Blog Post
Stomatologia zachowawcza


Developments in equipment, software, dental ceramics and adhesion technology have given clinicians the ability to process (scan, design, mill, fire and finish) indirect restorations in-office, making single-visit dentistry popular among both clinicians and patients. 

Advantages of CEREC in-office milled crowns

 

  • Produce premium restorations easier, faster, and more precisely.
  • Deliver crowns in a single-visit
  • Increase in case acceptance1

 

12022 Global Exevia Chairside Milling Study N=450 For more information, contactConsumables-Data-Requests@dentsplysirona.com

Overview of digital in-office milling workflow with CEREC  

 

The workflow for in-office milling of crowns begins in the same way as a traditional workflow – with tooth preparation, and for most endodontically treated teeth, also a post and core build-up. However, the CEREC in-office workflow provides the advantage of full control over crown procedures with a digital chairside solution that allows completion in a single visit.

 

At a high level, the chairside workflow steps consist of the following:

1.   Administration: Information related to the patient and restoration type are entered into the software program. The milling device can be selected and, if needed, the furnace for sintering and/or glazing.

2.   Acquisition of the digital scans: These consist of scans of the upper and lower jaws, and a buccal scan on both the left and right side with the patient’s dentition in centric occlusion.. The site of the prepared tooth must be completely dry with no blood, saliva or gingival crevicular fluid present. Soft tissue management and retraction is crucial as scanners cannot ‘see’ through fluids, nor push against soft tissue.

3.   Model: The final calculated 3D model is reviewed, and any required editing of the images is performed – for example, at the preparation margins. The preparation can also be analyzed during this phase and corrected if necessary.  

4.   Design: A restoration design is automatically generated using biogenerics. These patient-specific initial proposals are usually highly esthetic and functional but can be modified using the design tools. When using CEREC® Software, it is during this phase that the virtual articulator is activated, and adjustments are made to contacts.

5. Manufacturing: When the design is done, the software automatically positions the restoration in the block. With one click, the user can now send the job to the milling unit – all required information about the block has already been entered during the administration phase. After manufacturing, the restoration can easily be removed from the block and finalized.  Depending on the chosen material, the restoration will either need to be sintered (zirconium oxides) or glazed (glass ceramics) to achieve the desired strength and esthetics.  Refer to the specific Instructions for use for the restorative material selected.

6. Cementation: The method used depends on the thickness of the restoration and the material used. Refer to the specific Instructions for Use for the restorative material selected. For lithium disilicate and zirconia, conditioning of the restoration’s inner surface is required before cementation. 

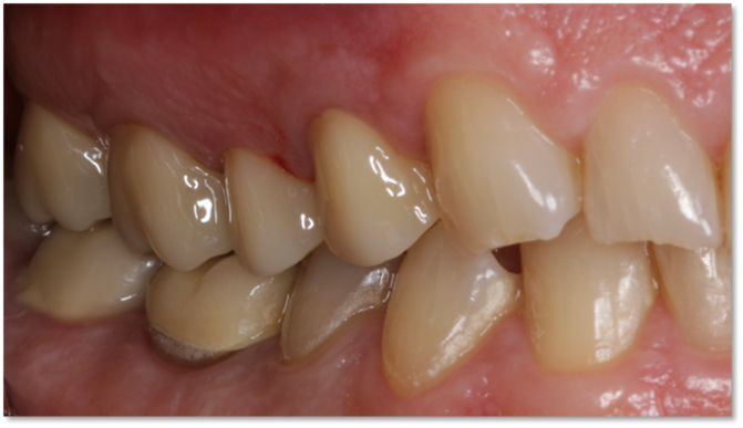
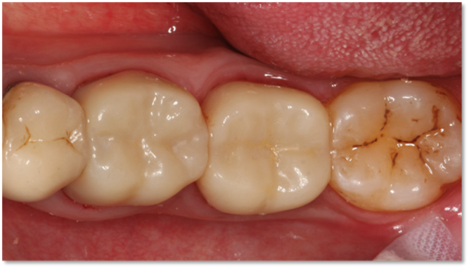
In-office milled crowns with excellent esthetics

