Bel ons of geef hieronder uw contactgegevens op. Een vertegenwoordiger van Dentsply Sirona zal binnenkort contact met u opnemen.
Ontvang 5% korting op uw eerste online bestelling met promotiecode WELCOME5
Ervaar de toekomst van verbonden tandheelkunde Elk evenement toont toonaangevende educatie, geavanceerde ontwikkelingen, gerenommeerde opinieleiders en ongeëvenaarde netwerkmogelijkheden.
Onze duurzaamheidsstrategie is fundamenteel voor onze missie en is integraal voor alles wat we doen.
Ontspannen en aangename procedures zijn voor iedereen belangrijk, of het nu om patiënten gaat of het personeel. Het is voor iedereen fijn en motiverend als alles soepel en volgens plan verloopt. Met het gebruik van Orthophos of Axeos met Sidexis 4 krijgt u doelgerichte ondersteuning. De röntgensystemen zijn eenvoudig te gebruiken, maar bieden unieke diagnostische mogelijkheden. Dit waarborgt een positieve ervaring bij ieder aspect in het behandelingsproces.
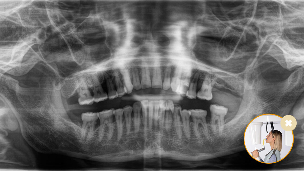
Correcte patiëntpositionering leidt tot hoge beeldkwaliteit zodat een nauwkeurige diagnose wordt ondersteund en de patiëntervaring verbetert.
Dit is ons 10-puntenconcept voor een comfortabele patiëntpositionering en röntgenbeeldvorming. Het gaat primair om twee dingen: een hoge beeldkwaliteit en comfort voor zowel de patiënt als de assistent.
1. Met de EasyPad kunt u het aanraakscherm draaien en kantelen en het geeft een intuïtieve programmaselectie
2. Met de slimme hoogte-instelling kunt u de röntgeneenheid al voorbereiden voordat de patiënt arriveert.
3. Unieke Auto-positioner bepaalt automatisch de correcte kanteling voor het hoofd
4. Het röntgengedeelte kan eenvoudig worden ingesteld met het universele bijtblok, dat aanpassing op basis van de individuele patiënt mogelijk maakt
5. Gemotoriseerde, instelbare hoofdsteun met automatische stop bij het hoofd van de patiënt en automatische opening aan het einde van de beeldopname
6. Op basis van automatische meting van de breedte van de slaap wordt apparaatrotatie aangepast voor iedere individuele patiënt
7. Automatische wervelcompensatie voor betere kwaliteit van de panoramische beelden in het anterieure deel
8. Lichte lijnen voor eenvoudige zichtbaarheid van het volume
9. Geïntegreerde draaibare spiegel ondersteunt correcte positionering van de patiënt
10. Ergonomische hendels ondersteunen een stabiele patiëntpositionering
Het gebruik van het occlusale bijtblok kan niet eenvoudiger zijn. Dankzij de symbolen en kleuren op het scherm van het röntgenapparaat hebben behandelaars alle informatie die nodig is voor optimale fijnafstelling van het apparaat. Verlichte pijlen geven aan in welke richting de eenheid moet worden bewogen voor een ideale hoofdhellingshoek. Het apparaat stopt automatisch zodra de correcte positie is bereikt.
"Dankzij de Auto-Positioner hebben we kortere wachttijden."
Dr. Stamnitz & Kollegen, Langen, Duitsland
Neem contact op. Lees meer over de röntgenoplossingen van Dentsply Sirona en vraag informatie aan over intraorale röntgenfoto's, software of 2D- en 3D-beeldvormingstechnologieën.