Gutta-Smart od Dentsply Sirona

Korzyści

Dlaczego warto wybrać Gutta-Smart?

Wydajność kompleksowego rozwiązania

W połączeniu z ulepszonym dopasowaniem stożków wzorcowych Conform Fit, Gutta-Smart zapewnia wydajność, jakiej oczekujesz od kompletnego rozwiązania do obturacji.

Gutaperka niskotemperaturowym przepływem

Zarówno w stożkach głównych Conform Fit, jak i kartridżach Gutta-Smart, formuła gutaperki przepływa w niższej temperaturze, wymagając mniejszej ilości ciepła dostarczanej z kątnicy.

Odpowiednie dopasowanie, które da się wyczuć

Stożki główne Conform Fit zapewniają dokładne dopasowanie wierzchołkowe, a bezprzewodowe końcówki Gutta-Smart zapewniają precyzyjną kontrolę i doskonałe, namacalne podpowiedzi.

Trwała, bezprzewodowa wydajność

Dobrze wyważone, lekkie i wygodne w użyciu, obie kątnice są bezprzewodowe, co zapewnia swobodę ruchów.

Moc przez cały dzień³

Jedno ładowanie wystarcza na cały dzień pracy.

Gutta-Smart

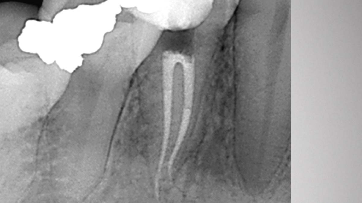
Po lewej: Stosowanie różnych formuł gutaperki w jednym przypadku może powodować różne stopnie nieprzezroczystości.
Zdjęcie dzięki uprzejmości dr Phillipa Bella, Mooresville, NC

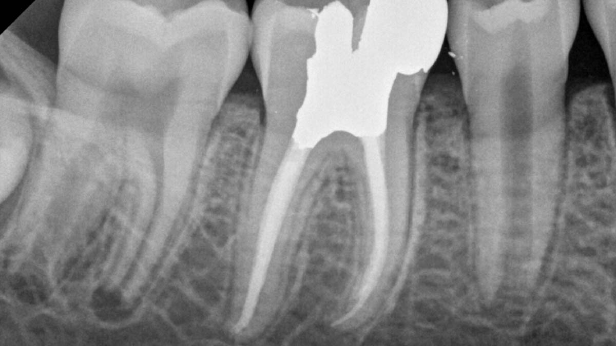
Po prawej: Gutta-Smart i Conform Fit mają tę samą zaawansowaną gutaperkę zapewniającą spójność radiograficzną.
Zdjęcie dzięki uprzejmości dr Nathaniela Behrentsa, Fayetteville, AR

Pliki do pobrania

Inne pliki do pobrania są dostępne w naszym Download Center.

Kontakt

Dowiedz się więcej o naszych produktach i rozwiązaniach endodontycznych.

  1. W porównaniu z Dentsply Sirona Calamus®; dostępne dane. 
  2. W porównaniu z Dentsply Sirona Calamus® Dual; dostępne dane.
  3. Pojemność akumulatorów kątnic Flow i Pack pozwala na wykonanie do pięciu zabiegów dziennie na jednym ładowaniu.