SureSmile
Orthodontie
Casestudy
Producttraining

Patiëntgegevens

Leeftijd

16 jaar oud

Geslacht

Man

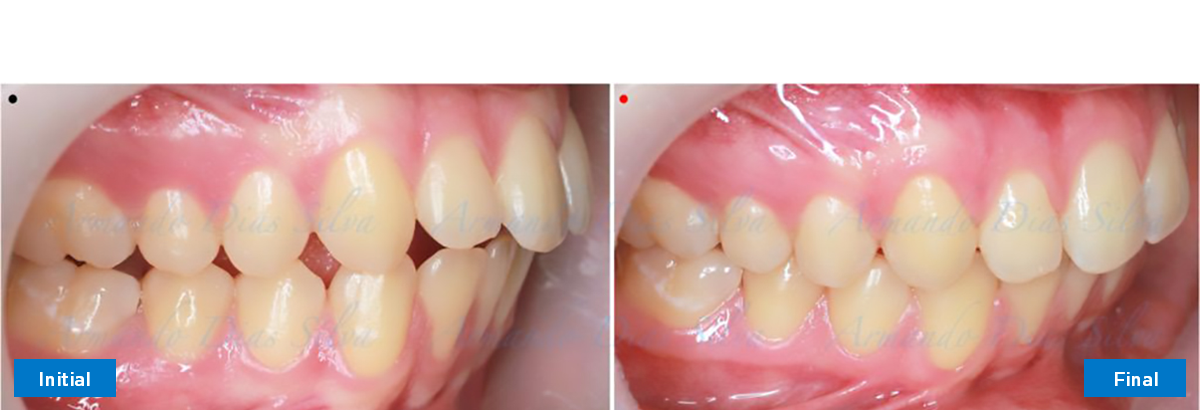
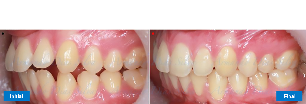
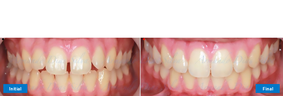
Klasse II, Div 1 – Uitsteeksel van centrale snijtand en anterieure ruimten (SureSmile®-uitlijners)

Hoofdklacht(en) patiënt: centrale snijtandprotrusie en open beet. Patiënt weigert palatale boogexpansie (MARPE) en extracties.

Deze tienerpatiënt presenteerde zich met Klasse II kiezen en hield niet van zijn open beet en hoe vooruitstekend zijn voortanden waren. Uit zijn gezichtsfoto's bleek dat zijn onderkaak retrognathisch was of dat hij geen volume in zijn kin had. Patiëntendossiers gaven ook aan dat er een functioneel probleem was, aangezien er geen snijtandgeleiding was.

Zie hoe tandartsen Klasse II-gevallen behandelen met voornamelijk distalisatie en zonder elastieken in deze SureSmile-alignercasus die wordt gedeeld door Dr. Armando Dias da Silva. Dr. Dias da Silva is orthodontist met een privépraktijk in Porto, Portugal.

Armando Dias da Silva, DDS, MSc

Orthodontist

Privépraktijk in Porto, Portugal

Details van casus

Datum van uitgifte

01/01/2021

Dit casusrapport is gepubliceerd ter inspiratie voor u als clinicus en niet noodzakelijkerwijs als aanbeveling van Dentsply Sirona

