Voordelen

Waarom zou u kiezen voor Celtra Press?

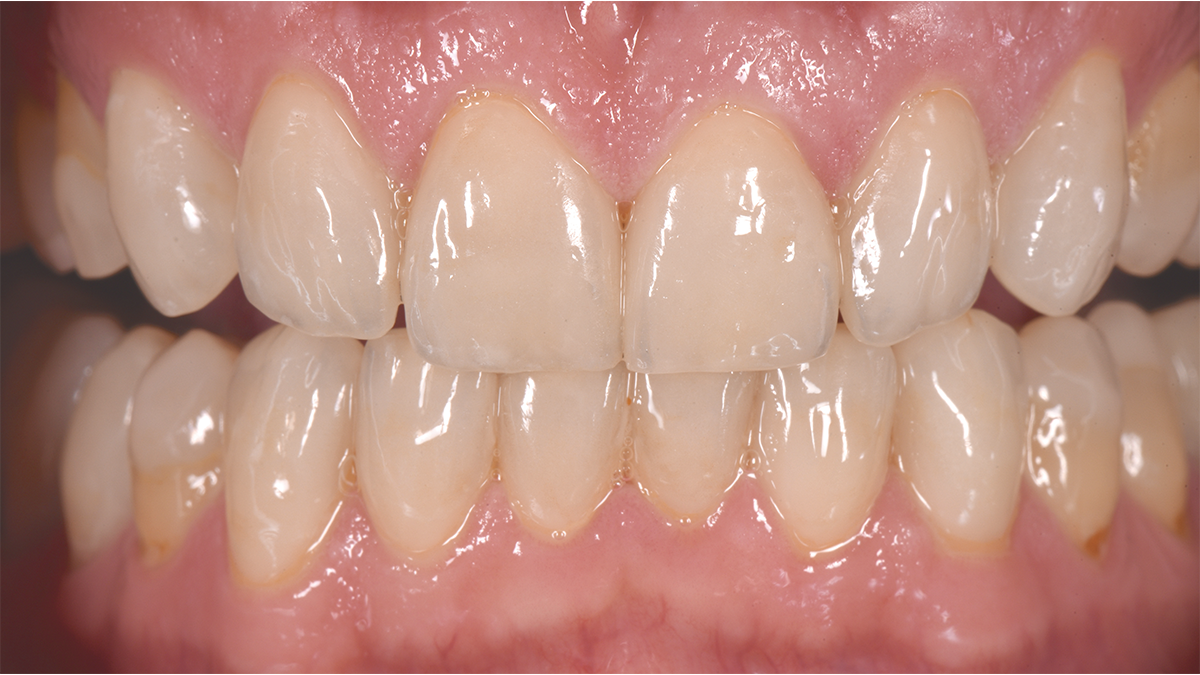
Fascinerende ongeëvenaarde esthetiek

De enige materiaaloptie die het hoogste niveau van esthetiek biedt, ter nabootsing van natuurlijke tanden.

Efficiëntie die loont

Tijds- en geldbesparende eigenschappen.

Sterkte om op te bouwen

Uitzonderlijke vloeibaarheid en sterkte vergroten de zekerheid bij ontwerpen voor complexe casussen.

Eenvoud die ertoe doet

Meer doen met minder voorraad

Hoogst esthetisch fineerwerk met Celtra Ceram

Celtra Ceram is een laagsmeltend, met leuciet versterkte veldspaatkeramiek geschikt voor het opbakken van Celtra Press, conventioneel lithiumsilicaat en zirkonia onderstructuren.

Perfect persbaar, ook bij zeer complexe, dunne casussen

Celtra Press-inbedmassa is speciaal ontwikkeld voor Celtra Press. De combinatie van uitzonderlijke vloeibaarheid en een inbedmassa met lage reactiviteit elimineert conventionele verwerkingsstappen en levert nauwkeuriger perswerk op, wat resulteert in beter passende restauraties.

Levensechte opalescentie en translucentie in zonlicht

Hoogste niveau van esthetiek

De enige materiaaloptie die het hoogste niveau van esthetiek biedt, als een nabootsing van natuurlijke tanden.

"De verwerkingseigenschappen van het materiaal zijn sensationeel: De uitstekende vloeibaarheid vereenvoudigt het proces en helpt tijd te besparen. Het aanstiften is sterk vereenvoudigd omdat er slechts één perskanaal nodig is en er is slechts een minimale reactielaag bij gebruik van de nieuwe Celtra Press-inbedmassa, wat resulteert in een zeer glad oppervlak. Snelle opwarming en extreem nauwkeurige expansieregeling zorgen voor een uitstekende pasvorm. Kortom: Aanzienlijk grotere productiviteit in het lab."

Markus Stork | Stork Zahntechnik | Braunschweig, Duitsland

"Ik heb volledig vertrouwen in Celtra Press, omdat het aanzienlijk meer sterkte biedt (meer dan 500 MPa) dan elk ander vergelijkbaar materiaal. Na dynamische veroudering werd een hoge breuksterkte verkregen, zoals is aangetoond door kauwsimulaties van de Universiteit Regensburg en Heidelberg."

Dr. Mischa Krebs | Alzey, Duitsland

Ontwikkeld om het verschil te maken

Videogalerij Celtra Press

Celtra Press wetenschappelijke video
Celtra Press cutback-techniek met Celtra Ceram
Celtra Press volledig opgebakken met Celtra Ceram
Celtra Press workflowvideo met testimonials
Uitmuntende esthetiek bij monolithische restauraties

Downloads

In ons Download Center kunt u meer brochures downloaden.

432 KB
475 KB

Neem contact op

Wilt u meer weten over de orthodontische materialen van Dentsply Sirona zoals; SureSmile, Essix of onze overige producten vraag dan uw informatie aan.

Naslagwerk:

1)  3-punts buigsterkte: Interne meting Dentsply Sirona; buigsterktetest: Universiteit Justus-Liebig Giessen, Duitsland

2) VITA, VITA classical A1–D4 en 3D-MASTER zijn gedeponeerde handelsmerken van VITA Zahnfabrik H. Rauter GmbH & Co. KG.