Appelez-nous ou laissez vos coordonnées ci-dessous, et un représentant Dentsply Sirona vous contactera prochainement.
Implant Solutions World Summit 2026 En savoir plus
Catégories
Découvrez l’avenir de la dentisterie connectée : Chaque événement présente une formation de pointe, des avancées récentes, des leaders d’opinion renommés et des opportunités de réseautage incomparables.
Notre stratégie de développement durable est au cœur de notre mission et de tout ce que nous faisons.
Âge
Sexe
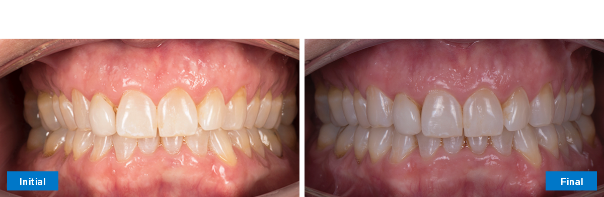
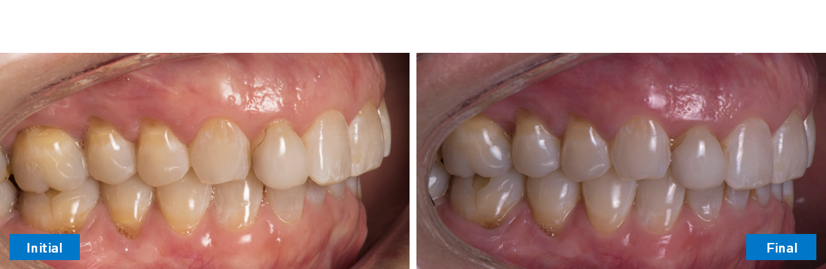
Principale(s) plainte(s) de la patiente : n’aime pas son sourire étroit.
Les traitements d’orthodontie pour adultes sont de plus en plus populaires. Généralement, c’est l’esthétique du visage et des dents qui amène les adultes à consulter pour un traitement orthodontique, et non leur occlusion ! Dans ce cas, vous verrez comment le Dr Secchi a aidé la patiente à obtenir une merveilleuse amélioration de son sourire en élargissant ses arcades grâce à un traitement par marqueurs visant à redresser toutes les dents postérieures (canines, prémolaires et molaires) tout en conservant une bonne coordination des arcades. Les modifications de son couloir vestibulaire obtenues par orthodontie nous montrent comment une inclinaison correcte des couronnes apporte des avantages à la fois fonctionnels et esthétiques au patient.
Découvrez comment les praticiens utilisent les aligneurs SureSmile® chez les adultes présentant une occlusion de classe II stable pour répondre à leurs préoccupations esthétiques avec ce cas partagé par le Dr Antonino Secchi.
Le Dr Secchi est un leader d’opinion important de Dentsply Sirona et un orthodontiste exerçant en cabinet privé à Devon, en Pennsylvanie.
Leader d’opinion important de Dentsply Sirona
Diplômé de l’American Board of Orthodontics
Orthodontiste
Cabinet privé à Devon, PA
Date d’émission
Ce cas clinique est publié pour vous inspirer en tant que clinicien et n’est pas nécessairement une recommandation de Dentsply Sirona
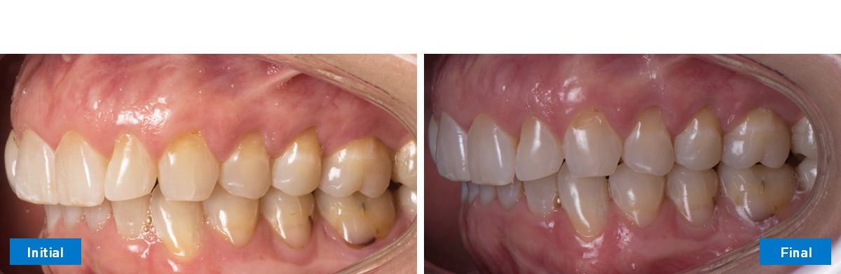
• Relation de malocclusion de classe II
• Léger défaut d’alignement des dents mandibulaires et maxillaires avant
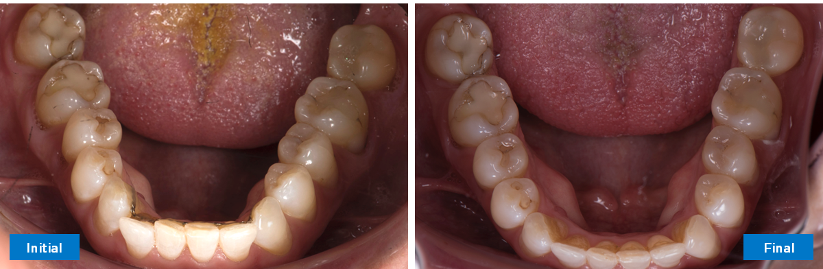
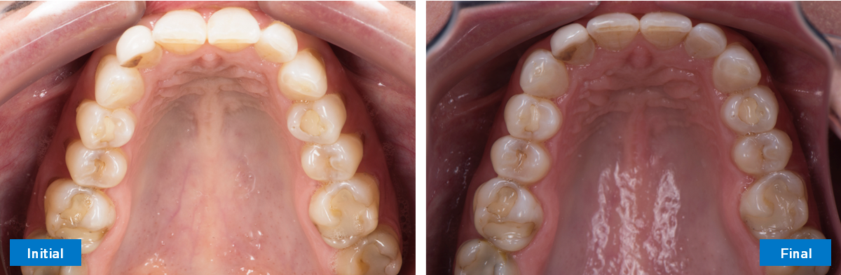
• Canines, prémolaires et molaires maxillaires et mandibulaires inclinées lingualement
• Récession gingivale légère généralisée
• Niveler et aligner les incisives maxillaires et mandibulaires
• Pointe vestibulaire de toutes les dents postérieures d’environ 1,5 mm
• Coordonner les arcades maxillaires et mandibulaires
• Élargir les arcades maxillaire et mandibulaire par un redressement vestibulaire de toutes les dents maxillaires de 1,5 mm de chaque côté, tout en conservant une bonne coordination des arcades
Modalités : logiciel et aligneurs SureSmile®
Durée : 4 mois
Nombre de marqueurs : MX - 13 MD - 14
Tous les objectifs principaux ont été atteints :
• Une très belle amélioration de l’esthétique du sourire de la patiente a été obtenue
• Comme le montre la simulation numérique des modèles 3D occlusaux avant et après, les dents maxillaires et mandibulaires ont basculé d’environ 2,5 mm en moyenne
• L’alignement des incisives maxillaires et mandibulaires s’est amélioré
• Une bonne coordination de l’arcade a été obtenue
Rétention : Arcade maxillaire et mandibulaire retenue par une contention transparente.
© 2026 - Dentsply Sirona, Tous droits réservés
En utilisant ce site ou en téléchargeant des documents à partir de celui-ci, vous reconnaissez être un professionnel de la santé et acceptez de respecter les conditions énoncées dans notre Politique de confidentialité et nos Mentions légales.