Bel ons of geef hieronder uw contactgegevens op. Een vertegenwoordiger van Dentsply Sirona zal binnenkort contact met u opnemen.
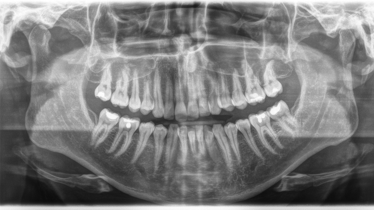
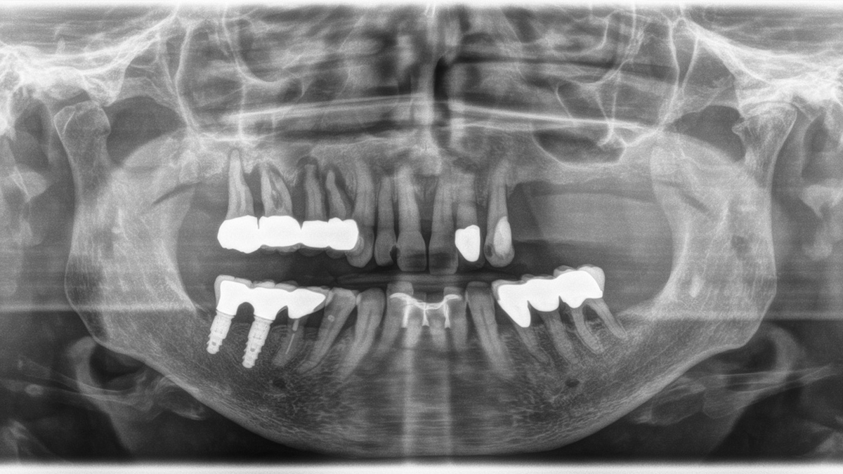
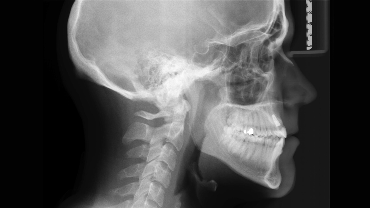
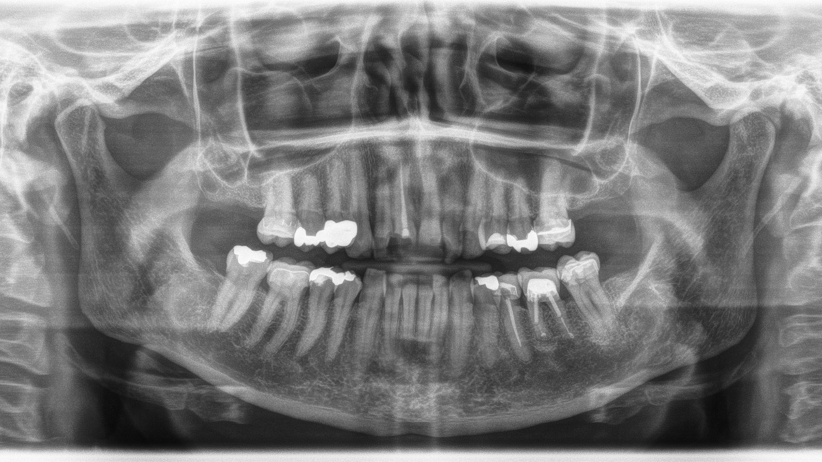
Het degelijke 2D-röntgenapparaat biedt een soepele toegang tot de wereld van digitale beeldvorming. Dankzij de CsI-sensortechnologie en de gebruiksvriendelijke interface bent u elke keer verzekerd van betrouwbare diagnostiek. Door de cephalometrische optie is de Orthophos E ook een betrouwbare partner voor orthodontie. Verrijk uw praktijk met een breed scala aan diensten die alleen mogelijk zijn met digitale beeldvorming.
Voordelen
Dankzij de 2D CsI-sensor en betrouwbare beeldkwaliteit
Met gemotoriseerde schedel- en voorhoofdondersteuning, automatische meting van de schedelbreedte, laser lichtlijnen en ingebouwde handvatten voor stabilisering
Voor basisdiagnostiek in 2D
Voor optimale diagnostische ondersteuning in orthodontie kan op elk moment een linker ceph-arm worden besteld of achteraf worden gemonteerd
Met het MultiPad-bedieningspaneel
Orthophos E heeft twee geïntegreerde lichtplaatsbepalingsinstrumenten om de ideale positionering in de scherpe laag te vergemakkelijken. De gemotoriseerde voorhoofd- en slaapsteunen houden het hoofd van de patiënt voorzichtig op zijn plaats en leveren extra ondersteuning om vervaging door beweging te voorkomen.
Zie voor meer informatie de Systeemvereisten van Sidexis 4.
Dentsply Sirona-röntgeneenheden werken uitsluitend met Sidexis 4. Toch is de gegevensmigratie van Sidexis XG naar Sidexis 4 heel eenvoudig. Sidexis 4 zorgt voor een volledige digitale ervaring met de nieuwste tools