CEREC Tessera™ Advanced Lithium Disilicate

Images courtesy of Dr. Bernhild Elke Stamnitz

CEREC MTL™ Zirconia Multi Transitional Layer Zirconia

Delegating steps in the workflow  



Within the phases of the CEREC workflow, here are some steps that often can be delegated to a dental assistant:

  • Entry of all information during the administrative phase.  
  • Conducting the scan of the patient’s dentition.
  • Showing and discussing the (initial) design of the crown with patients.
  • Inserting the block with all necessary information such as the block size or color, to the milling unit.
  • Overseeing the milling process, including separating milled restorations from the residual block material.
  • Managing the sintering and/or glazing process, depending on the  material.

Depending on what a dental assistant/Expanded Function Dental Assistant (EFDA) is permitted to do in the state or country where you practice, and your philosophy, it may be possible to delegate soft tissue management, scans, and/or crown cementation.

The information provided herein does not, and is not intended to, constitute legal advice; instead, all information, content and materials are available for general informational purposes only.

Efficiencies that can be gained with in-office manufacturing  

 

In-office milling of single-unit crowns increases efficiency. For the office, efficiencies include the following:

  • Elimination of provisional restorations - this obviously eliminates the possibility of failures and remakes, as well as situations where a patient wears a provisional for extended periods of time instead of returning for the final restoration at the recommended time.
  • Physical models and dies are not needed, nor impression disinfection/transportation as there is a digital model.
  • Turnover time is shortened to a single-patient visit
  • In-office CEREC workflow single-unit crowns can be delivered in about an hour, with quick chairside milling and firing processes.
  • Devices designed for a seamless transfer and documentation of data throughout the entire workflow.
  • Scheduling is simplified:
    - A second appointment is not needed to seat the crown
    - An unanticipated visit for a second provisional is eliminated.
    - Immediate scan evaluation leads to early recognition of errors in scans, preparations correction (if needed) and an immediate retake.

Leveraging properly trained auxiliary staff by delegating steps in the workflow can further lead to improved practice efficiency.

The CEREC digital chairside workflow can also lead to greater patient experience. For patients, reduced overall chair time, reduced time for digital scans compared to analog impressions (and greater comfort), no travel or time required for a second visit for a crown seating appointment are efficiencies that patients appreciate.

It’s easy to see why clinicians are increasingly using in-house milling solutions to fabricate in-office crowns and why patients appreciate single-visit crowns!

Deliver high-strength, esthetic in-office milled crowns efficiently with help from Dentsply Sirona  

 

Here at Dentsply Sirona we want to support you with products that help you efficiently deliver strong, esthetic and durable restorations. All in-office milled crowns require an accurate digital impression of a well-designed preparation. Hemoban™ Gel Hemostatic Agent contains 25% aluminium chloride and makes for efficient and effective tissue management with optimized spreadability while ensuring the gel stays where it is placed. The gel can also be used to soak retraction cord before placement – leaving the cord with a smooth surface for easy cord insertion and removal. 

Product Image

Dentsply Sirona’s suite of digital chairside products supports an efficient workflow with effective results. With CEREC Primescan® Intraoral Scanner, excellent performance and accuracy are built in thanks to the 3D-in-motion video capture of information by smart pixel sensors. The CEREC® Software supports the 5 stages of the CAD/CAM process and is highly automated and intuitive. CEREC Primemill® Milling Unit utilizes state-of-the-art technology and CAM strategies, to produce very high quality chairside restorations more easily, precisely, and quickly (e.g., zirconia can be milled in around 5 minutes with the CEREC Primemill® unit in super fast mode)3

CEREC Primemill milling unit for high-speed chairside dental restorations.

