Dowiedz się więcej o pakiecie zabezpieczeń Dentsply Sirona dla systemu Windows 11, aby zapewnić ciągłe bezpieczeństwo i zgodność swoich urządzeń Dentsply Sirona.
Axeos – to specjalistyczny system 2D/3D o dużych obszarach obrazowania i wysokiej jakości obrazu dla gabinetów o szerokiej ofercie leczenia. Opracowany we współpracy ze stomatologami i klinicystami, Axeos zapewnia najszerszy zakres funkcji spośród wszystkich zewnątrzustnych urządzeń do obrazowania rentgenowskiego firmy Dentsply Sirona. Oprócz doskonałej jakości obrazu i dostosowanych do potrzeb obszarów obrazowania 3D, to urządzenie jest w pełni zoptymalizowane pod kątem komfortu pacjenta. Axeos zapewnia nie tylko jakość w zakresie wydajności i komfortu, ale także swój wielokrotnie nagradzany design dzięki wbudowanej szafce na zagryzaki oraz podświetleniu Ambient Light.
Zalety
Duża liczba obszarów obrazowania zapewnia elastyczność w codziennej pracy. Badanie precyzyjnie określonego obszaru lub ocena całego uzębienia, w tym stawów skroniowo-żuchwowych
Dzięki Low Dose – trybowi inteligentnej niskiej dawki można uzyskać obrazy 3D w zakresie dawek promieniowania rentgenowskiego 2D. W trybie HD (do 1400) pojedyncze obrazy są przechwytywane podczas jednej rotacji i konwertowane na objętość 3D o wielkości do 80 μm w celu uzyskania obrazów o niskim poziomie szumów i wysokiej rozdzielczości
Wyjątkowe obrazy panoramiczne o wysokiej ostrości. Opcja prawego lub lewego ramienia cefalometrycznego, oraz możliwość rozbudowy w dowolnym momencie
Kompatybilność z PACS, RIS, DICOM Worklist i drukarkami DICOM. Obrazy rentgenowskie zgodne ze standardem DICOM
EasyPad i system pozycjonowania automatycznie ustalający prawidłowe nachylenie głowy pacjenta zapewniają wysoką jakość obrazu, łatwą odtwarzalność oraz komfort dla pacjenta i asystenta
W celu wygodnego przechowywania akcesoriów, zintegrowana szafka jest wyposażona w oświetlenie wewnętrzne i znajduje się w bliskim zasięgu operatora
Wydajne procesy robocze i krótszy czas oczekiwania. Inteligentna regulacja wysokości automatycznie ustawia wysokość danego pacjenta na podstawie zapisanych ustawień z poprzednich wizyt
Starając się zrobić udane zdjęcie rentgenowskie stomatologiczne lub medyczne, stajemy przed zasadniczym pytaniem. Z jednej strony chcemy uzyskać maksymalną jakość obrazu, z drugiej zaś strony musimy zastosować jak najmniejszą, realnie osiągalną dawkę promieniowania, aby chronić zdrowie pacjenta. Firma Dentsply Sirona dokłada wszelkich starań, aby oferować produkty, które zapewniają wyjątkową jakość obrazu przy jednoczesnym wspieraniu bezpiecznych i etycznych praktyk. Opracowując nasze produkty, przestrzegamy obowiązującej na całym świecie zasady ALARA (ang. as low as reasonably achievable – tak nisko, jak jest to realnie możliwe).
Low Dose – inteligentny tryb niskiej dawki
Dzięki zoptymalizowanemu trybowi niskiej dawki ze specjalnie przeznaczonym filtrem, obrazowanie gęstych struktur, takich jak kości, jest możliwe przy znacznie niższej dawce. To sprawia, że inteligentny tryb niskiej dawki jest atrakcyjny i skuteczny w wielu sytuacjach klinicznych. Niezależnie od tego, czy chodzi o ortodoncję, czy implantologię – dzięki rozwiązaniom firmy Dentsply Sirona znajdziesz optymalne ustawienie dla każdego przypadku.
