Post na blogu
Stomatologia zachowawcza


Composite restorations: shade matching, challenges and solutions

 

It is well-known that final esthetics of a restoration influences patient satisfaction, and that poor esthetics – such as a poor shade match – can lead to patient dissatisfaction. Each year 69% of patients visiting the dental office receive a direct restoration and 50% are Class II composites.1, 2 That makes esthetic composite restorations not only a key success factor for patient satisfaction, but also for the financial health of your practice. Here, we’ll look at challenges and solutions in shade matching and esthetics for direct composite restorations.

What determines tooth color?

 

Tooth color relies on its intrinsic color, which is determined by the manner in which light is absorbed, transmitted, reflected and scattered by the tooth, and is affected by extrinsic stain. Color has three components – hue (color), chroma (intensity of the color) and value (lightness). These fundamental facts are as applicable to composites as they are to teeth.   

Methods for shade matching

 

Visual shade matching is the most common method. This is frequently performed using a VITA® Classical shade guide, which has 16 shades grouped A through D. The A through D tabs represent, respectively, reddish-brownish, reddish-yellowish, greyish and reddish-grey hues. The chroma increases as the number increases – for example, an A3 would be more intense in color than an A1. An alternative method is to arrange the tabs by brightness. Other shade guides include the VITA 3D Master Toothguide with 26 shade tabs based on hue, chroma and lightness, and the VITA Bleached guide 3D-Master. Many composite brands also come with their own shade guide. 

Vita Classical shade guide arranged by brightness.

Shade matching devices include spectrophotometers (which are regarded as accurate) and colorimeters (which offer poor reliability). Such devices are expensive and not in common use in dental offices. Intraoral scanners equipped with colorimeters and shade determination software are now available, as well as inexpensive and familiar digital cameras and smartphones. By far, the use of visual shade guides remains the most prevalent method.

Factors influencing shade matching

 

Visual shade matching is subjective, challenging, and influenced by several factors, including the lighting, background, operator and tooth attributes. 

  • Lighting:
    Operatory lights, natural daylight, LED and fluorescent ceiling lights each result in a different perception of shade due to the effect of the type of light on the absorption and reflection of light. The preferred option for accurate perception is natural daylight – which can be in short supply in an operatory. Correcting lights improve shade match compared to natural or operatory light.

  • Background:
    The perceived hue and brightness of the tooth is influenced by the background. In one assessment, accuracy in shade matching was 73% for a blue background compared to 86% for backgrounds that were white or black, with other background colors having an intermediate effect.3 Perceived tooth shade is also affected by the color of the gingivae and lips.    

  • Operator factors:
    We know that the ability to detect shades is highly variable. Color blindness affects 1 in 10 men in the US, and in a screening of dental professionals, 13% had abnormal color vision.4,5 In a study on shade match accuracy, it was determined that shades were only accurately matched 27% of the time.6 What’s more, eye fatigue occurs after a few seconds, impairing accuracy. It’s been shown that as more time is taken for shade selection the accuracy of the shade match actually decreases. Not only that, repeatability is a challenge, meaning that an individual doesn’t necessarily choose the same shade with repeated shade selection.

  • Tooth attributes:
    Extrinsic stain, debris and tooth contour influence shade matching, and a rougher surface texture contributes to a darker appearance. In addition, dehydration results in a tooth appearing lighter/several shades different than when wet.

With all of these variables, it’s no wonder that shade matching can be challenging.

Clinical challenges




Challenges reported by dentists performing composite procedures include shade selection, staining, and change in color of the composite over time – all of which affect patient satisfaction. Additionally, it’s been reported that perceptible differences in color between restorations and adjacent natural teeth are found by up to 80% of patients.7

 

In today’s dental office, patient expectations are high, and efficiency is a must, yet these challenges absorb chairside time:

  • 14% of chairside time for Class II composites is spent on composite shade selection.8
  • A further 14% is spent, on average, on finishing and polishing.9

 

 Let’s now look at solutions to these clinical challenges.

Clinical solutions



Shade matching technique, material selection and the procedure play a role in the ability to address these challenges.

 

Technique

For accurate shade matching, the following is recommended:

  • Make sure teeth being matched are free of extrinsic stains, biofilm and debris.
  • Eliminate bright and vivid colors from the field of view and ask patients wearing lipstick to remove.
  • Use multiple light sources (daylight, room light) or a correcting light.
  • Determine shade with the teeth wet, prior to the composite procedure.
  • Arrange the shade guide by brightness rather than hue (color) and chroma. This introduces more tolerance if you are slightly off the correct tab shade.
  • Glance at the shade guide for only a few seconds (this avoids eye fatigue). Between glances, look at a neutral gray or white background.  
  • Leverage neutral colors for operatory walls.

 

If it is still difficult to determine the shade, place a small sample of composite on the adjacent tooth surface to confirm the best match. (Note that if a composite material changes shade when cured, place a small amount on the surface without adhesive and properly light cure to confirm.)

Training in shade selection is recommended – this has been shown to improve efficiency and, in the absence of physiological impediments, color perception and accuracy.  

 

Composite selection

In addition to optimal physical properties and handling characteristics, selection of a composite with the following characteristics is recommended:

  • A chameleon effect that will allow the composite to imperceptibly blend with the tooth structure. Combined with a simplified shade selection, this can improve efficiency.
  • A refractive index similar to that of natural teeth.
  • High polishability for a lustrous surface that reflects light well, to inhibit biofilm accumulation and reduce the risk of staining.
  • High wear resistance.  
  • High stain resistance.

