Ligue para nós ou forneça seus detalhes de contato abaixo; um representante da Dentsply Sirona logo entrará em contato.
Cúpula Mundial de Soluções em Implantes 2026 Cadastre-se hoje
Vivencie o futuro da odontologia conectada: Cada evento apresenta educação líder do setor, avanços de ponta, líderes de opinião renomados e oportunidades de networking incomparáveis.
Nossa estratégia de sustentabilidade é fundamental para nossa missão e faz parte de tudo que fazemos.
Age
Gender
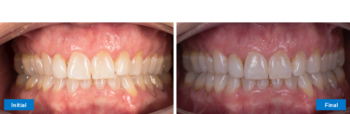
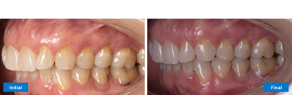
Patient’s chief complaint(s): Doesn’t like her narrow smile.
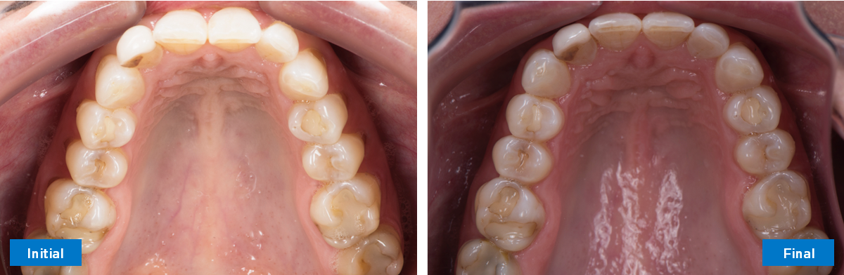
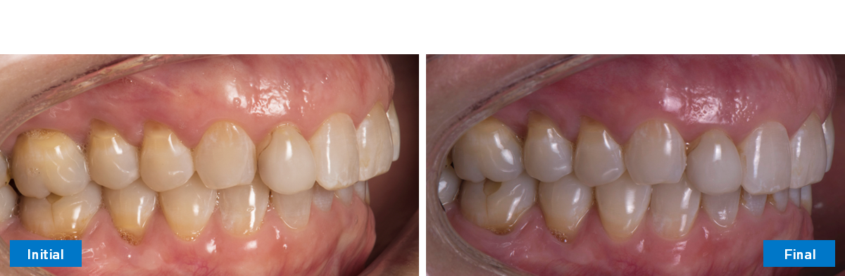
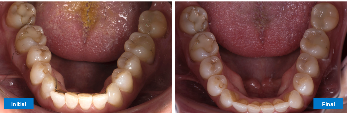
Adult orthodontic treatment has become increasingly popular. Typically, it’s the facial and dental esthetics that drive adults to the practice seeking orthodontic treatment, and not their bite! In this case, you will see how Dr. Secchi helped the patient achieve a wonderful improvement with her smile by broadening her arches with aligner therapy focused on helping him upright all posterior teeth (canines, premolars and molars) while keeping proper arch coordination. The changes to her buccal corridor achieved orthodontically shows us how proper crown inclination provides both functional and esthetic benefits to the patient.
See how doctors are using SureSmile Aligners with adults who have stable Class II bites to address their esthetic concerns in this case shared by Dr. Antonino Secchi.
Dr. Secchi is a Dentsply Sirona KOL and an orthodontist with a private practice in Devon, PA.
Dentsply Sirona KOL
Diplomate, American Board of Orthodontics
Orthodontist
Private Practice in Devon, PA
Date of Issue
This case report is published as an inspiration for you as a clinician and not necessarily as a recommendtion from Dentsply Sirona
• Class II end-on relationship
• Mild misalignment upper and lower front teeth
• Lingually inclined upper and lower canines, premolars and molars
• Generalized mild gingival recession
• Level and align upper and lower incisors
• Tip buccally, all posterior teeth about 1.5mm
• Coordinate upper and lower arches
• Broaden upper and lower arch by up righting buccally all posterior teeth 1.5 mm per side keeping proper arch coordination
Modalities: SureSmile® Software and Aligners
Duration: 4 months
# Aligners: U – 13 L – 14
All main objectives were achieved:
• Very nice improvement of the patient’s smile esthetics was achieved
• As shown in digital setup of the before and after occlusal 3D models, the upper and lower posterior teeth tipped buccally about 2.5mm on average
• Alignment of upper and lower incisors improved
• Good arch coordination was achieved
Retention: Upper & lower arch retained with a clear retainer.