Узнайте больше о пакете безопасного обновления до Windows 11 для программных продуктов Dentsply Sirona, чтобы гарантировать безопасность и совместимость вашего оборудования Dentsply Sirona в будущем.
Пакет безопасного обновления до Windows 11 Узнать больше
Узнайте о будущем стоматологии с сетевой функциональностью: На каждом мероприятии представлены ведущие в отрасли образовательные технологии, передовые достижения, авторитетные эксперты и беспрецедентные возможности для налаживания деловых связей.
Наша стратегия устойчивого развития лежит в основе нашей миссии и составляет неотъемлемую часть всей нашей деятельности.
Эстетическая реставрация фронтальных зубов верхней челюсти 1.3-2.3 группой композитных материалов Neo Spectra ST
Врач-консультант Dentsply Sirona, Армения (Ереван)
Date of Issue
Подбор оттенка
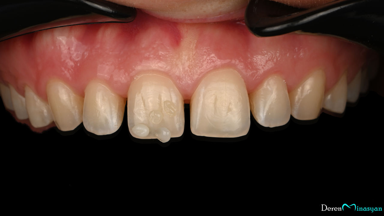
Изоляция, примерка силиконового ключа
Изоляция и кондиционирование ортофосфорной кислотой 1.1-2.1
1.1-2.1
1.1-2.1
Моделировка и восстановление 1.1 и 2.1 композитом Neo Spectra ST
Моделировка 1.2, 2.2
Моделировка 1.3, 2.3
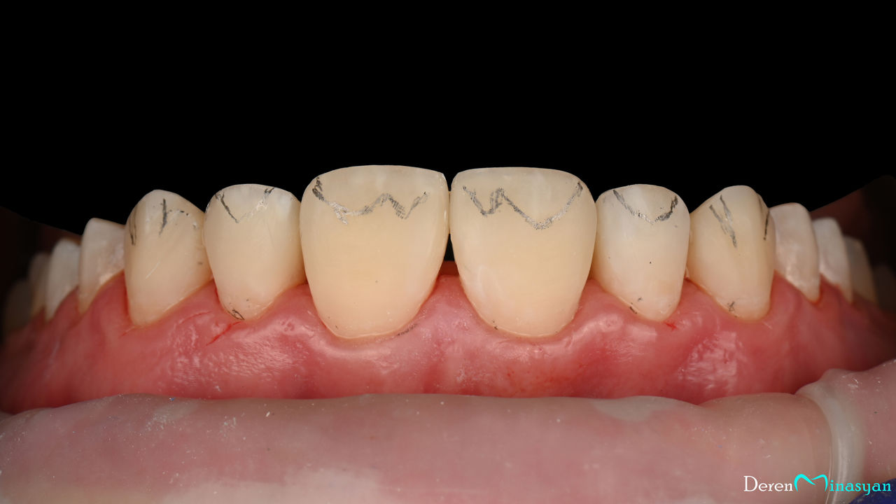
Разметка и контурирование
Контурирование, макро рельеф
Контурирование, макро рельеф
Контурирование, финирование
Полировка
Рельеф, полировка
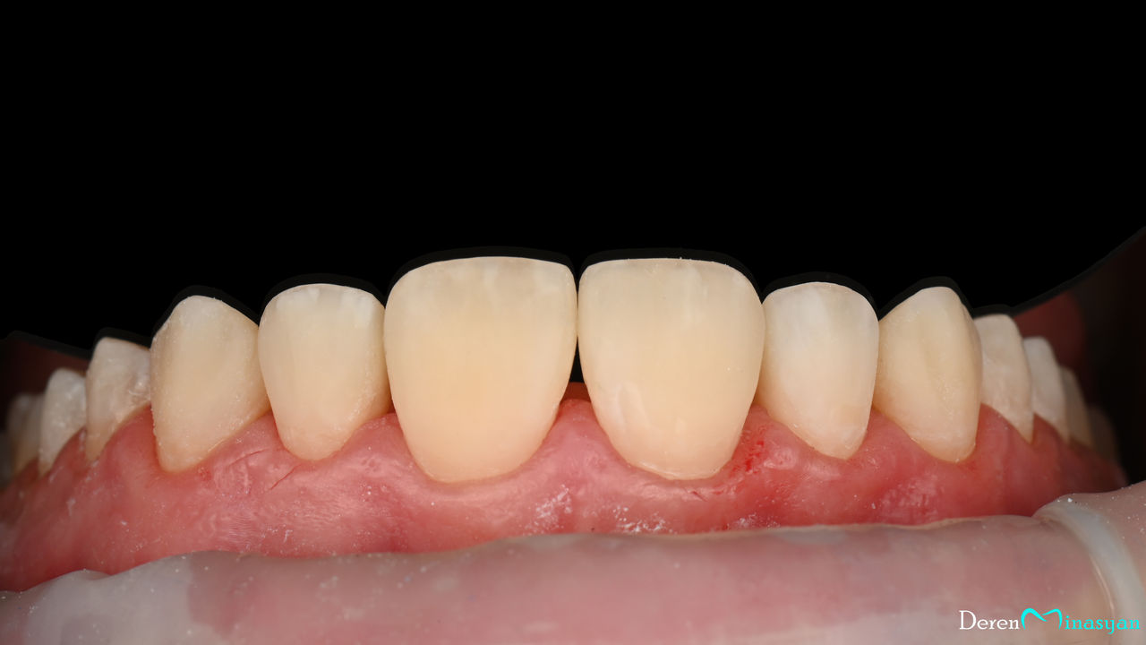
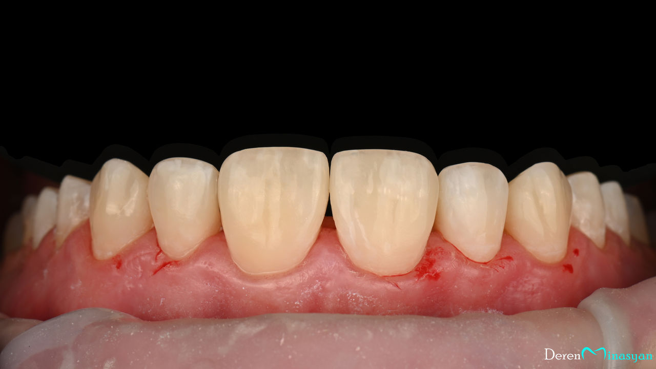
После
После
До-После
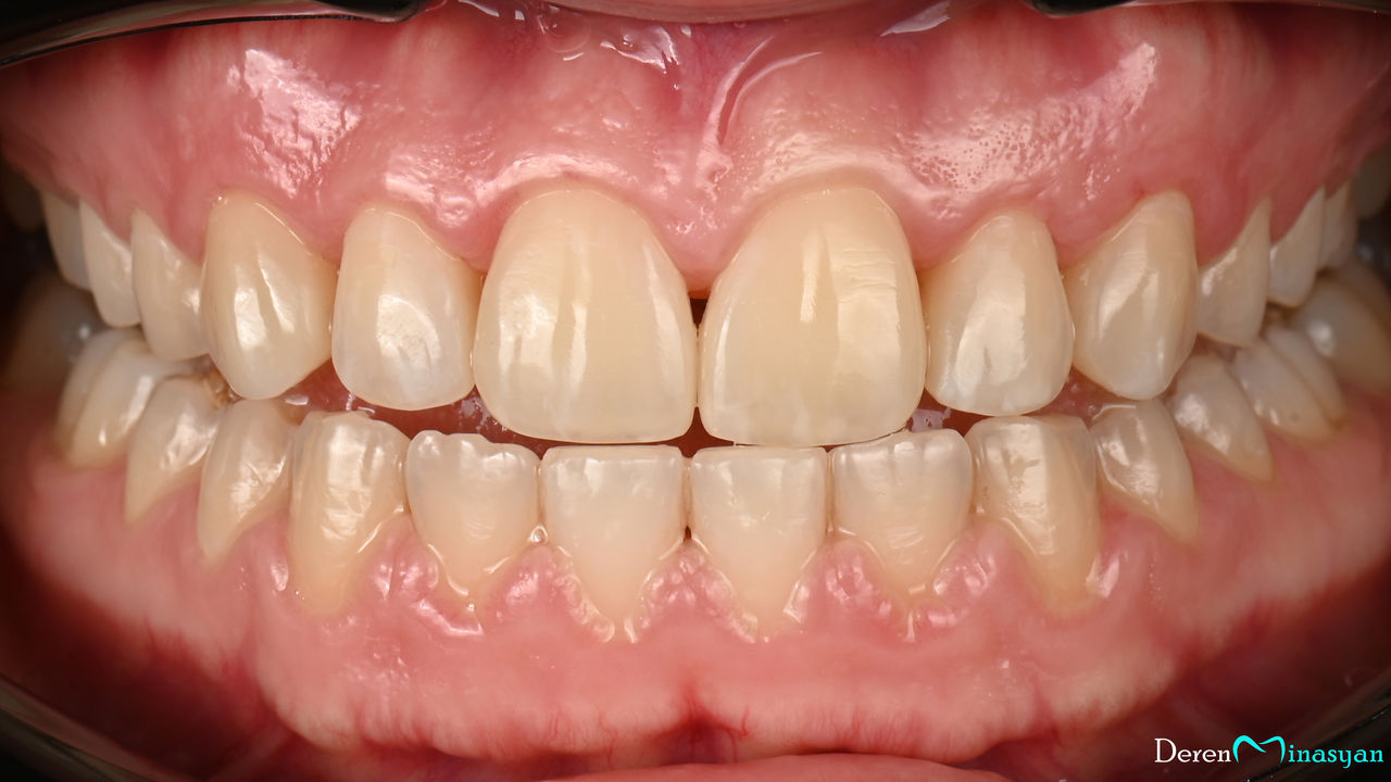
Эстетический дефект 1.3-2.3
Эстетическая реставрация 1.3-2.3 в прямой технике композитными материалами. Использованные материалы: 1.3-2.3 Neo Spectra ST А3, А2, Neo Spectra ST Effects Е1, D1, D3. Характеризация белым – для пятен – Esthet-X WO. Адгезивная система Prime&Bond universal. Система для финишной шлифовки и полировки Enhance и PoGo.
Проведена эстетическая коррекция 1.3-2.3, выполнены реставрации из композитного материала. Идеальная интеграция с т.з. эстетики и функции.