  

With an appropriate technique and composite selection, excellent esthetics can be achieved efficiently!

Achieve esthetic direct composite restorations efficiently with help from Dentsply Sirona 

 

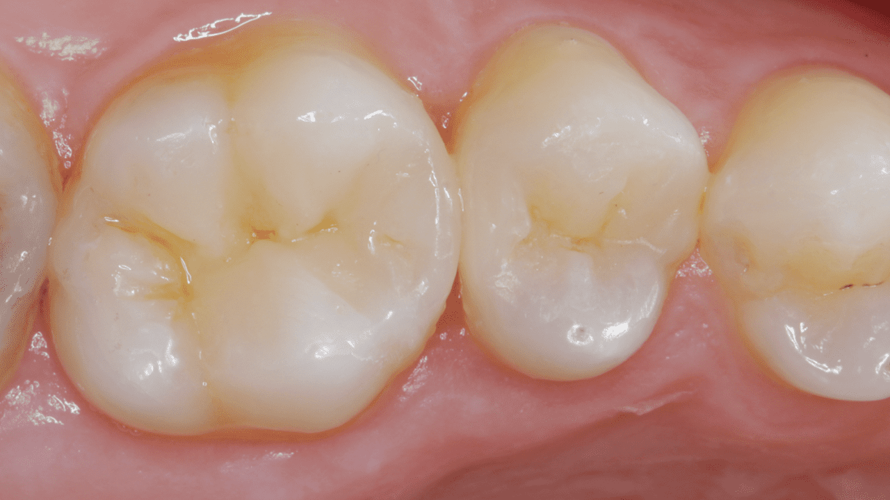
Together, esthetic excellence in composite restorations and efficiency are important for you and your patients. That’s where Dentsply Sirona’s Ceram.x Spectra® ST Universal Composite Restorative can help. This universal composite offers the physical properties needed for long-term success together with excellent esthetics, efficiency and ease-of-handling. 

The distinct chameleon blending effect of Ceram.x Spectra® ST composite is so effective that the A2 CLOUD™ shade easily matches 80% of cases10. The SphereTEC® Filler Technology also optimizes handling with a choice of high or low viscosity composite to meet your preference. It adapts readily to the preparation, is easy to sculpt and shape, resists slumping, isn’t sticky, and enables efficient finishing and polishing. 

Before and after amalgam replacement showing final Ceram.x Spectra® ST universal composite restoration with excellent esthetics and gloss retention.

Case courtesy of Dr. Ayad Al-Obaidi   (source: Class II Dental Cases | Dentsply Sirona USA)

Finishing is efficient with Dentsply Sirona’s Enhance® Finishing system, which delivers a smooth, contoured surface with a natural looking finish in a single-step. Polishing with Dentsply Sirona’s Enhance® PoGo® Polishing system then results in a lustrous, high gloss surface that optimizes and protects esthetics,  discouraging biofilm accumulation and stain.

 

Here at Dentsply Sirona we want to support you further with our online dental academy complete with webinars, how-to videos, and real-world examples on how to create streamlined esthetic solutions with efficient procedures and even greater patient satisfaction. Contact us now and let’s get started!

1 https://www.cdc.gov/nchs/fastats/dental.htmf

2 Dental Market IQ 2022 Research Report -  Calendar Year 2021. For more information, contact Consumables-Data-Requests@dentsplysirona.com. VITA® is not a registered trademark of Dentsply Sirona

3 Dudea D, Gasparik C, Botos A, et al. Influence of background/surrounding area on accuracy of visual color matching. Clin Oral Investig. 2016 Jul;20(6):1167-73. doi: 10.1007/s00784-015-1620-3.

4 Perry, Ron DMD MS. Increasing Accuracy and Esthetics Through Digital Shade-Matching.

5 Moser JB, Wozniak WT, Naleway CA, et al. Color vision in dentistry: a survey, JADA 1985;110:509-510.

6 Visual and Spectrophotometric Shade Analysis of Human Teeth J DENT RES August 2002 81: 578-582.

7 Joiner A. Tooth Color: A Review of the Literature. J Dent. 2004; 32:3-12.

8 Data on file. Dentsply Sirona Restorative. GNY 2016 Attendee Survey. For more information, contact Consumables-Data-Requests@dentsplysirona.com.

9 Dentsply Sirona Procedure Timing Breakdown Study. Data on file. For more information, contact Consumables-Data-Requests@dentsplysirona.com.

10 Internal data on file. For more information, contact Consumables-Data-Requests@dentsplysirona.com. 


Related Articles

References

Hardan L, Bourgi R, Cuevas-Suárez CE, et al. Novel Trends in Dental Color Match Using Different Shade Selection Methods: A Systematic Review and Meta-Analysis. Materials 2022, 15, 468. https://doi.org/10.3390/ ma15020468

Igiel C, Lehmann KM, Ghinea R, et al. Reliability of visual and instrumental color matching. J. Esthet. Restor. Dent. 2017, 29, 303–308.

Joiner A, Luo W. Tooth colour and whiteness: A review. J Dent 2017;67S:S3-10.

Jouhar R. Comparison of Shade Matching Ability among Dental Students under Different Lighting Conditions: A Cross-Sectional Study. Int. J. Environ. Res. Public Health 2022, 19, 11892. https://doi.org/10.3390/ ijerph191911892

Knezović D, Zlatarić D, Illeš IŽ, et al. In vivo and in vitro evaluations of repeatability and accuracy of VITA Easyshade® Advance 4.0 dental shade-matching device. Acta Stomatol Croat 20 15; 49:112 –118 .