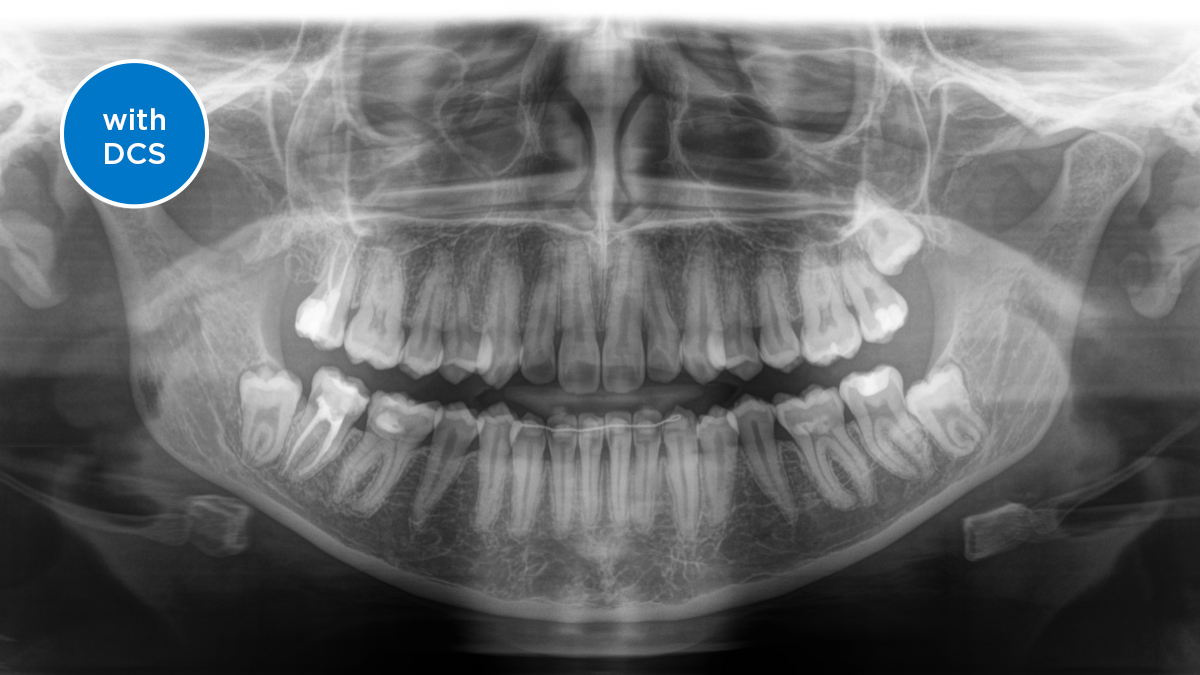
Czujnik DCS zrewolucjonizował standard obrazowania panoramicznego. Promienie rentgenowskie są konwertowane bezpośrednio na sygnały elektryczne. Nie dochodzi zatem do utraty sygnału z powodu konwersji światła, tak jak w przypadku systemów tradycyjnych. Rezultat: obrazy o wysokim poziomie ostrości i kontrastu – nawet przy bardzo niskiej dawce promieniowania. Dokładne informacje diagnostyczne wspierające leczenie celowane.
Poniższy obraz przedstawia panoramiczne zdjęcie rentgenowskie bez technologii DCS i z nią. Używając strzałki przeciągnij kontrolkę wzdłuż obrazu, aby zobaczyć różnicę, jaką powoduje czujnik DCS w stosunku do jakości obrazu i możliwości diagnostycznych.
Właściwa ostrość jest kluczowa dla uzyskania doskonałych zdjęć panoramicznych. Dzięki funkcji autofokus automatycznie otrzymasz obraz z najlepszą możliwą ostrością. Tomografy i pantomografy od Dentsply Sirona działają na takiej zasadzie, że wykonują kilka tysięcy pojedynczych zdjęć w jednym cyklu i automatycznie identyfikują obszary, w których szczęka jest optymalnie ustalona. Bez dodatkowych czynności ręcznych obrazy te są następnie wyświetlane w postaci ostatecznego ostrego obrazu.
Tylko niektóre części obrazu są ostre, podczas gdy inne obszary są rozmyte.
System wykrywa odpowiednie obszary z kilku tysięcy pojedynczych obrazów w jednym cyklu i automatycznie identyfikuje obszary, w których szczęka jest optymalnie ustalona.
Ostre obrazy.
Axeos jest wyposażony w oświetlenie ambient light, które oświetla aparat i tworzy uspokajające środowisko, aby zapewnić pacjentom jak największą przyjemność. Dzięki ponad 35 kolorom do wyboru możesz mieć pewność, że będzie idealnie pasować do Twojej nowoczesnej praktyki.
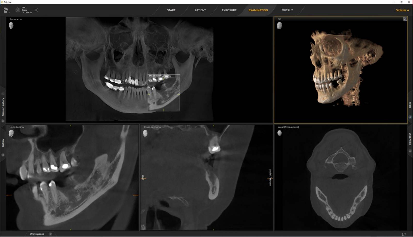
Wymagania te są takie same dla oprogramowania do przetwarzania obrazu Sidexis 4 i aparatu Axeos. Aby uzyskać więcej informacji zobacz wymagania systemowe Sidexis 4 oraz wymagania instalacyjne aparatu Axeos.
Urządzenia 3D firmy Dentsply Sirona współpracują wyłącznie z systemem Sidexis 4. Można łatwo przenieść dane z systemu Sidexis XG do systemu Sidexis 4. Sidexis 4 zapewnia pełną funkcjonalność cyfrową dzięki najnowszym narzędziom.
Orthophos S 2D pozwala na rozbudowę do 3D. Axeos to wyspecjalizowana jednostka hybrydowa. Orthophos E nie oferuje tej opcji.