Appelez-nous ou laissez vos coordonnées ci-dessous, et un représentant Dentsply Sirona vous contactera prochainement.
Implant Solutions World Summit 2026 En savoir plus
Catégories
Découvrez l’avenir de la dentisterie connectée : Chaque événement présente une formation de pointe, des avancées récentes, des leaders d’opinion renommés et des opportunités de réseautage incomparables.
Notre stratégie de développement durable est au cœur de notre mission et de tout ce que nous faisons.
Étude de cas
Âge
Sexe
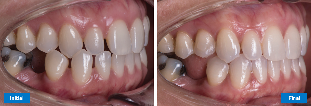
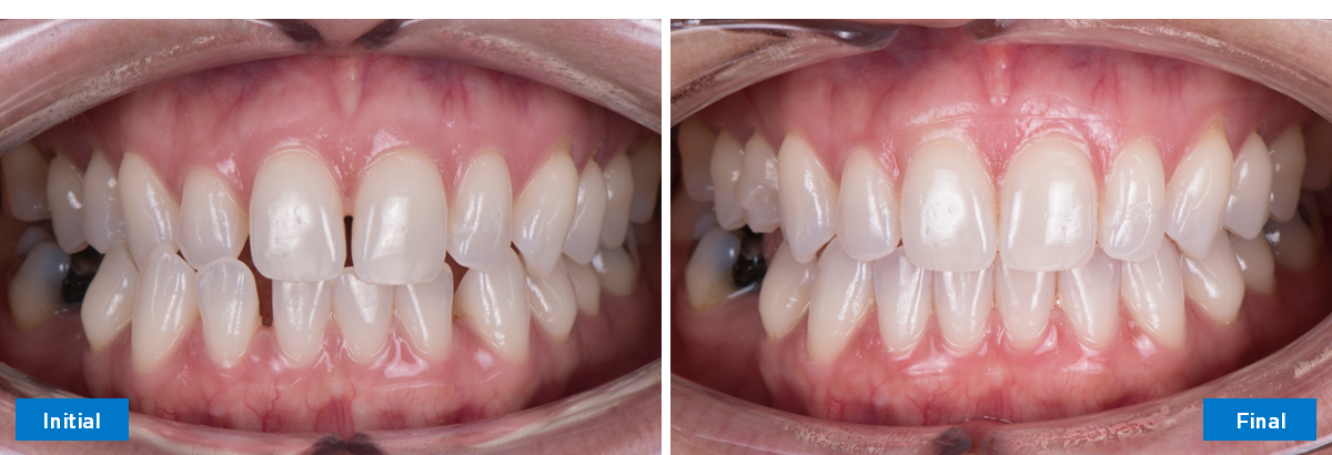
Principale(s) plainte(s) du patient : N’aime pas les espaces entre ses dents.
Le patient présentait des espacements au niveau des arcades maxillaire et mandibulaire et une prémolaire mandibulaire manquante. En raison de la position de la canine maxillaire et de la canine mandibulaire droite en articulé croisé, il présentait un mauvais couplage antérieur ainsi que des arcades mal coordonnées.
Découvrez comment de nombreux praticiens utilisent le traitement avec marqueurs avant la pose d’implants pour redistribuer et consolider les espaces, avec ce cas partagé par le Dr Antonino Secchi.
Le Dr Secchi est un orthodontiste exerçant en cabinet privé à Devon, en Pennsylvanie.
Leader d’opinion important de Dentsply Sirona
Diplômé de l’American Board of Orthodontics
Orthodontiste
Cabinet privé à Devon, PA
Date d’émission
Ce cas clinique est publié pour vous inspirer en tant que clinicien et n’est pas nécessairement une recommandation de Dentsply Sirona
• Classe III modérée
• Espacement modéré des arcades supérieure et inférieure
• Lignes médianes décalées de 1,5 mm
• Incisive latérale maxillaire droite et canine croisées
• Deuxième prémolaire mandibulaire droite manquante
• Fermer tous les espacements
• Corriger l’articulé croisé antérieur du côté droit
• Augmenter la pointe vestibulaire de la canine maxillaire droite et le torque de la couronne linguale de la canine mandibulaire droite pour améliorer le couplage
• Coordonner les arcades maxillaire et mandibulaire et maintenir le plan occlusal
• Corriger les lignes médianes et laisser un espace suffisant pour la restauration de l’implant de la deuxième prémolaire mandibulaire droite
Modalités : Logiciel SureSmile®, marqueurs & Propel Orthodontics VPro™
Durée : 10,5 mois
Nob de marqueurs : MX - 41 MD - 33
Tous les objectifs principaux ont été atteints :
Conservation: Contention maxillaire et mandibulaire transparente
© 2026 - Dentsply Sirona, Tous droits réservés
En utilisant ce site ou en téléchargeant des documents à partir de celui-ci, vous reconnaissez être un professionnel de la santé et acceptez de respecter les conditions énoncées dans notre Politique de confidentialité et nos Mentions légales.