Appelez-nous ou laissez vos coordonnées ci-dessous, et un représentant Dentsply Sirona vous contactera prochainement.
Implant Solutions World Summit 2026 En savoir plus
Catégories
Découvrez l’avenir de la dentisterie connectée : Chaque événement présente une formation de pointe, des avancées récentes, des leaders d’opinion renommés et des opportunités de réseautage incomparables.
Notre stratégie de développement durable est au cœur de notre mission et de tout ce que nous faisons.
Âge
Sexe
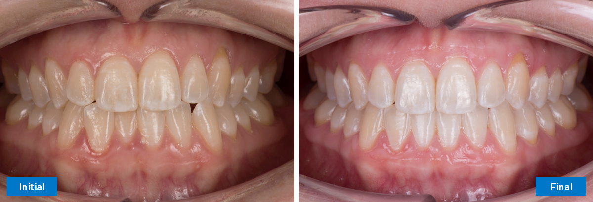
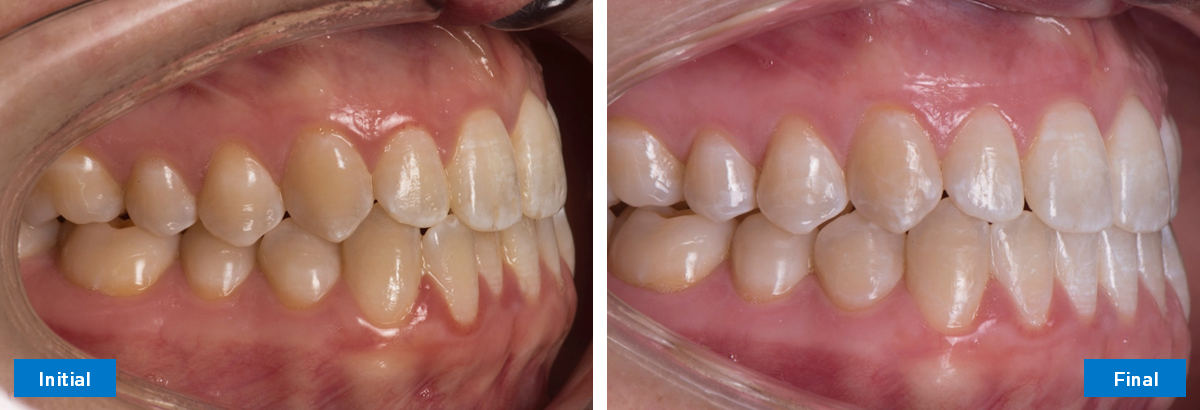
Principale(s) plainte(s) de la patiente : elle n’aime pas l’alignement de ses dents « de devant ». Elle a récidivé après un précédent traitement d’orthodontie avec des brackets fixes fournis par un autre praticien, mais souhaite maintenant avoir un sourire parfait pour le jour de son mariage.
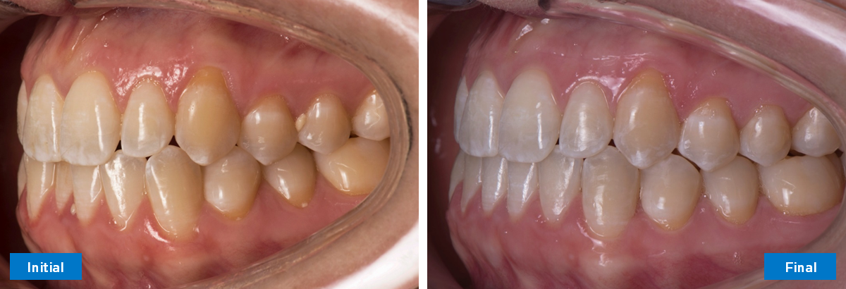
L’encombrement dentaire est le symptôme d’un écart entre la taille des dents et la longueur de l’arcade. Les praticiens peuvent remédier à l’encombrement en augmentant la taille de l’arcade dentaire par une expansion ou ils peuvent diminuer la taille des dents ou la masse dentaire par une réduction interproximale de l’émail (réduction interproximale) ou une extraction pour résoudre l’écart. Dans certains cas, les praticiens peuvent traiter l’encombrement en combinant à la fois l’expansion/proclinaison et la réduction interproximale. Quoi qu’il en soit, chaque méthode a un impact sur l’arcade opposée. Ainsi, lorsque des patients comme celle-ci présentent un encombrement modéré sur l’arcade mandibulaire et très peu d’encombrement ou de problèmes d’alignement sur l’arcade maxillaire, le défi consiste à niveler et à aligner l’arcade mandibulaire, sachant que la proclinaison des incisives mandibulaires peut avoir pour conséquence négative de minimiser le surplomb ou de créer un surplomb négatif.
