Bel ons of geef hieronder uw contactgegevens op. Een vertegenwoordiger van Dentsply Sirona zal binnenkort contact met u opnemen.
Ontvang 5% korting op uw eerste online bestelling met promotiecode WELCOME5
Ervaar de toekomst van verbonden tandheelkunde Elk evenement toont toonaangevende educatie, geavanceerde ontwikkelingen, gerenommeerde opinieleiders en ongeëvenaarde netwerkmogelijkheden.
Onze duurzaamheidsstrategie is fundamenteel voor onze missie en is integraal voor alles wat we doen.
Leeftijd
Geslacht
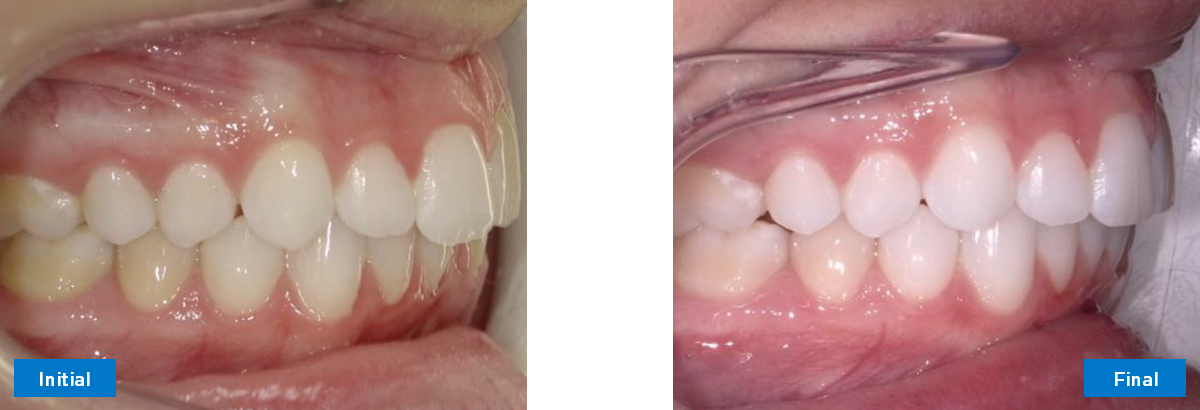
Hoofdklacht(en) van de patiënt: Houdt niet van haar glimlach of haar crowded tanden.
Patiënt presenteerde zich met verdringing in de bovenste en onderste bogen, waarbij de hoeveelheid verdringing groter was in de onderste boog.
In dit geval gedeeld door dr. Ed Lin, zie hoe tandartsen pre-submissietechnieken kunnen gebruiken, zoals het plaatsen van elastomeer scheidende elastieken tussen de tanden voorafgaand aan het scannen, zodat toegang voor hen om interproximale reductie (IPR) uit te voeren tijdens de behandelingsperiode veel gemakkelijker is.
Dr. Lin is orthodontist met een privépraktijk in Green Bay, WI (VS).
Diplomaat, Amerikaanse Raad van Orthodontie
Orthodontist
Privépraktijk in Green Bay, WI (VS)
Datum van uitgifte
Dit casusrapport is gepubliceerd ter inspiratie voor u als clinicus en niet noodzakelijkerwijs als aanbeveling van Dentsply Sirona
• Licht asymmetrische boven- en onderbogen
• Bovenkant: Milde crowding
• Onderste: Matige crowding
• Matige diepe beet
• Ongelijkmatige incisieranden
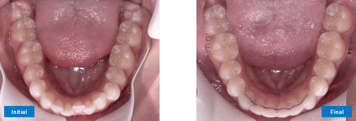
• Verplaats de bovenste en onderste eerste bicuspide naar de eerste bicuspide om verdringing op te lossen (met behoud van posterieure occlusie)
• Plaatsing van elastomeer spacers interproximaal voor lagere anterieure tanden voorafgaand aan het starten van alignertherapie om gemakkelijke toegang mogelijk te maken om IPR uit te voeren aan het begin van de behandeling
• IPR uitvoeren in het eerste bicuspide naar het eerste bicuspide gebied
• Corrigeer alle rotaties
• Haar kronen parallel zetten
• Herstel haar incisieranden
Modaliteiten: SureSmile® Software, Aligners & Propel Orthodontics VPro™
Duur: 4,25 maanden
Aantal aligners : U: 7+1 = 8 L: 9+2= 11
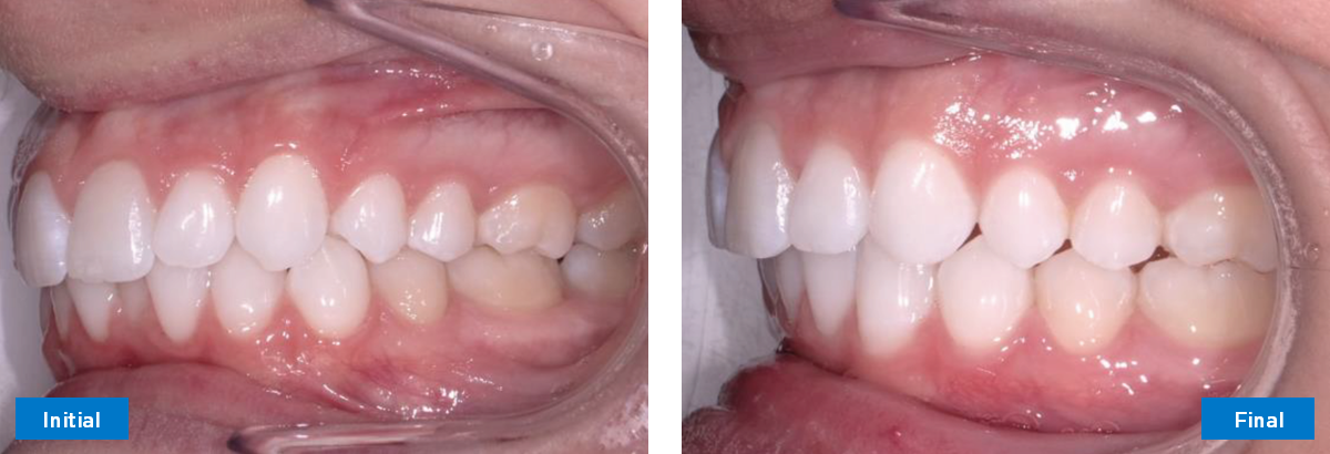
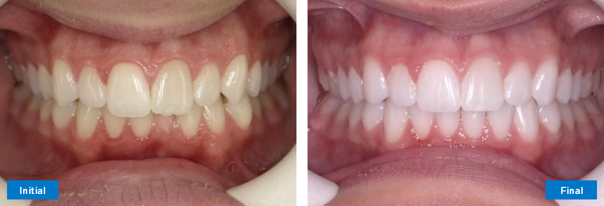
Alle hoofddoelstellingen werden bereikt:
• Boven- en onderdruk opgelost
• Bereikte symmetrie van de boven- en onderboog
• Vereffende de kromming van de onderste boog van de poot
• Geïntrudeerde onderste voortanden om haar beet te openen
• Gelijkmatige incisieranden van boven- en ondertanden
Retentie: Bovenboog wordt retained met een doorzichtige retainer. De onderste boog wordt retained met een linguale retainer die is gebonden aan de cuspidalis en een doorzichtige retainer die er 's nachts overheen wordt gedragen.