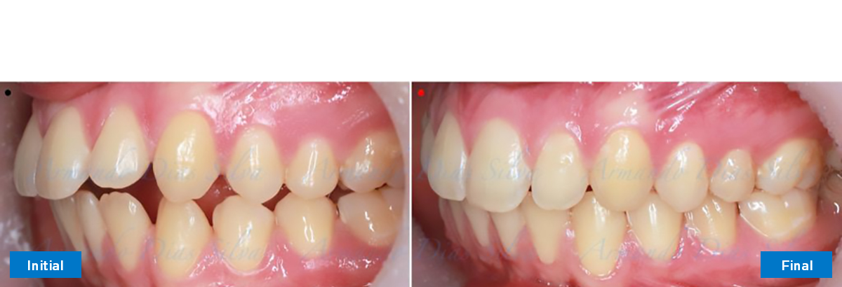
• Molaires de classe II
• Diastème
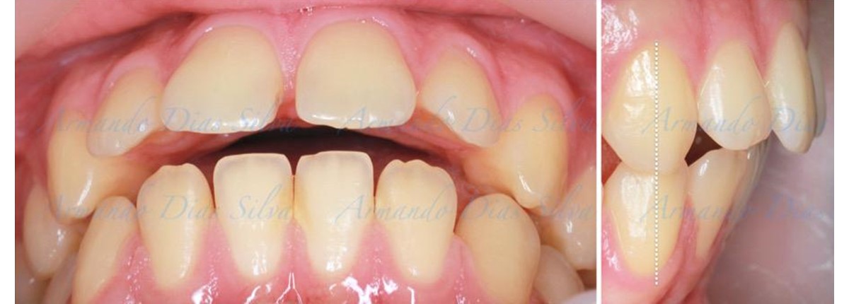
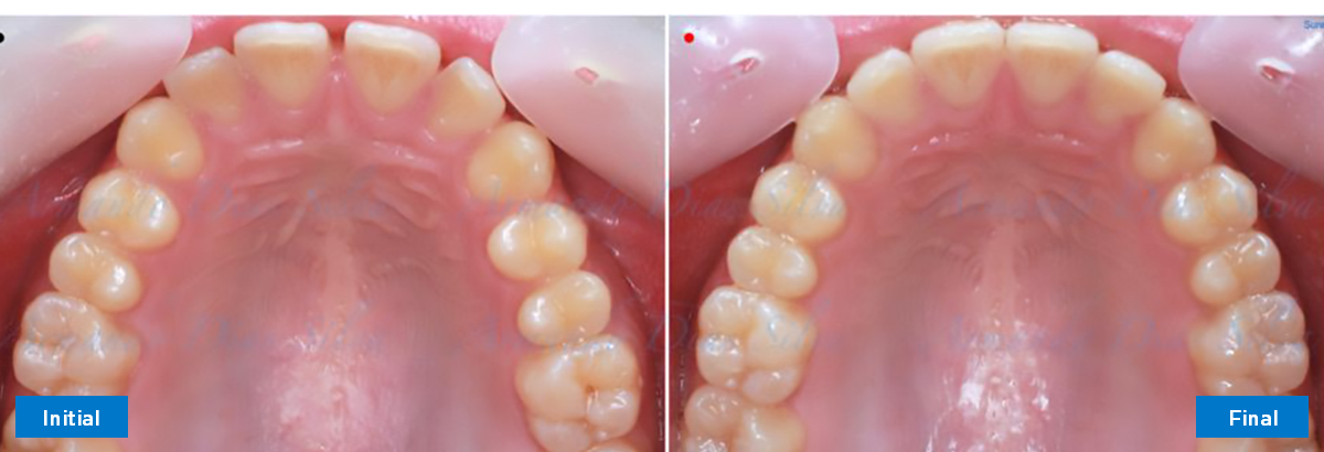
• Léger espacement entre les arcades mandibulaire et maxillaire (déficit transversal de 3,45 mm)
• La première molaire maxillaire droite est en position plus mésiale que la première molaire maxillaire gauche
• Léger déficit transversal maxillaire (3,45 mm)
• Incisives maxillaires et mandibulaires inclinées
• Guidage défavorable de la canine
• Aligner et niveler sans extractions
• Dé-rotation et distalisation des molaires maxillaires
• Retrousser les incisives maxillaires
• Rétrocliner les incisives mandibulaires
• Génioplastie à l’âge adulte
Modalités - Logiciel et marqueurs SureSmile®
Durée : 7 mois, 7 rendez-vous
Nombre de marqueurs - MX : 24 MD : 16
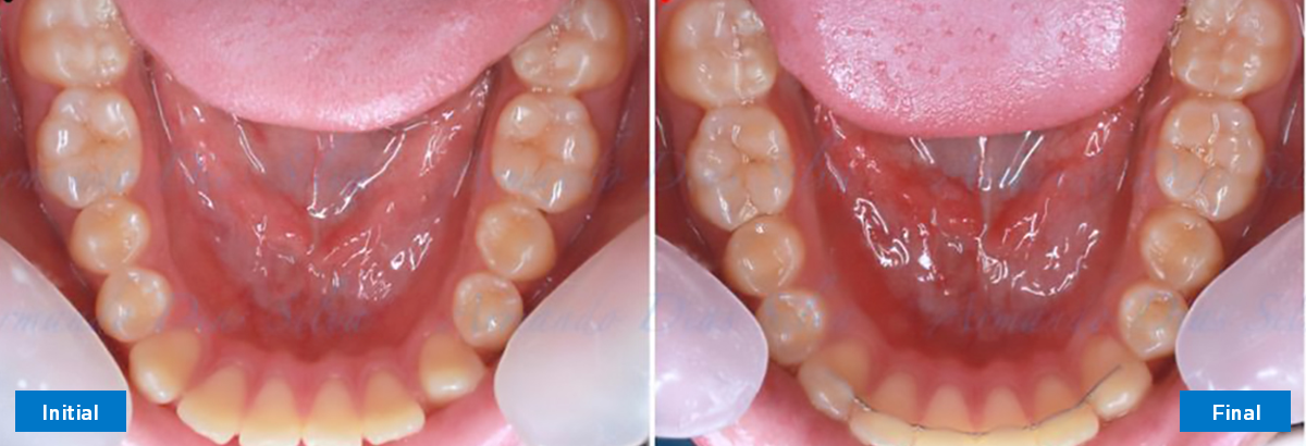
Tous les objectifs principaux ont été atteints :
Rétention : l’arcade maxillaire est maintenue par une contention transparente. L’arcade mandibulaire est maintenue par une contention linguale collée d’une canine à l’autre.
© 2026 - Dentsply Sirona, Tous droits réservés
En utilisant ce site ou en téléchargeant des documents à partir de celui-ci, vous reconnaissez être un professionnel de la santé et acceptez de respecter les conditions énoncées dans notre Politique de confidentialité et nos Mentions légales.