Découvrez comment les praticiens qui traitent des patients présentant un encombrement modéré au niveau de l’arcade mandibulaire sans un encombrement équivalent au niveau de l’arcade maxillaire sont confrontés à une considération supplémentaire dans la gestion du surplomb et de la supraclusion du patient en examinant ce cas partagé par le Dr Antonino Secchi.
Le Dr Secchi est un leader d’opinion important de Dentsply Sirona et un orthodontiste exerçant en cabinet privé à Devon, en Pennsylvanie.
Leader d’opinion important de Dentsply Sirona
Diplômé de l’American Board of Orthodontics
Orthodontiste
Cabinet privé à Devon, PA
Date d’émission
Ce cas clinique est publié pour vous inspirer en tant que clinicien et n’est pas nécessairement une recommandation de Dentsply Sirona
• Classe I
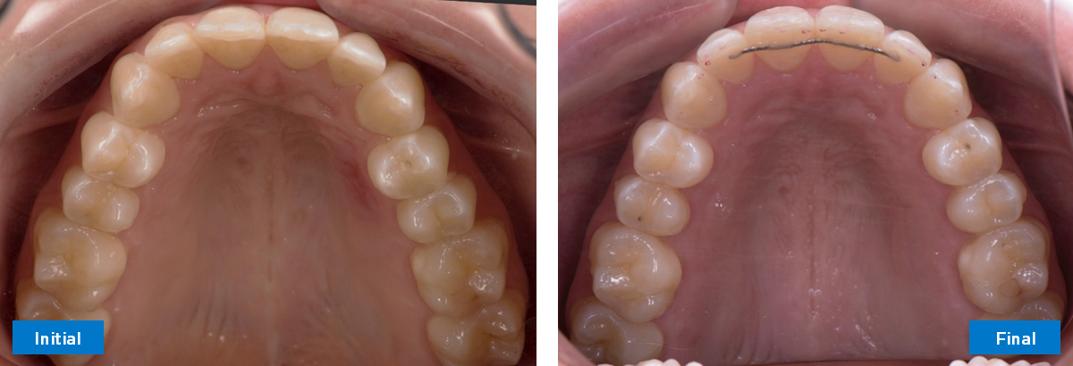
• Encombrement léger au niveau de l’arcade maxillaire
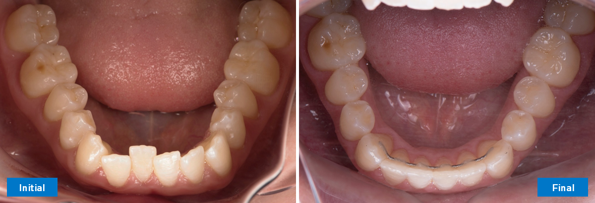
• Encombrement modéré au niveau de l’arcade mandibulaire
• Recouvrement modéré
• Maintien des molaires de classe I
• Amélioration de l’alignement des arcades maxillaire et mandibulaire
• Utiliser la réduction interproximale au niveau de l’arcade mandibulaire, de canine à canine, pour créer l’espace nécessaire à l’alignement des incisives et les empêcher de s’incliner
• Améliorer la supraclusion superficielle
Modalités : logiciel et aligneurs SureSmile®
Durée : 5 mois
Nombre de marqueurs : MX - 17 MD - 17
Tous les objectifs principaux ont été atteints :
• Bon alignement des marqueurs maxillaire et mandibulaire
• La supraclusion superficielle a été améliorée
• Grâce à l’alignement, la canine mandibulaire gauche est positionnée de manière plus idéale, ce qui minimise les risques liés aux forces latérales importantes
• Une amélioration notable des tissus s’est produite après l’alignement
Gouttière de contention : contention linguale maxillaire et mandibulaire fixe
© 2026 - Dentsply Sirona, Tous droits réservés
En utilisant ce site ou en téléchargeant des documents à partir de celui-ci, vous reconnaissez être un professionnel de la santé et acceptez de respecter les conditions énoncées dans notre Politique de confidentialité et nos Mentions légales.