Diagnose

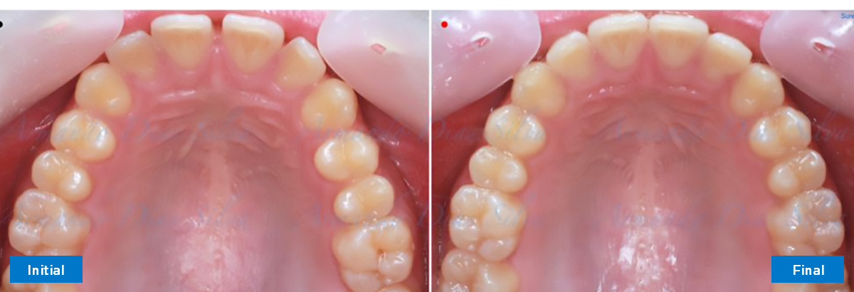
• Klasse II kiezen

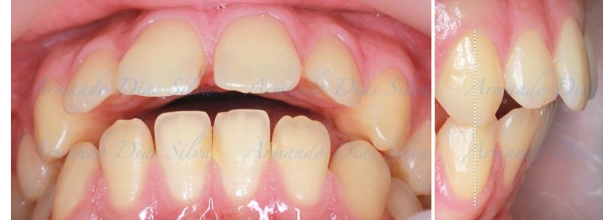
• Diasteem

• Lichte tussenruimte boven- en onderbogen (transversaal tekort van 3,45 mm)

• De eerste molaar rechtsboven bevindt zich in een mesialere positie dan de eerste molaar linksboven

• Milde maxillaire transversale deficiëntie (3,45 mm)

• Gebogen bovenste en onderste snijtanden

• Ongunstige begeleiding bij hoektanden

Behandelplan

• Uitlijnen en waterpas zetten zonder extracties

• Deroteren en distaal maken van bovenste kiezen

• Retrude bovenste snijtanden

• Retrocline onderste snijtanden

• Genioplastiek wanneer volwassen

Behandelingsresultaat en opvolging

Modaliteiten - SureSmile®-software en aligners

Duur  - 7 maanden, 7 afspraken

Aantal aligners  - U: 24 L: 16

 

Alle hoofddoelstellingen werden bereikt:

  • Klasse I-molaren bereikt met distaal en geen elastiek
  • Geen veranderingen in condyluspositie
  • Geen maxillaire uitbreiding, met inachtneming van de parodontale omhulling
  • Lagere snijtanden naar achteren gebogen, waardoor stabiliteit op lange termijn wordt verbeterd

 

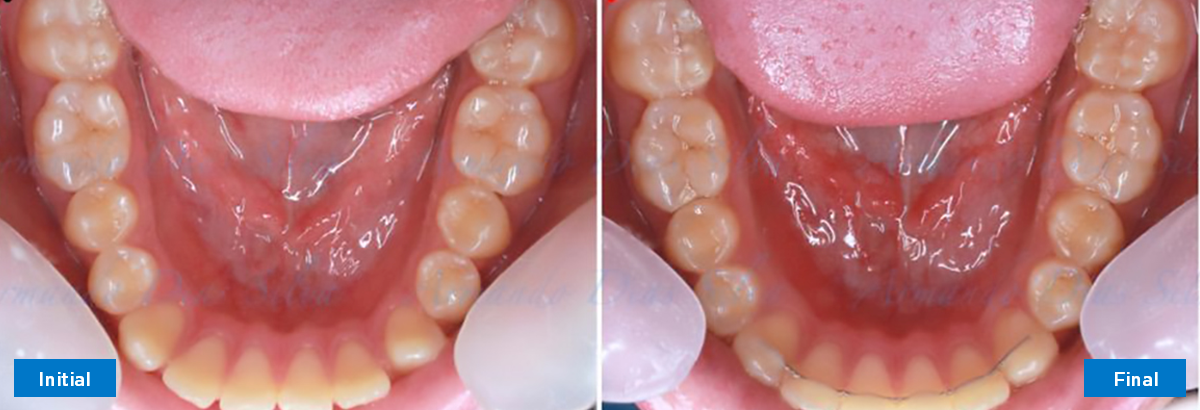
Retentie: Bovenste boog wordt vastgehouden met een doorzichtige retainer. De onderste boog wordt vastgehouden met een linguale retainer die aan de cuspidalis gebonden is.

Geen veranderingen in condyluspositie