Bel ons of geef hieronder uw contactgegevens op. Een vertegenwoordiger van Dentsply Sirona zal binnenkort contact met u opnemen.
Ontvang 5% korting op uw eerste online bestelling met promotiecode WELCOME5
Ervaar de toekomst van verbonden tandheelkunde Elk evenement toont toonaangevende educatie, geavanceerde ontwikkelingen, gerenommeerde opinieleiders en ongeëvenaarde netwerkmogelijkheden.
Onze duurzaamheidsstrategie is fundamenteel voor onze missie en is integraal voor alles wat we doen.
Bereik een betrouwbaar resultaat met de klasse II-oplossing van Dentsply Sirona. Deze bewezen benadering pakt belangrijke uitdagingen in de procedure aan met innovatieve productoplossingen bij elke stap. De Klasse II-benadering van Dentsply Sirona biedt de producten en technieken, die nodig zijn voor een succesvolle procedure en patiënttevredenheid.
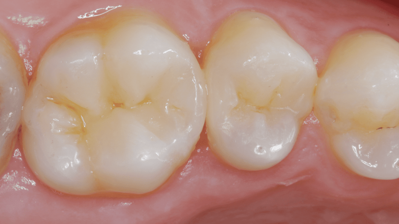
Casus: Een 38-jarige mannelijke patiënt had een mislukte klasse II DO-composietrestauratie op een lagere molaar. Na radiografisch en klinisch onderzoek werd de patiënt verdoofd en werden de oude mislukte restauratie en de cariëslaesie, verwijderd. De klasse II DO-caviteitsrestauratie werd uitgevoerd met behulp van een geoptimaliseerde benadering.
Conclusie: Om de kans op postoperatieve gevoeligheid te verkleinen, werd de benadering van selectief etsen gebruikt met een universele kleefstof. Voor een perfecte, spleetvrije aanpassing van het composiet werd gebruik gemaakt van het zelfnivellerende bulkvulling-composiet SDR-flow+ met lage polymerisatiebelasting. Daarnaast werd voor een nauwkeurige proximale ronding en een optimale aanmaak van een strak contactpunt het sectionele matrixsysteemPalodent V3 gebruikt.