CEREC Speedfire® Furnace is fast and compact dental furnace for sintering, glazing and crystalization. It has a touch-display, and allows CEREC® Software to automatically send orders, and pre-heats while milling is in progress, saving time.

When it comes to high-strength block materials for in-office milling, Dentsply Sirona has you  covered. CEREC Tessera is an advanced lithium disilicate block offering rapid crown fabrication along with high strength and excellent esthetics. 

CEREC MTL® Zirconia is a multi-transitional layer zirconia, offering high strength (>850 MPa) and excellent esthetics. This high strength allows for a more conservative preparation with up to a 40% reduction in the restoration’s wall thickness.1,2

1 3-point bending strength

2 Minimum Wall thickness for a posterior Katana Zirconia Block (Kuraray Noritake) crown is 1.0 mm. Minimum wall thickness for CEREC MTL Zirconia crown is 0.6 mm.

3 Depending on shade and wall thickness

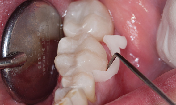
Last but not least, efficient, and reliable cementation with easy clean-up  is essential. Calibra® Ceram is an adhesive resin cement formulated for maximum strength, making it ideal for glass ceramics like CEREC Tessera blocks. This fluoride-containing cement can be light-cured, self-cured or dual-cured. Simplified, reliable cementation is designed in, with a rapid 5-second tack cure and a 45-second gel phase for easy clean-up. When used with Dentsply Sirona’s Prime&Bond elect® adhesive, no primer is needed, and superior strength is obtained.*


* When compared to 3M RelyX Ultimate Resin Automix Cement and Ivoclar MultiLink Dental Luting Material. 

clinical image - cleanup after crown seating

Dentsply Sirona’s Calibra® Bio Bioceramic cement is ideal for zirconia like CEREC MTL Zirconia blocks. This bioactive cement offers easy delivery, moisture tolerance, rapid clean-up, efficiency, forms a self-repairing hydroxyapatite layer and protects and enhances long-term marginal integrity. This bioactive cement is also a true ‘one-and-done’, with no need to condition the zirconia and no need to prime, bond, or condition the preparation. 

At Dentsply Sirona, we want to support you further with our entire Online Dental Academy complete with webinars, how-to videos, and real-world examples on how to create streamlined solutions with efficient procedures and even greater patient satisfaction. Contact us now and let’s get started!


Related Articles

References

Ahrberg D, Lauer HC, Ahrberg M, Weigl P. Evaluation of fit and efficiency of CAD/CAM fabricated all-ceramic restorations based on direct and indirect digitalization: a double-blinded, randomized clinical trial. Clin Oral Investig. 2016;20:291–300.

Kazemi M, Memarian M, Loran V, 2009. Comparing the Effectiveness of Two Gingival Retraction Procedures on Gingival Recession and Tissue Displacement: Clinical Study. Research Journal of Biological Sciences, 4: 335-339.

Passos L, Meiga S, Brigagão V, Street A. Impact of different scanning strategies on the accuracy of two current intraoral scanning systems in complete-arch impressions: an in vitro study. Int J Comput Dent. 2019;22(4):307-319.

Patzelt SB, Lamprinos C, Stampf S, Att W. The time efficiency of intraoral scanners: An in vitro comparative study. J Am Dent Assoc. 2014;145(6):542–551.

Yuzbasioglu E, Kurt H, Turunc R, et al. Comparison of digital and conventional impression techniques: Evaluation of patients’ perception, treatment comfort, effectiveness and clinical outcomes. BMC Oral Health. 2014;14(10);1–7.

 

* Kuraray Noritake Katana, 3M RelyX Ultimate and Ivoclar MultiLink are not registered trademarks of Dentsply Sirona

Nastąpiło przekierowanie

Nastąpiło przekierowanie do Dentsply Sirona USA. Czy na pewno chcesz kontynuować?