São Paulo, Brazilië
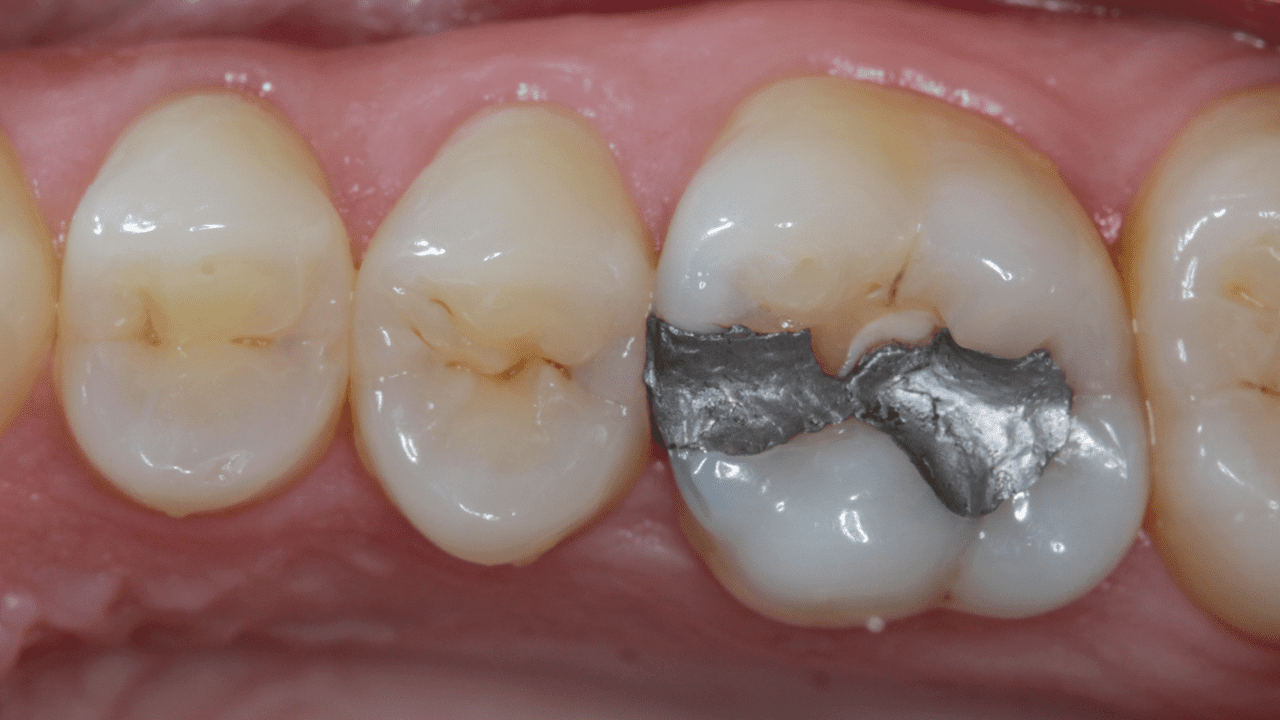
Casus: Initiële casus met defecte en lekkende oude amalgaamrestauraties.
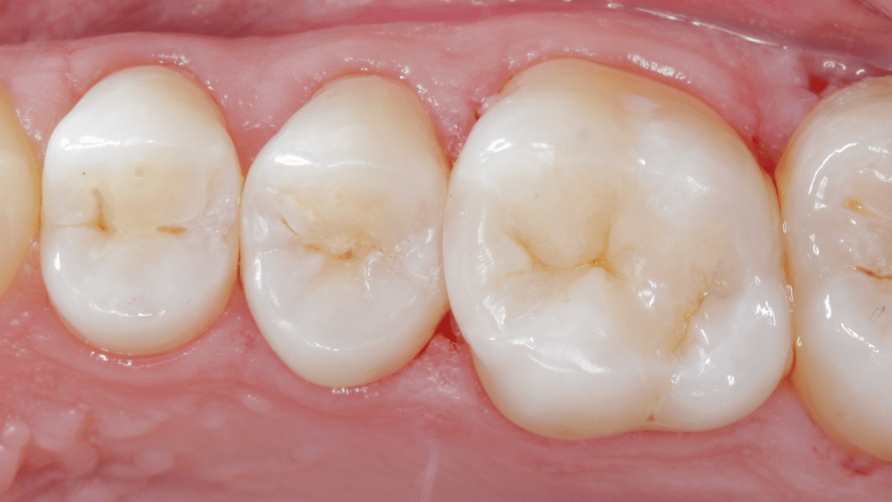
Resultaten: Na twee weken. Eindrestauratie en uitstekende glansbehoud met Ceram.x Spectra ST universeel composiet A2 en BW, waardoor de tand zijn verloren anatomie en natuurlijke, esthetische uiterlijk terugkrijgt.
Bagdad, Irak
Casus: Initiële casus met defecte en gebroken oude restauratie van amalgaam.
Resultaten: na 3 maanden. Occlusaal-palataal beeld met uitstekende glansretentie. Let vooral op de karakterisering en het natuurlijke uiterlijk verkregen met Ceram.x Spectra ST universele composiet A2 en BW.
Bagdad, Irak
Casus: In casussen waarin de gingivale bodem van de proximale box subgingivaal is, kan een procedure van randverhoging worden uitgevoerd met basismateriaal SDR flow+. Na de randverhoging wordt een rubberen dam aangebracht en wordt een klasse II-restauratie geplaatst met een klasse II-oplossingstechniek.
Resultaten: Radiografische controle, uitstekende aanpassing van de rand, naadloze overgang van SDR-flow+ bulkvulling aan Ceram.x Spectra ST-composietmateriaal, zonder opsluiting van luchtbelletjes.
Istanboel, Turkije
Neem contact op. Meer informatie over onze restauratieve producten en oplossingen.